tel 400-6027-270
Main Image
Recombinant Anti-CD8 alpha antibody (兔单克隆抗体)
¥1900
加入对比
货号: K545204-100
预测分子量: 27 kDa
观测分子量: 33-37 kDa
亚细胞定位: 细胞膜
别名: T-lymphocyte differentiation antigen T8/Leu-2,CD8a,MAL,Leu2,Leu2 T lymphocyte antigen,Ly 35,LYT3,p32,T8 T cell antigen,CD8A,CD8,Leu2,p32,CD8a molecule,CD8 alpha
应用 | 种属
WB M
IHC/IF M
规格:
产品信息
蛋白质全称 T细胞表面糖蛋白CD8α链
别名 T-lymphocyte differentiation antigen T8/Leu-2,CD8a,MAL,Leu2,Leu2 T lymphocyte antigen,Ly 35,LYT3,p32,T8 T cell antigen,CD8A,CD8,Leu2,p32,CD8a molecule,CD8 alpha
Uniprot ID P01731
免疫原 KLH偶联的小鼠CD8 alpha合成肽
抗体亚型 IgG, κ
克隆号 SB67
纯化方式 亲和纯化
亚细胞定位 细胞膜
预测分子量./观测分子量. 27 kDa / 33-37 kDa
应用
WB 免疫印迹
物种:小鼠
稀释比:1:500-1:1000
阳性样品:—
IHC/IF 免疫组织化学/免疫荧光
物种:小鼠
稀释比:1:400-1:800
阳性样品:结肠, 抗原刺激脾脏模型
背景
Integral membrane glycoprotein that plays an essential role in the immune response and serves multiple functions in responses against both external and internal offenses. In T-cells, functions primarily as a coreceptor for MHC class I molecule:peptide complex. The antigens presented by class I peptides are derived from cytosolic proteins while class II derived from extracellular proteins. Interacts simultaneously with the T-cell receptor (TCR) and the MHC class I proteins presented by antigen presenting cells (APCs).
储存条件
储存条件:储存条件在:-20℃下储存一年, 避免反复冻融.
储存缓冲液:含0.15% ProClin300防腐剂, 100 μg/mL牛血清白蛋白和50%甘油的磷酸盐缓冲液.
图像
IHC检测CD8 alpha蛋白(货号 K545204).
样品: 小鼠结肠, 4%多聚甲醛 (货号KSG1101) 固定12-24小时.
抗原修复: 柠檬酸抗原修复液(干粉, pH 6.0) (KSG1201), 高压锅均匀喷气计时2分钟.
—抗: 1: 600稀释, 4℃ 孵育过夜.
二抗: S-vision免疫组化多聚二抗(山羊抗兔),即用型 (货号KB3906), 室温孵育20分钟.
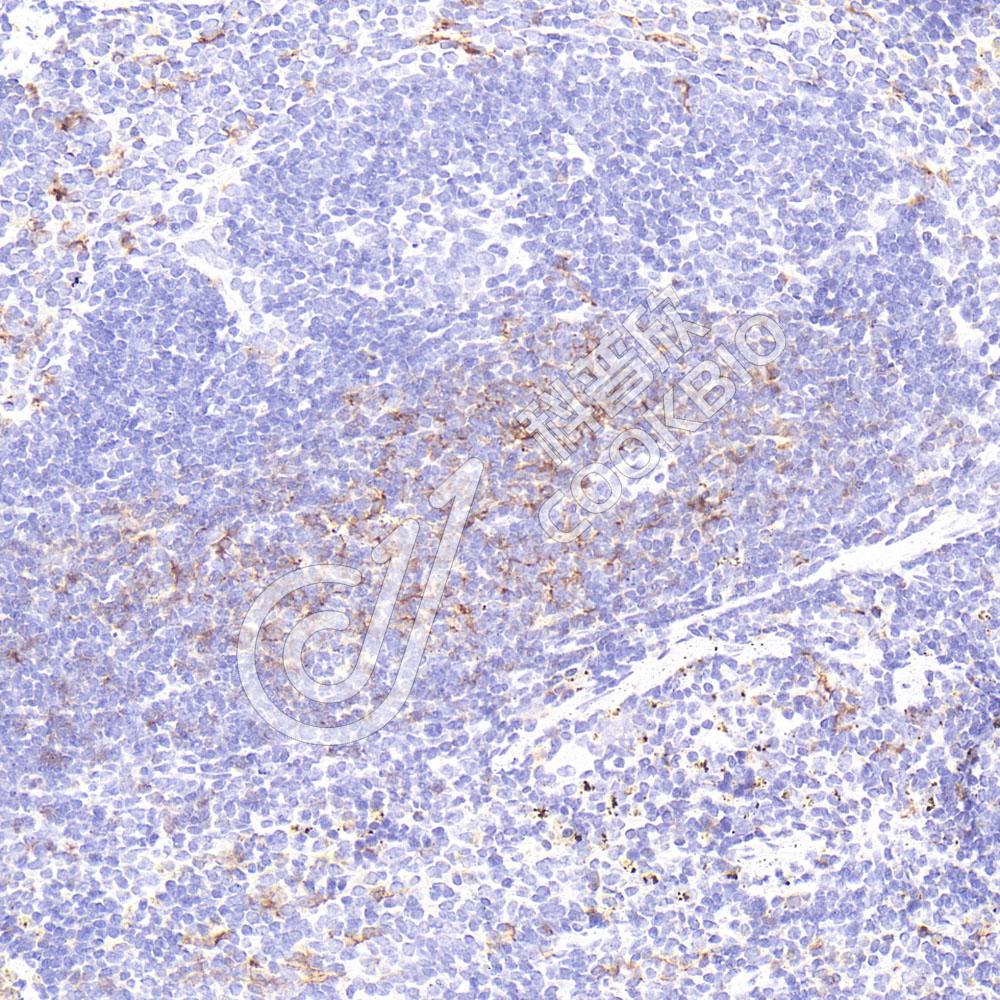
IHC检测CD8 alpha蛋白(货号 K545204).
样品: 小鼠抗原刺激脾脏模型, 4%多聚甲醛 (货号KSG1101) 固定12-24小时.
抗原修复: 柠檬酸抗原修复液(干粉, pH 6.0) (KSG1201), 高压锅均匀喷气计时2分钟.
—抗: 1: 600稀释, 4℃ 孵育过夜.
二抗: S-vision免疫组化多聚二抗(山羊抗兔),即用型 (货号KB3906), 室温孵育20分钟.

需要技术支持?

如果您有任何问题或如果您在实验过程中遇到问题,或需要更详细的技术指导,请联系我们的技术支持团队
电话 400-6027-270

联系我们

如果您对我们的公司或产品有任何疑问,欢迎随时联系我们