tel 400-6027-270
Main Image
Anti-Cytokeratin 17 小鼠单克隆抗体
¥1900
加入对比
货号: K2366312-100
预测分子量: 48 kDa
观测分子量: 48 kDa
亚细胞定位: 细胞质
别名: Cytokeratin-17,CK-17,Keratin-17,Krt1-17,Krt17,K17,keratin 17 epitope S1,PCHC1,PC2
应用 | 种属
WB H,M,R
IHC/IF H
规格:
产品信息
蛋白质全称 I型细胞角蛋白17
别名 Cytokeratin-17,CK-17,Keratin-17,Krt1-17,Krt17,K17,keratin 17 epitope S1,PCHC1,PC2
Uniprot ID Q6IFU8
免疫原 大鼠Cytokeratin 17重组蛋白
抗体亚型 IgG1, κ
克隆号 1F8C7
纯化方式 亲和纯化
亚细胞定位 细胞质
预测分子量./观测分子量. 48 kDa / 48 kDa
应用
WB 免疫印迹
物种:人,小鼠,大鼠
稀释比:1:500-1:1000
阳性样品:—
IHC/IF 免疫组织化学/免疫荧光
物种:人
稀释比:1:500-1:1500
阳性样品:宫颈癌, 宫颈鳞状细胞癌
背景
Type I keratin involved in the formation and maintenance of various skin appendages, specifically in determining shape and orientation of hair. Required for the correct growth of hair follicles, in particular for the persistence of the anagen (growth) state. Modulates the function of TNF-alpha in the specific context of hair cycling. Regulates protein synthesis and epithelial cell growth through binding to the adapter protein SFN and by stimulating Akt/mTOR pathway. Involved in tissue repair. May be a marker of basal cell differentiation in complex epithelia and therefore indicative of a certain type of epithelial "stem cells".
储存条件
储存条件:储存条件在:-20℃下储存一年, 避免反复冻融.
储存缓冲液:含0.15% ProClin300防腐剂, 100 μg/mL牛血清白蛋白和50%甘油的磷酸盐缓冲液.
图像
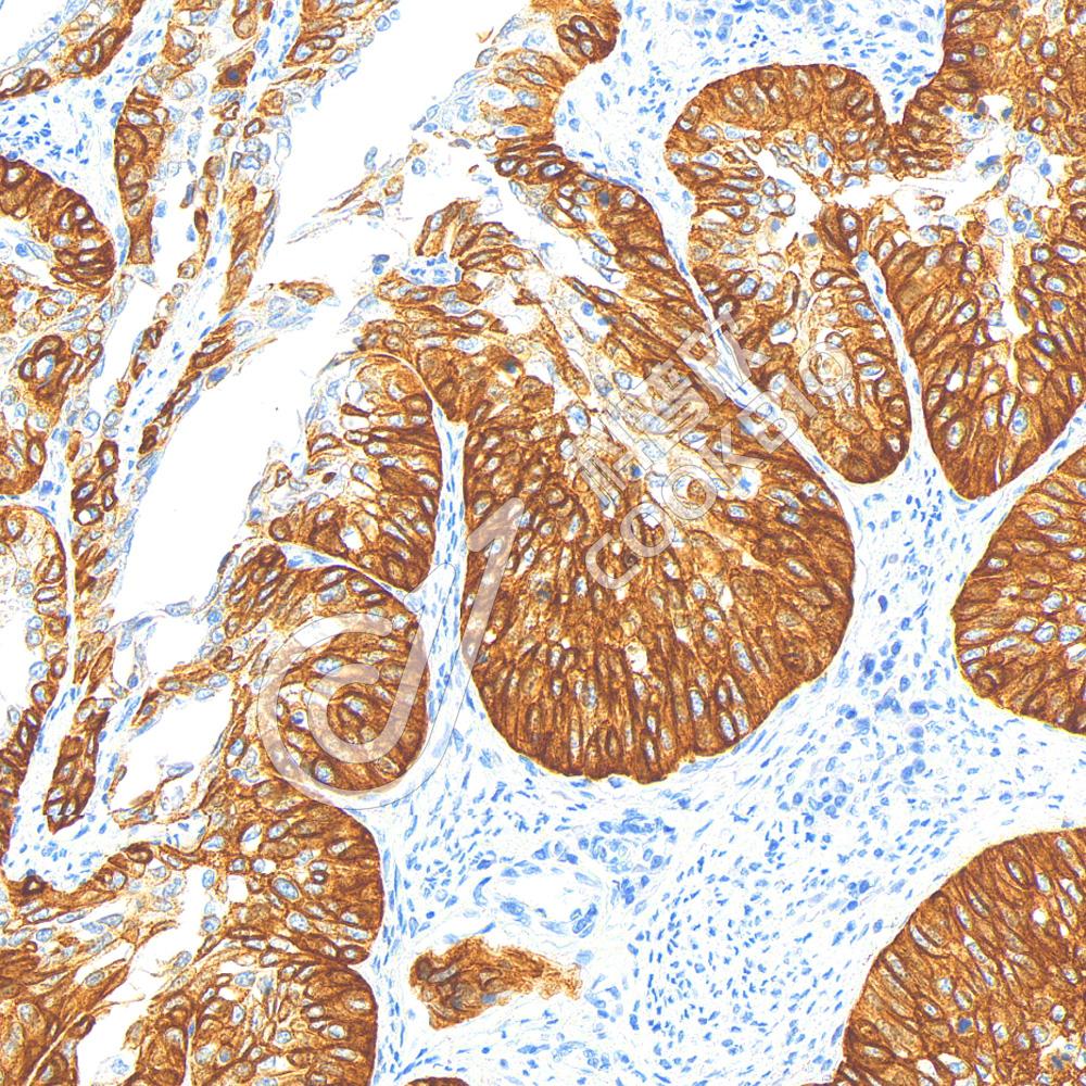
IHC检测Cytokeratin 17蛋白(货号 K2366312).
样品: 人宫颈癌, 4%多聚甲醛 (货号KSG1101) 固定12-24小时.
抗原修复: 柠檬酸抗原修复液(干粉, pH 6.0) (KSG1201), 高压锅均匀喷气计时2分钟.
—抗: 1: 1000稀释, 4℃ 孵育过夜.
二抗: S-vision免疫组化多聚二抗(山羊抗小鼠), 即用型(货号KB3903), 室温孵育20分钟.
IHC检测Cytokeratin 17蛋白(货号 K2366312).
样品: 人宫颈鳞状细胞癌, 4%多聚甲醛 (货号KSG1101) 固定12-24小时.
抗原修复: 柠檬酸抗原修复液(干粉, pH 6.0) (KSG1201), 高压锅均匀喷气计时2分钟.
—抗: 1: 1000稀释, 4℃ 孵育过夜.
二抗: S-vision免疫组化多聚二抗(山羊抗小鼠), 即用型(货号KB3903), 室温孵育20分钟.

需要技术支持?

如果您有任何问题或如果您在实验过程中遇到问题,或需要更详细的技术指导,请联系我们的技术支持团队
电话 400-6027-270

联系我们

如果您对我们的公司或产品有任何疑问,欢迎随时联系我们