tel 400-6027-270
Main Image
Recombinant Anti-PIEZO1 antibody (小鼠单克隆抗体)
¥1900
加入对比
货号: K5450159-100
预测分子量: 287 kDa
观测分子量: 300-350 kDa
亚细胞定位: 细胞膜, 细胞突起, 内质网
别名: FAM38A,KIAA0233,Piezo-type mechanosensitive ion channel component 1,Membrane protein induced by beta-amyloid treatment,Mib
应用 | 种属
WB H
IHC/IF H,M,R
规格:
产品信息
蛋白质全称 压电型机械敏感离子通道组件1
别名 FAM38A,KIAA0233,Piezo-type mechanosensitive ion channel component 1,Membrane protein induced by beta-amyloid treatment,Mib
Uniprot ID Q92508
免疫原 人PIEZO1重组蛋白
抗体亚型 IgG2a, κ
克隆号 SB335
纯化方式 亲和纯化
亚细胞定位 细胞膜, 细胞突起, 内质网
预测分子量./观测分子量. 287 kDa / 300-350 kDa
应用
WB 免疫印迹
物种:人
稀释比:1:500-1:1000
阳性样品:Hep G2细胞
IHC/IF 免疫组织化学/免疫荧光
物种:人,小鼠,大鼠
稀释比:1:250-1:1000
阳性样品:结肠癌, 肺
背景
The protein encoded by this gene is a mechanically-activated ion channel that links mechanical forces to biological signals. The encoded protein contains 36 transmembrane domains and functions as a homotetramer. Defects in this gene have been associated with dehydrated hereditary stomatocytosis.
储存条件
储存条件:储存条件在:-20℃下储存一年, 避免反复冻融.
储存缓冲液:含0.15% ProClin300防腐剂, 100 μg/mL牛血清白蛋白和50%甘油的磷酸盐缓冲液.
图像
WB检测PIEZO1蛋白(货号 K5450159).
样品: 经RIPA裂解液(货号KSG2002)处理的蛋白质.
封闭: 3%脱脂牛奶(货号KSGC310001)溶于TBST溶液, 室温孵育1小时.
—抗: 1: 500稀释, 4℃ 孵育过夜.
二抗: HRP标记山羊抗小鼠IgG (H+L) (货号KB69903), 1: 5000稀释, 室温孵育1小时.
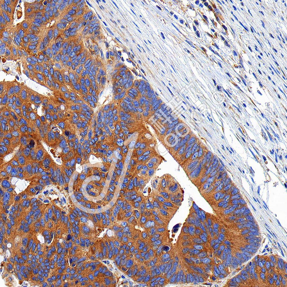
IHC检测PIEZO1蛋白(货号 K5450159).
样品: 人结肠癌, 4%多聚甲醛 (货号KSG1101) 固定12-24小时.
抗原修复: Tris-EDTA抗原修复液(pH 9.0) (KSG1203), 98℃, 20分钟.
—抗: 1: 600稀释, 4℃ 孵育过夜.
二抗: S-vision免疫组化多聚二抗(山羊抗小鼠), 即用型(货号KB3903), 室温孵育20分钟.
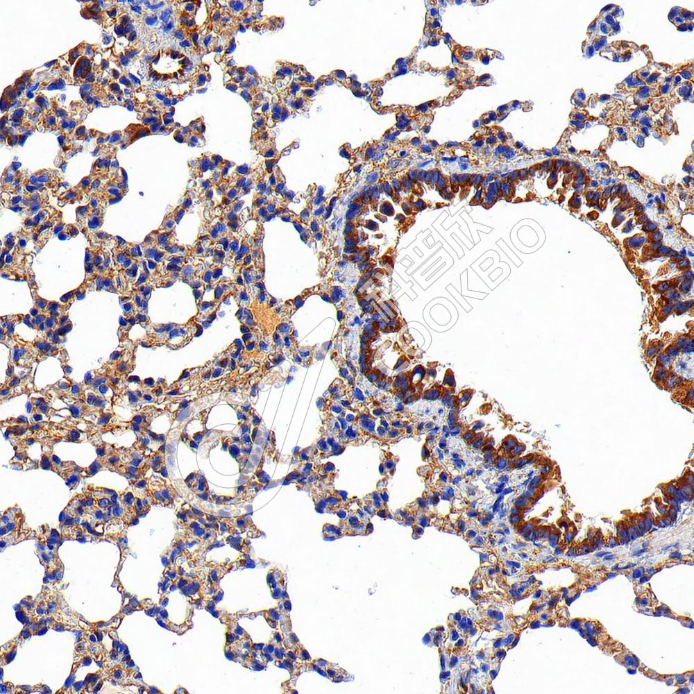
IHC检测PIEZO1蛋白(货号 K5450159).
样品: 小鼠肺, 4%多聚甲醛 (货号KSG1101) 固定12-24小时.
抗原修复: Tris-EDTA抗原修复液(pH 9.0) (KSG1203), 98℃, 20分钟.
—抗: 1: 600稀释, 4℃ 孵育过夜.
二抗: S-vision免疫组化多聚二抗(山羊抗小鼠), 即用型(货号KB3903), 室温孵育20分钟.
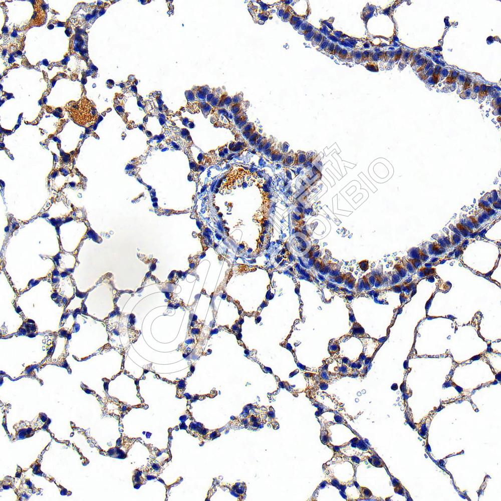
IHC检测PIEZO1蛋白(货号 K5450159).
样品: 大鼠肺, 4%多聚甲醛 (货号KSG1101) 固定12-24小时.
抗原修复: Tris-EDTA抗原修复液(pH 9.0) (KSG1203), 98℃, 20分钟.
—抗: 1: 600稀释, 4℃ 孵育过夜.
二抗: S-vision免疫组化多聚二抗(山羊抗小鼠), 即用型(货号KB3903), 室温孵育20分钟.

需要技术支持?

如果您有任何问题或如果您在实验过程中遇到问题,或需要更详细的技术指导,请联系我们的技术支持团队
电话 400-6027-270

联系我们

如果您对我们的公司或产品有任何疑问,欢迎随时联系我们