tel 400-6027-270
Main Image
Recombinant Anti-TRAP (Tartrate Resistant Acid Phosphatase) antibody (小鼠单克隆抗体)
¥1900
加入对比
货号: K546248-100
预测分子量: 37 kDa
观测分子量: 37 kDa
亚细胞定位: 溶酶体
别名: ACP5,HPAP,SPENCDI,TRAP,TRACP5a,TRACP5b,TrATPase,acid phosphatase 5,tartrate resistant
应用 | 种属
WB H,M
IHC/IF M,R
规格:
产品信息
蛋白质全称 抗酒石酸酸性磷酸酶5型
别名 ACP5,HPAP,SPENCDI,TRAP,TRACP5a,TRACP5b,TrATPase,acid phosphatase 5,tartrate resistant
Uniprot ID Q05117
免疫原 KLH偶联的小鼠Tart大鼠e-resistant acid phosphatase type 5合成肽
抗体亚型 IgG1, κ
克隆号 SB189
纯化方式 亲和纯化
亚细胞定位 溶酶体
预测分子量./观测分子量. 37 kDa / 37 kDa
应用
WB 免疫印迹
物种:人,小鼠
稀释比:1:1000-1:2000
阳性样品:—
IHC/IF 免疫组织化学/免疫荧光
物种:小鼠,大鼠
稀释比:1:250-1:1000
阳性样品:骨
背景
May play a role in the process of bone resorption. The osteoclastic trap acts on nucleotide tri- and diphosphates with higher affinity, compared with other substrates.
储存条件
储存条件:储存条件在:-20℃下储存一年, 避免反复冻融.
储存缓冲液:含0.15% ProClin300防腐剂, 100 μg/mL牛血清白蛋白和50%甘油的磷酸盐缓冲液.
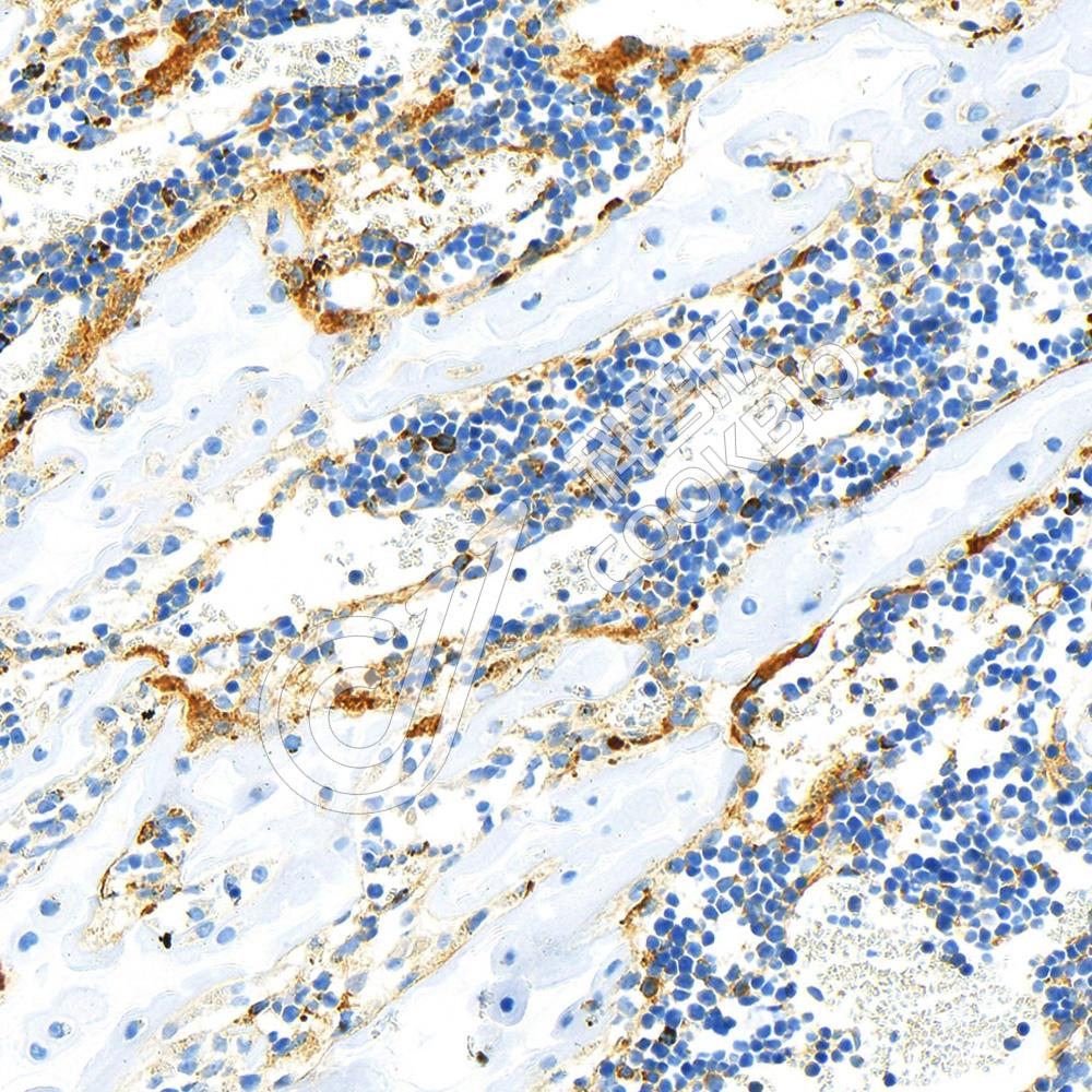
图像
IHC检测TRAP (Tartrate Resistant Acid Phosphatase)蛋白(货号 K546248).
样品: 小鼠骨, 4%多聚甲醛 (货号KSG1101) 固定12-24小时.
抗原修复: Tris-EDTA抗原修复液(pH 9.0) (KSG1203), 98℃, 20分钟.
—抗: 1: 600稀释, 4℃ 孵育过夜.
二抗: S-vision免疫组化多聚二抗(山羊抗小鼠), 即用型(货号KB3903), 室温孵育20分钟.
IHC检测TRAP (Tartrate Resistant Acid Phosphatase)蛋白(货号 K546248).
样品: 大鼠骨, 4%多聚甲醛 (货号KSG1101) 固定12-24小时.
抗原修复: Tris-EDTA抗原修复液(pH 9.0) (KSG1203), 98℃, 20分钟.
—抗: 1: 600稀释, 4℃ 孵育过夜.
二抗: S-vision免疫组化多聚二抗(山羊抗小鼠), 即用型(货号KB3903), 室温孵育20分钟.

需要技术支持?

如果您有任何问题或如果您在实验过程中遇到问题,或需要更详细的技术指导,请联系我们的技术支持团队
电话 400-6027-270

联系我们

如果您对我们的公司或产品有任何疑问,欢迎随时联系我们