tel 400-6027-270
Main Image
Recombinant Anti-Cytokeratin 16/K16 antibody (小鼠单克隆抗体)
¥1900
加入对比
货号: K547415-100
亚细胞定位: 细胞核, 分泌型, 细胞质
别名: Krt16,KRT16,CK16,FNEPPK,K16,K1CP,KRT16A,NEPPK,PC1,keratin 16
应用 | 种属
IHC/IF H
规格:
产品信息
蛋白质全称 I型细胞角蛋白16
别名 Krt16,KRT16,CK16,FNEPPK,K16,K1CP,KRT16A,NEPPK,PC1,keratin 16
Uniprot ID P08779
免疫原 KLH偶联的人 Cytokeratin 16合成肽
抗体亚型 IgG1, κ
克隆号 SB71
纯化方式 亲和纯化
亚细胞定位 细胞核, 分泌型, 细胞质
应用
IHC/IF 免疫组织化学/免疫荧光
物种:人
稀释比:1:500-1:1000
阳性样品:食管癌
背景
Keratin 16 is a type I cytokeratin. It is paired with keratin 6 in a number of epithelial tissues, including nail bed, esophagus, tongue, and hair follicles. Mutations in the gene encoding this protein are associated with the genetic skin disorders including pachyonychia congenita, non-epidermolytic palmoplantar keratoderma and unilateral palmoplantar verrucous nevus
储存条件
储存条件:储存条件在:-20℃下储存一年, 避免反复冻融.
储存缓冲液:含0.15% ProClin300防腐剂, 100 μg/mL牛血清白蛋白和50%甘油的磷酸盐缓冲液.
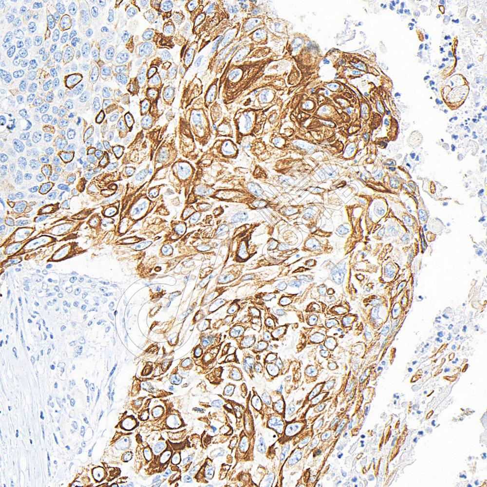
图像
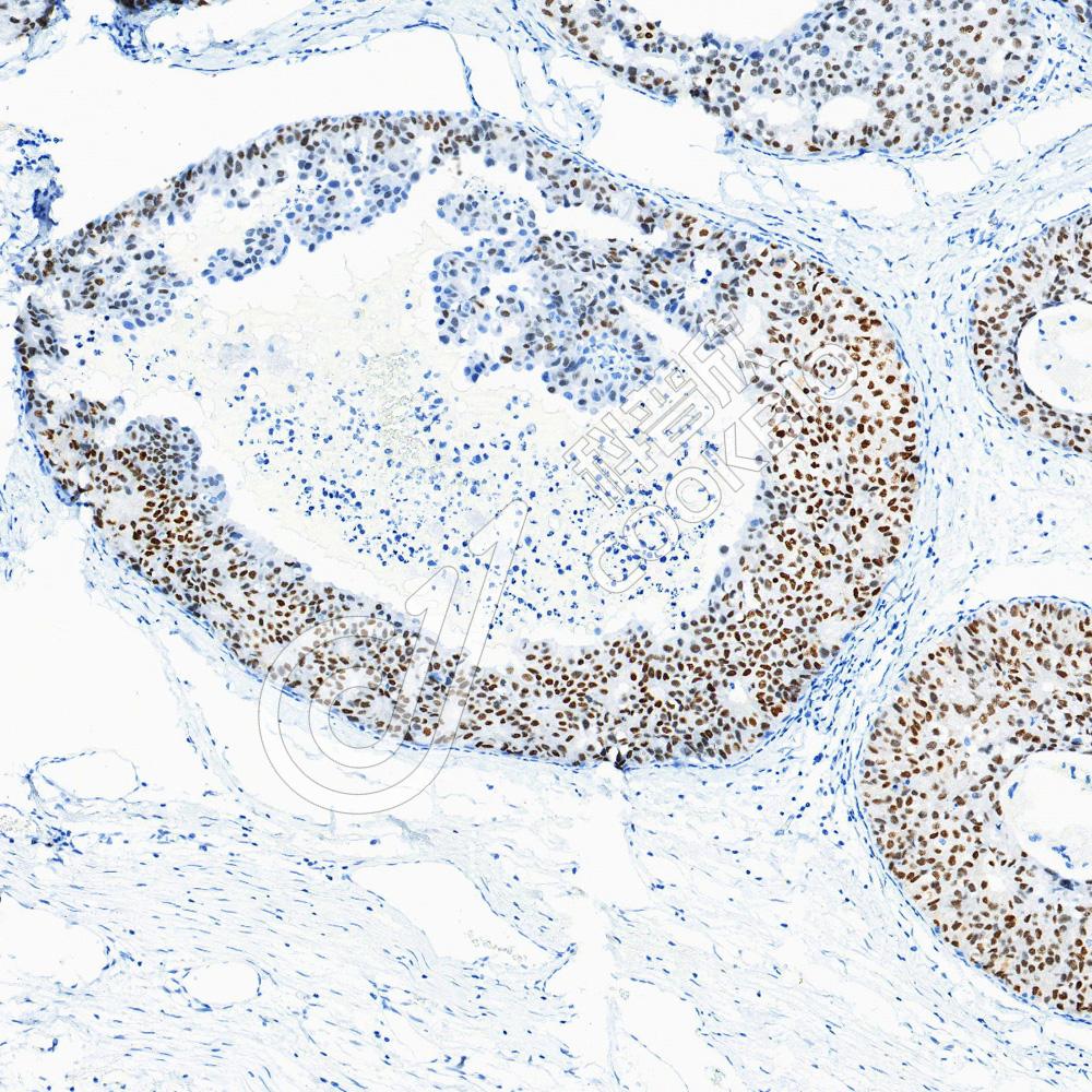
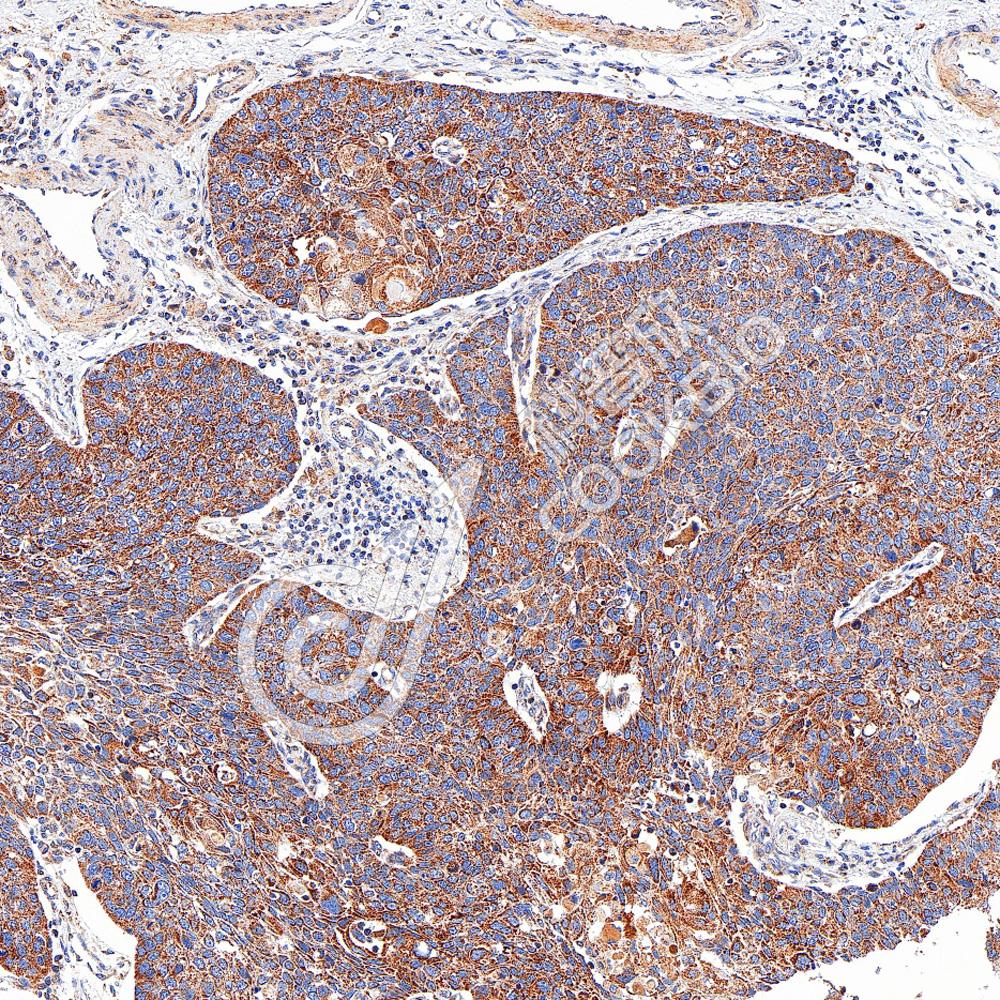
IHC检测Cytokeratin 16/K16蛋白(货号 K547415).
样品: 人食管癌, 4%多聚甲醛 (货号KSG1101) 固定12-24小时.
抗原修复: 柠檬酸抗原修复液(干粉, pH 6.0) (KSG1201), 高压锅均匀喷气计时2分钟.
—抗: 1: 800稀释, 4℃ 孵育过夜.
二抗: S-vision免疫组化多聚二抗(山羊抗小鼠), 即用型(货号KB3903), 室温孵育20分钟.
IHC检测Cytokeratin 16/K16蛋白(货号 K547415).
样品: 人食管癌, 4%多聚甲醛 (货号KSG1101) 固定12-24小时.
抗原修复: 柠檬酸抗原修复液(干粉, pH 6.0) (KSG1201), 高压锅均匀喷气计时2分钟.
—抗: 1: 800稀释, 4℃ 孵育过夜.
二抗: S-vision免疫组化多聚二抗(山羊抗小鼠), 即用型(货号KB3903), 室温孵育20分钟.

需要技术支持?

如果您有任何问题或如果您在实验过程中遇到问题,或需要更详细的技术指导,请联系我们的技术支持团队
电话 400-6027-270

联系我们

如果您对我们的公司或产品有任何疑问,欢迎随时联系我们