tel 400-6027-270
Main Image
Anti-Glutathione Peroxidase 4 小鼠单克隆抗体
¥1900
加入对比
货号: K2360030-100
预测分子量: 22 kDa
观测分子量: 18-23 kDa
亚细胞定位: 细胞质, 线粒体, 细胞核
别名: PHGPx,Glutathione peroxidase 4,GPx-4,GSHPx-4,Gpx4,snGPx,snPHGPx
应用 | 种属
WB M,R
IHC/IF M,R
规格:
产品信息
蛋白质全称 谷胱甘肽过氧化物酶4
别名 PHGPx,Glutathione peroxidase 4,GPx-4,GSHPx-4,Gpx4,snGPx,snPHGPx
Uniprot ID O70325
免疫原 小鼠GPX4重组蛋白
抗体亚型 IgG1, κ
克隆号 8A10F5
纯化方式 亲和纯化
亚细胞定位 细胞质, 线粒体, 细胞核
预测分子量./观测分子量. 22 kDa / 18-23 kDa
应用
WB 免疫印迹
物种:小鼠,大鼠
稀释比:1:500-1:1500
阳性样品:—
IHC/IF 免疫组织化学/免疫荧光
物种:小鼠,大鼠
稀释比:1:500-1:1500
阳性样品:睾丸
背景
GPX4 (Phospholipid hydroperoxide glutathione peroxidase, mitochondrial) protects cells against membrane lipid peroxidation and cell death. Required for normal sperm development and male fertility.It has two isforms about 20KDa and 22KDa, respectively. GPX4 is a monomer,but it has a tendency to form higher mass oligomers . It presents primarily in testis.
储存条件
储存条件:储存条件在:-20℃下储存一年, 避免反复冻融.
储存缓冲液:含0.15% ProClin300防腐剂, 100 μg/mL牛血清白蛋白和50%甘油的磷酸盐缓冲液.
图像
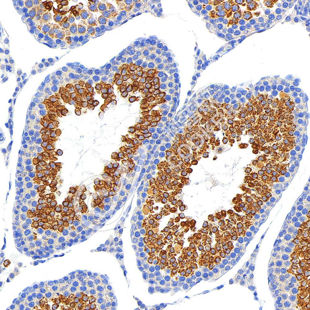
IHC检测Glutathione Peroxidase 4蛋白(货号 K2360030).
样品: 小鼠睾丸, 4%多聚甲醛 (货号KSG1101) 固定12-24小时.
抗原修复: Tris-EDTA抗原修复液(pH 9.0) (KSG1203), 98℃, 20分钟.
—抗: 1: 1000稀释, 4℃ 孵育过夜.
二抗: S-vision免疫组化多聚二抗(山羊抗小鼠), 即用型(货号KB3903), 室温孵育20分钟.
IHC检测Glutathione Peroxidase 4蛋白(货号 K2360030).
样品: 大鼠睾丸, 4%多聚甲醛 (货号KSG1101) 固定12-24小时.
抗原修复: Tris-EDTA抗原修复液(pH 9.0) (KSG1203), 98℃, 20分钟.
—抗: 1: 1000稀释, 4℃ 孵育过夜.
二抗: S-vision免疫组化多聚二抗(山羊抗小鼠), 即用型(货号KB3903), 室温孵育20分钟.

需要技术支持?

如果您有任何问题或如果您在实验过程中遇到问题,或需要更详细的技术指导,请联系我们的技术支持团队
电话 400-6027-270

联系我们

如果您对我们的公司或产品有任何疑问,欢迎随时联系我们