tel 400-6027-270
Main Image
Anti-CD20 兔多克隆抗体
¥1900
加入对比
货号: K1347163-100
预测分子量: 33 kDa
观测分子量: 30-40 kDa
亚细胞定位: 细胞膜
别名: MS4A1,B1,Bp35,CD20,CVID5,LEU-16,MS4A2,S7,membrane spanning 4-domains A1
应用 | 种属
WB H
IHC/IF H
规格:
产品信息
蛋白质全称 B淋巴细胞抗原CD20
别名 MS4A1,B1,Bp35,CD20,CVID5,LEU-16,MS4A2,S7,membrane spanning 4-domains A1
Uniprot ID P11836
免疫原 KLH偶联的人CD20合成肽
抗体亚型 IgG
纯化方式 亲和纯化
亚细胞定位 细胞膜
预测分子量./观测分子量. 33 kDa / 30-40 kDa
应用
WB 免疫印迹
物种:人
稀释比:1:500-1:1000
阳性样品:—
IHC/IF 免疫组织化学/免疫荧光
物种:人
稀释比:1:250-1:1000
阳性样品:结肠, 结肠癌
背景
B-lymphocyte antigen CD20 or CD20 is an activated-glycosylated phosphoprotein expressed on the surface of all B-cells beginning at the pro-B phase (CD45R+, CD117+) and progressively increasing in concentration until maturity. The protein has no known natural ligand[8] and its function is to enable optimal B-cell immune response, specifically against T-independent antigens. It is suspected that it acts as a calcium channel in the cell membrane. It has been shown that CD20 plays a role in the microenvironmental interactions of B cells.
储存条件
储存条件:储存条件在:-20℃下储存一年, 避免反复冻融.
储存缓冲液:含0.15% ProClin300防腐剂, 100 μg/mL牛血清白蛋白和50%甘油的磷酸盐缓冲液.
图像
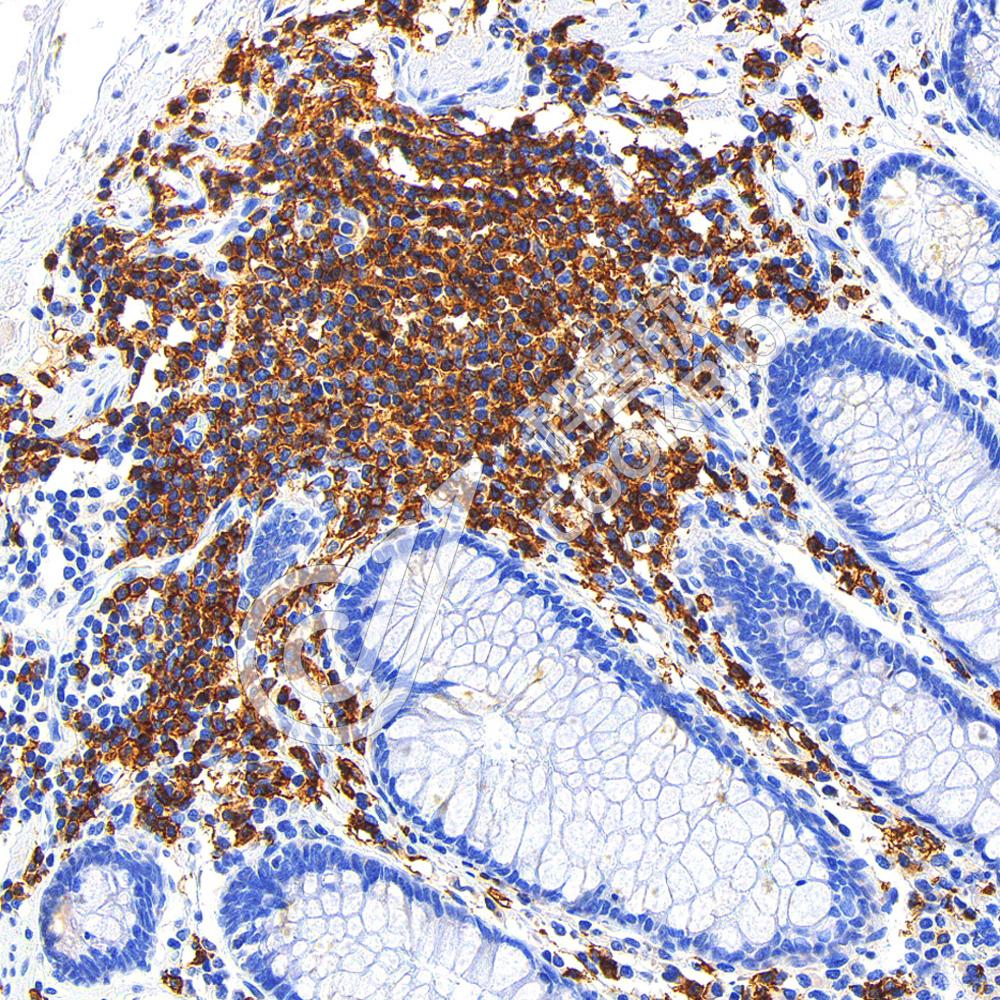
IHC检测CD20蛋白(货号 K1347163).
样品: 人结肠癌, 4%多聚甲醛 (货号KSG1101) 固定12-24小时.
抗原修复: Tris-EDTA抗原修复液(pH 9.0) (KSG1203), 98℃, 20分钟.
—抗: 1: 600稀释, 4℃ 孵育过夜.
二抗: S-vision免疫组化多聚二抗(山羊抗兔),即用型 (货号KB3906), 室温孵育20分钟.
IHC检测CD20蛋白(货号 K1347163).
样品: 人结肠, 4%多聚甲醛 (货号KSG1101) 固定12-24小时.
抗原修复: Tris-EDTA抗原修复液(pH 9.0) (KSG1203), 98℃, 20分钟.
—抗: 1: 600稀释, 4℃ 孵育过夜.
二抗: S-vision免疫组化多聚二抗(山羊抗兔),即用型 (货号KB3906), 室温孵育20分钟.

需要技术支持?

如果您有任何问题或如果您在实验过程中遇到问题,或需要更详细的技术指导,请联系我们的技术支持团队
电话 400-6027-270

联系我们

如果您对我们的公司或产品有任何疑问,欢迎随时联系我们