tel 400-6027-270
Main Image
Anti-MRP6/ARA 兔多克隆抗体
¥1900
加入对比
货号: K1340026-100
亚细胞定位: 细胞膜
别名: ABC34,ABCC6,ARA,EST349056,MLP1,MOAT E,MOATE,MRP6,PXE,PXE1
应用 | 种属
IHC/IF M
规格:
产品信息
蛋白质全称 ABC亚家族C成员6
别名 ABC34,ABCC6,ARA,EST349056,MLP1,MOAT E,MOATE,MRP6,PXE,PXE1
Uniprot ID Q9R1S7
免疫原 KLH偶联的小鼠MRP6/ARA合成肽
抗体亚型 IgG
纯化方式 亲和纯化
亚细胞定位 细胞膜
应用
IHC/IF 免疫组织化学/免疫荧光
物种:小鼠
稀释比:1:1000-1:2000
阳性样品:肾
背景
The ATP-binding cassette transporter 6 (ABCC6) gene, also named as MRP6, is a cellular transmembrane protein transporter and belongs to ATP-binding cassette (ABC) family. ABCC6 is an ATP-dependent transporter contains two ATP-binding domains. It is mainly found in the liver, the proximal tubules of the kidneys and the intestines. ABCC6 is involved in a pathway of extracellular nucleotide metabolism and the regulation of tissue calcification.
储存条件
储存条件:储存条件在:-20℃下储存一年, 避免反复冻融.
储存缓冲液:含0.15% ProClin300防腐剂, 100 μg/mL牛血清白蛋白和50%甘油的磷酸盐缓冲液.
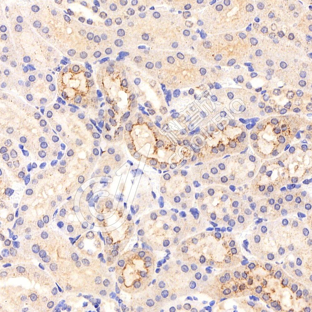
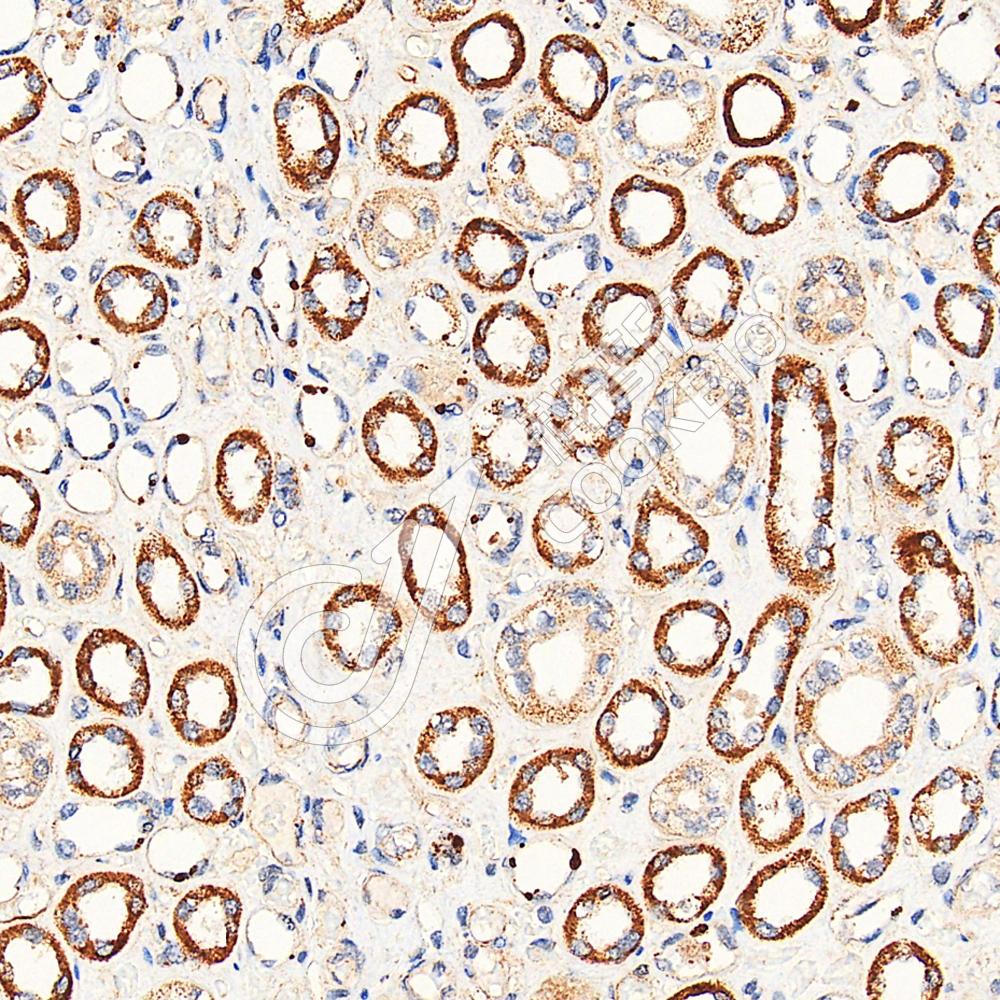
图像
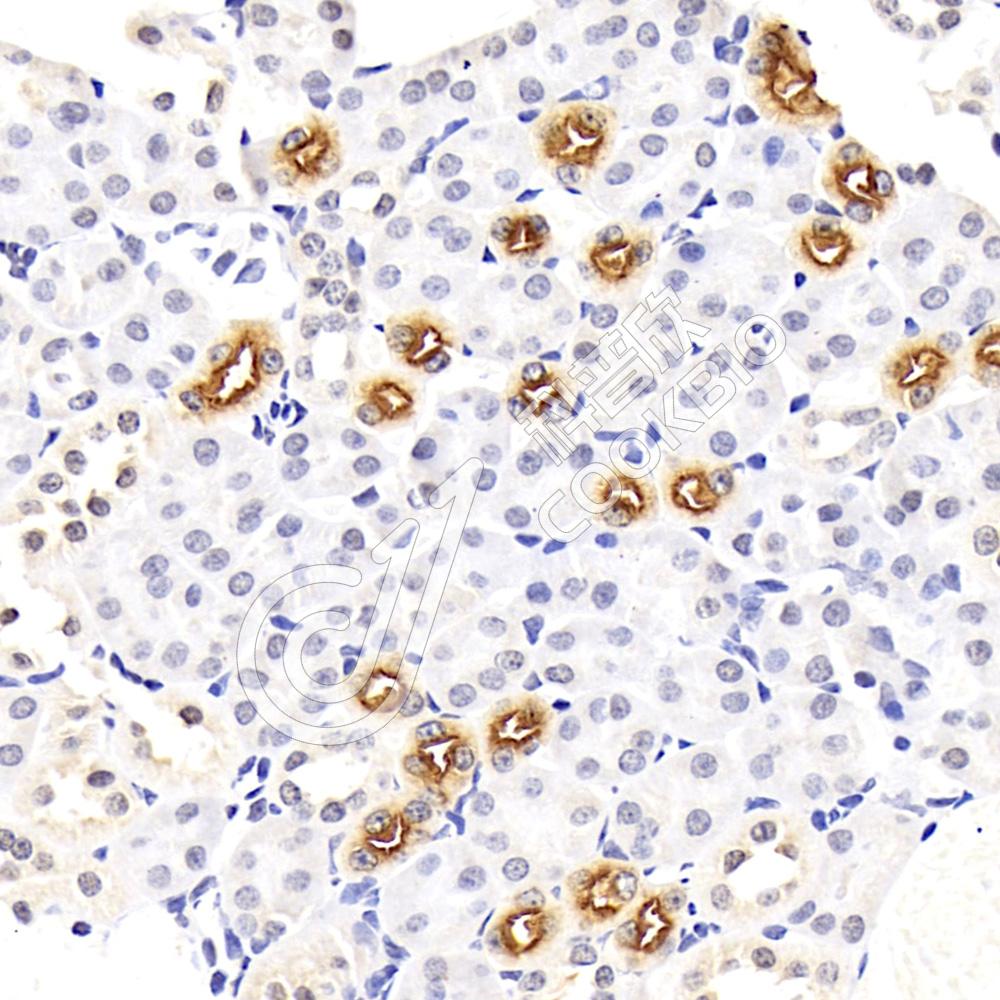
IHC检测MRP6/ARA蛋白(货号 K1340026).
样品: 小鼠肾, 4%多聚甲醛 (货号KSG1101) 固定12-24小时.
抗原修复: 柠檬酸抗原修复液(干粉, pH 6.0) (KSG1201), 98℃, 20分钟.
—抗: 1: 1500稀释, 4℃ 孵育过夜.
二抗: S-vision免疫组化多聚二抗(山羊抗兔),即用型 (货号KB3906), 室温孵育20分钟.
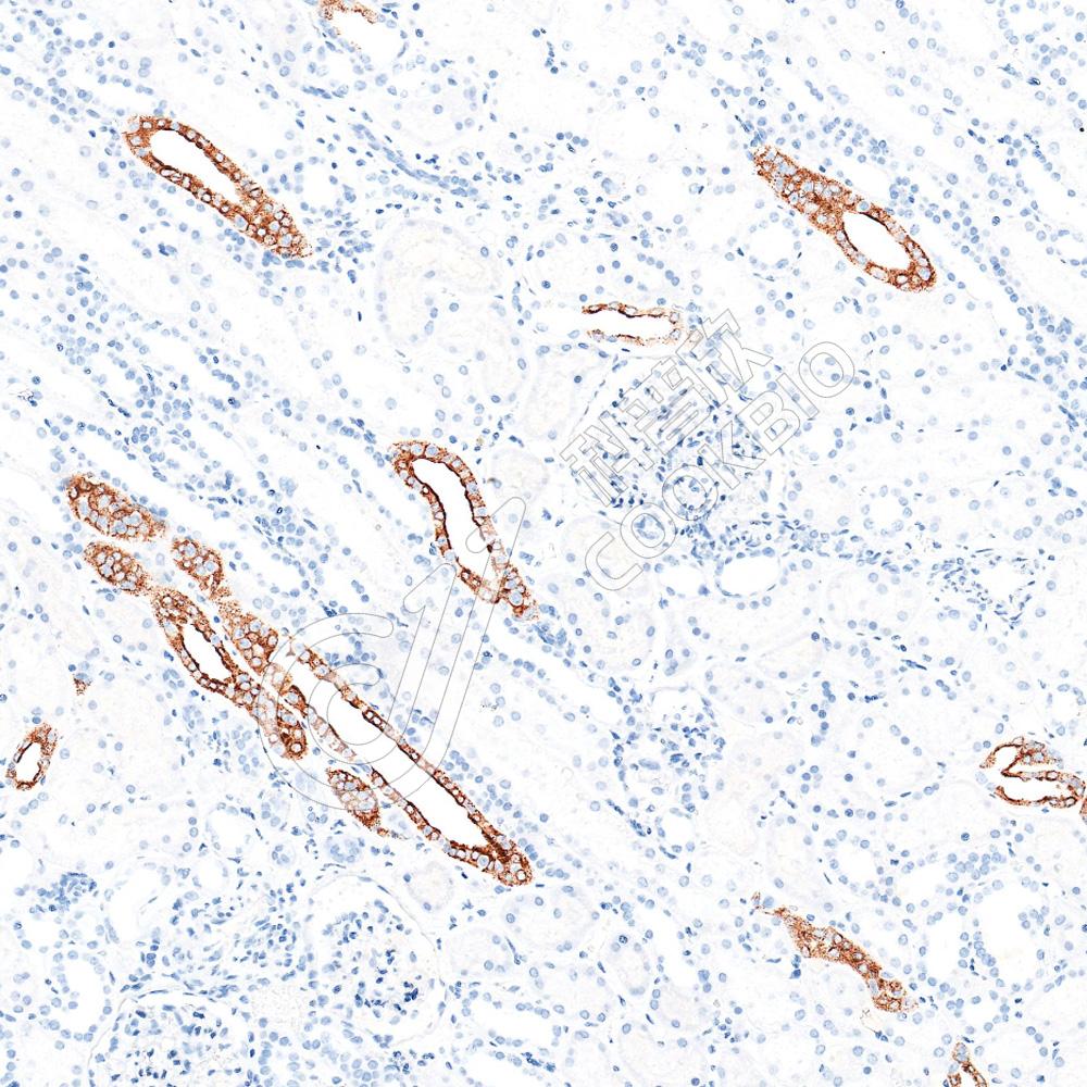
IHC检测MRP6/ARA蛋白(货号 K1340026).
样品: 小鼠肾, 4%多聚甲醛 (货号KSG1101) 固定12-24小时.
抗原修复: 柠檬酸抗原修复液(干粉, pH 6.0) (KSG1201), 98℃, 20分钟.
—抗: 1: 1500稀释, 4℃ 孵育过夜.
二抗: S-vision免疫组化多聚二抗(山羊抗兔),即用型 (货号KB3906), 室温孵育20分钟.

需要技术支持?

如果您有任何问题或如果您在实验过程中遇到问题,或需要更详细的技术指导,请联系我们的技术支持团队
电话 400-6027-270

联系我们

如果您对我们的公司或产品有任何疑问,欢迎随时联系我们