tel 400-6027-270
Main Image
Recombinant Anti-Transglutaminase 2 antibody (兔单克隆抗体)
¥1900
加入对比
货号: K5450015-100
预测分子量: 78 kDa
观测分子量: 78 kDa
亚细胞定位: 分泌型, 细胞核, 细胞质, 细胞膜, 线粒体
别名: G ALPHA h,GNAH,TG(C),TG2,TGase 2,TGase C,TGase H,TGC,TGM2,Transglutaminase 2,Transglutaminase C,Transglutaminase H
应用 | 种属
WB H
IHC/IF H
规格:
产品信息
蛋白质全称 蛋白质-谷氨酰胺γ-谷氨酰转移酶2
别名 G ALPHA h,GNAH,TG(C),TG2,TGase 2,TGase C,TGase H,TGC,TGM2,Transglutaminase 2,Transglutaminase C,Transglutaminase H
Uniprot ID P21980
免疫原 人TGM2重组蛋白
抗体亚型 IgG, κ
克隆号 SB117
纯化方式 亲和纯化
亚细胞定位 分泌型, 细胞核, 细胞质, 细胞膜, 线粒体
预测分子量./观测分子量. 78 kDa / 78 kDa
应用
WB 免疫印迹
物种:人
稀释比:1:500-1:2000
阳性样品:—
IHC/IF 免疫组织化学/免疫荧光
物种:人
稀释比:1:500-1:1000
阳性样品:子宫内膜癌, 食管癌
背景
Calcium-dependent acyltransferase that catalyzes the formation of covalent bonds between peptide-bound glutamine and various primary amines, such as gamma-amino group of peptide-bound lysine, or mono- and polyamines, thereby producing cross-linked or aminated proteins, respectively. Involved in many biological processes, such as bone development, angiogenesis, wound healing, cellular differentiation, chromatin modification and apoptosis. Acts as a protein-glutamine gamma-glutamyltransferase by mediating the cross-linking of proteins, such as ACO2, HSPB6, FN1, HMGB1, RAP1GDS1, SLC25A4/ANT1, SPP1 and WDR54.
储存条件
储存条件:储存条件在:-20℃下储存一年, 避免反复冻融.
储存缓冲液:含0.15% ProClin300防腐剂, 100 μg/mL牛血清白蛋白和50%甘油的磷酸盐缓冲液.
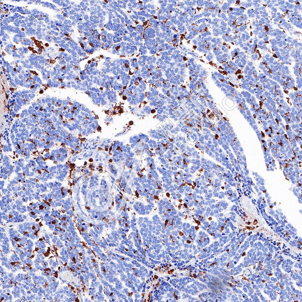
图像
IHC检测Transglutaminase 2蛋白(货号 K5450015).
样品: 人子宫内膜癌, 4%多聚甲醛 (货号KSG1101) 固定12-24小时.
抗原修复: 柠檬酸抗原修复液(干粉, pH 6.0) (KSG1201), 高压锅均匀喷气计时2分钟.
—抗: 1: 800稀释, 4℃ 孵育过夜.
二抗: S-vision免疫组化多聚二抗(山羊抗兔),即用型 (货号KB3906), 室温孵育20分钟.
IF检测Transglutaminase 2蛋白(货号 K5450015)(红色).
样品: 人食管癌, 4%多聚甲醛 (货号KSG1101) 固定12-24小时.
抗原修复: 柠檬酸抗原修复液(干粉, pH 6.0) (KSG1201), 高压锅均匀喷气计时2分钟.
封闭: 3% BSA(货号KSGC305010)的PBS溶液, 室温孵育30分钟.
—抗: 1: 800稀释, 4℃ 孵育过夜.
二抗: Cy3标记山羊抗兔IgG (H+L) (货号KB63909), 1: 300稀释, 室温孵育1小时.

需要技术支持?

如果您有任何问题或如果您在实验过程中遇到问题,或需要更详细的技术指导,请联系我们的技术支持团队
电话 400-6027-270

联系我们

如果您对我们的公司或产品有任何疑问,欢迎随时联系我们