tel 400-6027-270
Main Image
Anti-CD9 兔多克隆抗体
¥1900
加入对比
货号: K1347091-100
预测分子量: 25 kDa
观测分子量: 22-27 kDa
亚细胞定位: 细胞膜, 分泌型, 囊泡, 细胞质
别名: 5H9,5H9 antigen,BA2,BTCC 1,CD9,CD9 antigen,CD9 molecule,Cell and organelle markers,DRAP 27,Exosome marker,GIG2,Leukocyte antigen MIC3,MIC3,Motility related protein,MRP 1,P24,Tetraspanin 29,Tspan 29,TSPAN29
应用 | 种属
WB H
IHC/IF H
规格:
产品信息
蛋白质全称 CD9抗原
别名 5H9,5H9 antigen,BA2,BTCC 1,CD9,CD9 antigen,CD9 molecule,Cell and organelle markers,DRAP 27,Exosome marker,GIG2,Leukocyte antigen MIC3,MIC3,Motility related protein,MRP 1,P24,Tetraspanin 29,Tspan 29,TSPAN29
Uniprot ID P21926
免疫原 KLH偶联的人CD9合成肽
抗体亚型 IgG
纯化方式 亲和纯化
亚细胞定位 细胞膜, 分泌型, 囊泡, 细胞质
预测分子量./观测分子量. 25 kDa / 22-27 kDa
应用
WB 免疫印迹
物种:人
稀释比:1:500-1:1000
阳性样品:—
IHC/IF 免疫组织化学/免疫荧光
物种:人
稀释比:1:500-1:1000
阳性样品:子宫内膜癌, 扁桃体
背景
CD9 (CD9 Molecule) is a Protein Coding gene. Diseases associated with CD9 include Diphtheria and Human Immunodeficiency Virus Infectious Disease. Among its related pathways are Response to elevated platelet cytosolic Ca2+ and Uptake and actions of bacterial toxins. Gene Ontology (GO) annotations related to this gene include integrin binding. An important paralog of this gene is TSPAN2.
储存条件
储存条件:储存条件在:-20℃下储存一年, 避免反复冻融.
储存缓冲液:含0.15% ProClin300防腐剂, 100 μg/mL牛血清白蛋白和50%甘油的磷酸盐缓冲液.
图像
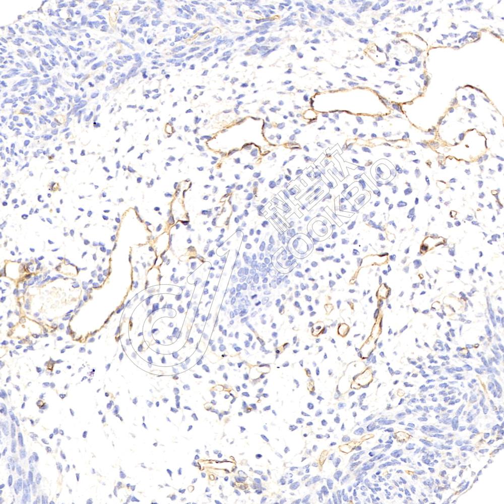
IHC检测CD9蛋白(货号 K1347091).
样品: 人子宫内膜癌, 4%多聚甲醛 (货号KSG1101) 固定12-24小时.
抗原修复: 柠檬酸抗原修复液(干粉, pH 6.0) (KSG1201), 98℃, 20分钟.
—抗: 1: 800稀释, 4℃ 孵育过夜.
二抗: S-vision免疫组化多聚二抗(山羊抗兔),即用型 (货号KB3906), 室温孵育20分钟.
IHC检测CD9蛋白(货号 K1347091).
样品: 人扁桃体, 4%多聚甲醛 (货号KSG1101) 固定12-24小时.
抗原修复: 柠檬酸抗原修复液(干粉, pH 6.0) (KSG1201), 98℃, 20分钟.
—抗: 1: 800稀释, 4℃ 孵育过夜.
二抗: S-vision免疫组化多聚二抗(山羊抗兔),即用型 (货号KB3906), 室温孵育20分钟.

需要技术支持?

如果您有任何问题或如果您在实验过程中遇到问题,或需要更详细的技术指导,请联系我们的技术支持团队
电话 400-6027-270

联系我们

如果您对我们的公司或产品有任何疑问,欢迎随时联系我们