tel 400-6027-270
Main Image
Anti-Cytokeratin 5 小鼠单克隆抗体
¥1900
加入对比
货号: K2363738-100
预测分子量: 62 kDa
观测分子量: 62 kDa
亚细胞定位: 细胞质
别名: Cytokeratin-5,CK-5,Keratin-5,K5,Type-II keratin Kb5,Krt5,Krt2-5
应用 | 种属
WB H
IHC/IF H
规格:
产品信息
蛋白质全称 II型细胞角蛋白5
别名 Cytokeratin-5,CK-5,Keratin-5,K5,Type-II keratin Kb5,Krt5,Krt2-5
Uniprot ID Q922U2
免疫原 小鼠Cytokeratin 5重组蛋白
抗体亚型 IgG2b, κ
克隆号 7D6F9
纯化方式 亲和纯化
亚细胞定位 细胞质
预测分子量./观测分子量. 62 kDa / 62 kDa
应用
WB 免疫印迹
物种:人
稀释比:1:1000-1:2000
阳性样品:—
IHC/IF 免疫组织化学/免疫荧光
物种:人
稀释比:1:400-1:800
阳性样品:宫颈癌, 食管
背景
The protein encoded by this gene is a member of the keratin gene family. It is one type II keratin, is coexpressed with keratin 14 in stratified squamous epithelia. The type II cytokeratins consist of basic or neutral proteins which are arranged in pairs of heterotypic keratin chains coexpressed during differentiation of simple and stratified epithelial tissues. This type II cytokeratin is specifically expressed in the basal layer of the epidermis with family member KRT14. Mutations in these genes have been associated with a complex of diseases termed epidermolysis bullosa simplex.
储存条件
储存条件:储存条件在:-20℃下储存一年, 避免反复冻融.
储存缓冲液:含0.15% ProClin300防腐剂, 100 μg/mL牛血清白蛋白和50%甘油的磷酸盐缓冲液.
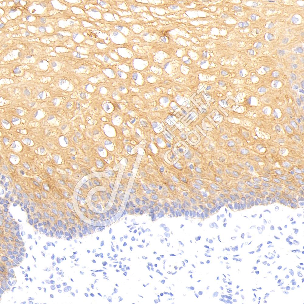
图像
IHC检测Cytokeratin 5蛋白(货号 K2363738).
样品: 人宫颈癌, 4%多聚甲醛 (货号KSG1101) 固定12-24小时.
抗原修复: 柠檬酸抗原修复液(干粉, pH 6.0) (KSG1201), 高压锅均匀喷气计时2分钟.
—抗: 1: 600稀释, 4℃ 孵育过夜.
二抗: S-vision免疫组化多聚二抗(山羊抗小鼠), 即用型(货号KB3903), 室温孵育20分钟.
IHC检测Cytokeratin 5蛋白(货号 K2363738).
样品: 人食管, 4%多聚甲醛 (货号KSG1101) 固定12-24小时.
抗原修复: 柠檬酸抗原修复液(干粉, pH 6.0) (KSG1201), 高压锅均匀喷气计时2分钟.
—抗: 1: 600稀释, 4℃ 孵育过夜.
二抗: S-vision免疫组化多聚二抗(山羊抗小鼠), 即用型(货号KB3903), 室温孵育20分钟.

需要技术支持?

如果您有任何问题或如果您在实验过程中遇到问题,或需要更详细的技术指导,请联系我们的技术支持团队
电话 400-6027-270

联系我们

如果您对我们的公司或产品有任何疑问,欢迎随时联系我们