tel 400-6027-270
Main Image
Recombinant Anti-BMP2 antibody (兔单克隆抗体)
¥1900
加入对比
货号: K545756-100
预测分子量: 45 kDa
观测分子量: 前体蛋白:45-50 kDa 二聚体:26-29 kDa; 糖基化单体:18 kDa 单体:12-14 kDa
亚细胞定位: 分泌型
别名: BMP2,BDA2,BMP2A,bone morphogenetic protein 2
应用 | 种属
WB H,M,R
IHC/IF H,M,R
规格:
产品信息
蛋白质全称 骨形态发生蛋白2
别名 BMP2,BDA2,BMP2A,bone morphogenetic protein 2
Uniprot ID P12643
免疫原 人BMP2重组蛋白
抗体亚型 IgG, κ
克隆号 SB284
纯化方式 亲和纯化
亚细胞定位 分泌型
预测分子量./观测分子量. 45 kDa / 前体蛋白:45-50 kDa 二聚体:26-29 kDa; 糖基化单体:18 kDa 单体:12-14 kDa
应用
WB 免疫印迹
物种:人,小鼠,大鼠
稀释比:1:1000-1:3000
阳性样品:RAW264.7细胞
IHC/IF 免疫组织化学/免疫荧光
物种:人,小鼠,大鼠
稀释比:1:500-1:1000
阳性样品:骨髓, 子宫内膜癌
背景
Induces cartilage and bone formation. Stimulates the differentiation of myoblasts into osteoblasts via the EIF2AK3-EIF2A- ATF4 pathway. BMP2 activation of EIF2AK3 stimulates phosphorylation of EIF2A which leads to increased expression of ATF4 which plays a central role in osteoblast differentiation. In addition stimulates TMEM119, which upregulates the expression of ATF4.
储存条件
储存条件:储存条件在:-20℃下储存一年, 避免反复冻融.
储存缓冲液:含0.15% ProClin300防腐剂, 100 μg/mL牛血清白蛋白和50%甘油的磷酸盐缓冲液.
图像
WB检测BMP2蛋白(货号 K545756).
样品: 经RIPA裂解液(货号KSG2002)处理的蛋白质.
封闭: 3%脱脂牛奶(货号KSGC310001)溶于TBST溶液, 室温孵育1小时.
—抗: 1: 1000稀释, 4℃ 孵育过夜.
二抗: HRP标记山羊抗兔IgG (H+L) (货号KB69909), 1: 5000稀释, 室温孵育1小时.
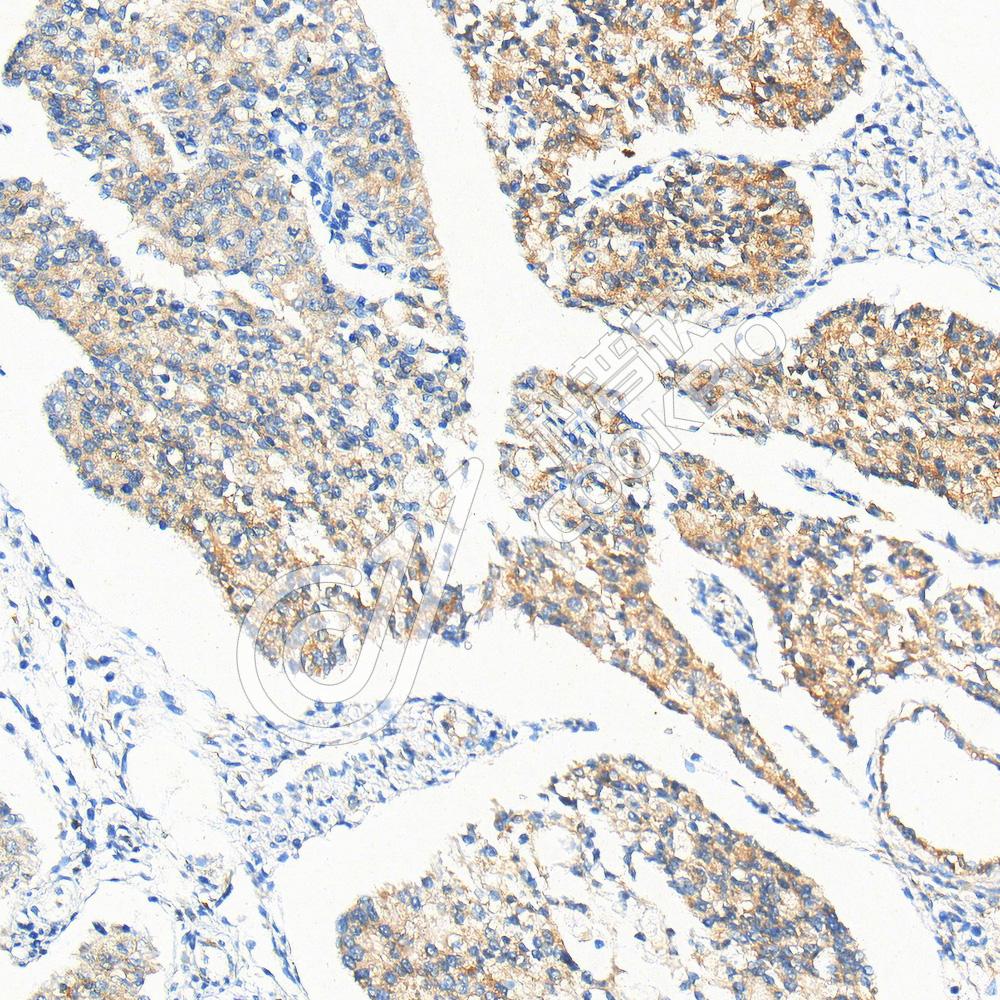
IHC检测BMP2蛋白(货号 K545756).
样品: 人子宫内膜癌, 4%多聚甲醛 (货号KSG1101) 固定12-24小时.
抗原修复: Tris-EDTA抗原修复液(pH 9.0) (KSG1203), 98℃, 20分钟.
—抗: 1: 800稀释, 4℃ 孵育过夜.
二抗: S-vision免疫组化多聚二抗(山羊抗兔),即用型 (货号KB3906), 室温孵育20分钟.
IHC检测BMP2蛋白(货号 K545756).
样品: 小鼠骨髓, 4%多聚甲醛 (货号KSG1101) 固定12-24小时.
抗原修复: Tris-EDTA抗原修复液(pH 9.0) (KSG1203), 98℃, 20分钟.
—抗: 1: 800稀释, 4℃ 孵育过夜.
二抗: S-vision免疫组化多聚二抗(山羊抗兔),即用型 (货号KB3906), 室温孵育20分钟.
IHC检测BMP2蛋白(货号 K545756).
样品: 大鼠骨髓, 4%多聚甲醛 (货号KSG1101) 固定12-24小时.
抗原修复: Tris-EDTA抗原修复液(pH 9.0) (KSG1203), 98℃, 20分钟.
—抗: 1: 800稀释, 4℃ 孵育过夜.
二抗: S-vision免疫组化多聚二抗(山羊抗兔),即用型 (货号KB3906), 室温孵育20分钟.

需要技术支持?

如果您有任何问题或如果您在实验过程中遇到问题,或需要更详细的技术指导,请联系我们的技术支持团队
电话 400-6027-270

联系我们

如果您对我们的公司或产品有任何疑问,欢迎随时联系我们