tel 400-6027-270
Main Image
Anti-ETFA 兔多克隆抗体
¥1900
加入对比
货号: K1341502-100
预测分子量: 35 kDa
观测分子量: 35 kDa
亚细胞定位: 线粒体
别名: Alpha-ETF,EMA,ETFA,GA2,MADD
应用 | 种属
WB H,M,R
IHC/IF H
规格:
产品信息
蛋白质全称 电子转移黄素蛋白α亚基(线粒体)
别名 Alpha-ETF,EMA,ETFA,GA2,MADD
Uniprot ID Q99LC5
免疫原 KLH偶联的小鼠ETFA合成肽
抗体亚型 IgG
纯化方式 亲和纯化
亚细胞定位 线粒体
预测分子量./观测分子量. 35 kDa / 35 kDa
应用
WB 免疫印迹
物种:人,小鼠,大鼠
稀释比:1:1000-1:2000
阳性样品:—
IHC/IF 免疫组织化学/免疫荧光
物种:人
稀释比:1:800-1:3000
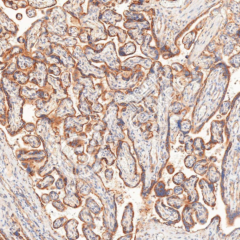
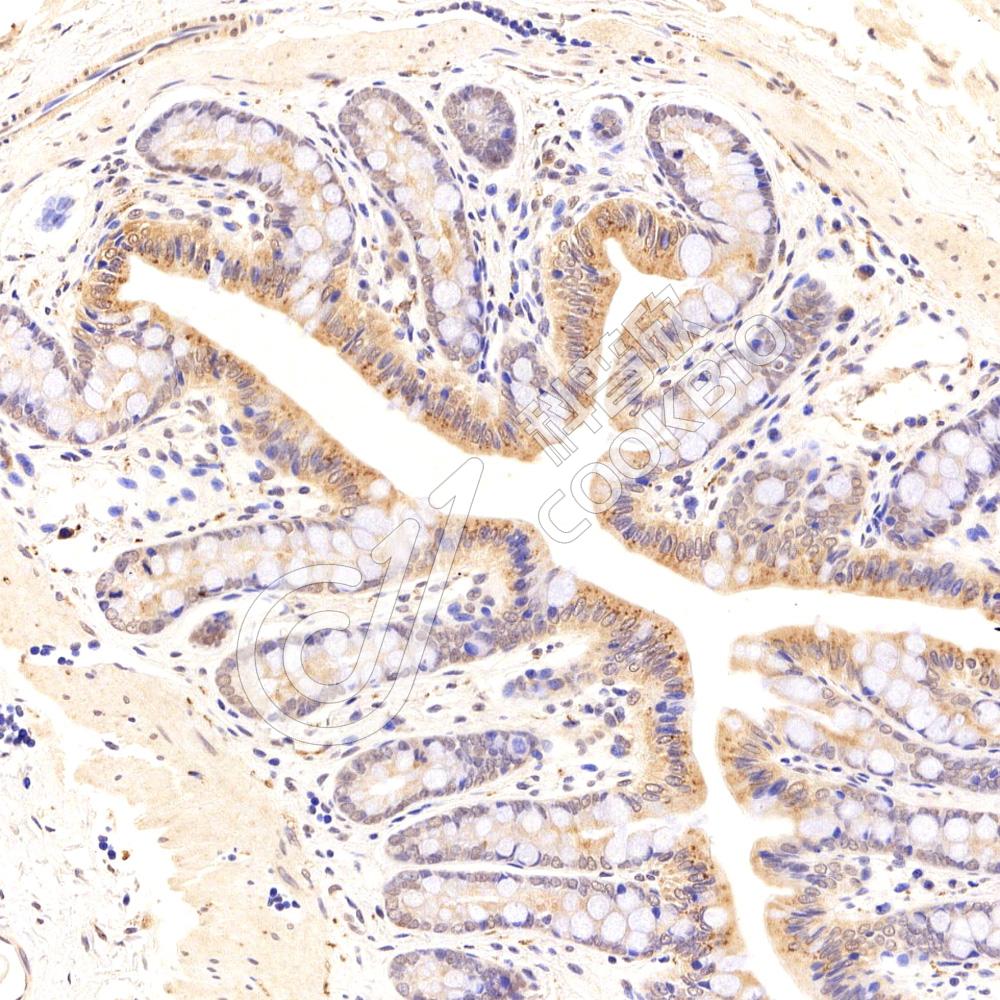
阳性样品:结肠, 肾
背景
Electron transfer flavoprotein (ETF) exists in the mitochondrial matrix as a heterodimer of 30 kD alpha subunits (ETFA) and 28 kD beta subunits (ETFB) and contains 1 flavin adenine dinucleotide (FAD) and 1 adenosine 5-prime monophosphate (AMP) per heterodimer. ETFA serves as a specific electron acceptor for several dehydrogenases, including five acyl-CoA dehydrogenases, glutaryl-CoA and sarcosine dehydrogenase.
储存条件
储存条件:储存条件在:-20℃下储存一年, 避免反复冻融.
储存缓冲液:含0.15% ProClin300防腐剂, 100 μg/mL牛血清白蛋白和50%甘油的磷酸盐缓冲液.
图像
IF检测ETFA蛋白(货号 K1341502)(红色).
样品: 人结肠, 4%多聚甲醛 (货号KSG1101) 固定12-24小时.
抗原修复: Tris-EDTA抗原修复液(pH 9.0) (KSG1203), 98℃, 20分钟.
封闭: 3% BSA(货号KSGC305010)的PBS溶液, 室温孵育30分钟.
—抗: 1: 1900稀释, 4℃ 孵育过夜.
二抗: Cy3标记山羊抗兔IgG (H+L) (货号KB63909), 1: 300稀释, 室温孵育1小时.
IF检测ETFA蛋白(货号 K1341502)(红色).
样品: 人肾, 4%多聚甲醛 (货号KSG1101) 固定12-24小时.
抗原修复: Tris-EDTA抗原修复液(pH 9.0) (KSG1203), 98℃, 20分钟.
封闭: 3% BSA(货号KSGC305010)的PBS溶液, 室温孵育30分钟.
—抗: 1: 1900稀释, 4℃ 孵育过夜.
二抗: Cy3标记山羊抗兔IgG (H+L) (货号KB63909), 1: 300稀释, 室温孵育1小时.

需要技术支持?

如果您有任何问题或如果您在实验过程中遇到问题,或需要更详细的技术指导,请联系我们的技术支持团队
电话 400-6027-270

联系我们

如果您对我们的公司或产品有任何疑问,欢迎随时联系我们