tel 400-6027-270
Main Image
Anti-ME2 兔多克隆抗体
¥1900
加入对比
货号: K1339912-100
亚细胞定位: 线粒体
别名: Malic enzyme 2,ME2,NAD-ME,ODS1,Pyruvic malic carboxylase,Malate dehydrogenase
应用 | 种属
IHC/IF H,R
ICC/IF H,M
规格:
产品信息
蛋白质全称 线粒体NAD依赖苹果酸酶
别名 Malic enzyme 2,ME2,NAD-ME,ODS1,Pyruvic malic carboxylase,Malate dehydrogenase
Uniprot ID Q99KE1
免疫原 小鼠ME2重组蛋白
抗体亚型 IgG
纯化方式 亲和纯化
亚细胞定位 线粒体
应用
IHC/IF 免疫组织化学/免疫荧光
物种:人,大鼠
稀释比:1:3000-1:6000
阳性样品:结肠, 肾
ICC/IF 免疫细胞化学/免疫荧光
物种:人,小鼠
稀释比:1:100-1:400
阳性样品:—
背景
ME2(malic enzyme 2) is also named as NAD-ME and belongs to the malic enzymes family. ME1, ME2 are important for NADPH production, lipogenesis and glutamine metabolism, but ME2 has a more profound effect. ME2 is a genome-coded mitochondrial enzyme that converts malate to pyruvate and is involved in neuronal synthesis of the neurotransmitter γ-aminobutyric acid (GABA). This protein has 2 isoforms produced by alternative splicing with the MW of 65 kDa and 54 kDa.
储存条件
储存条件:储存条件在:-20℃下储存一年, 避免反复冻融.
储存缓冲液:含0.15% ProClin300防腐剂, 100 μg/mL牛血清白蛋白和50%甘油的磷酸盐缓冲液.
图像
IHC检测ME2蛋白(货号 K1339912).
样品: 人结肠, 4%多聚甲醛 (货号KSG1101) 固定12-24小时.
抗原修复: 柠檬酸抗原修复液(干粉, pH 6.0) (KSG1201), 98℃, 20分钟.
—抗: 1: 4500稀释, 4℃ 孵育过夜.
二抗: S-vision免疫组化多聚二抗(山羊抗兔),即用型 (货号KB3906), 室温孵育20分钟.
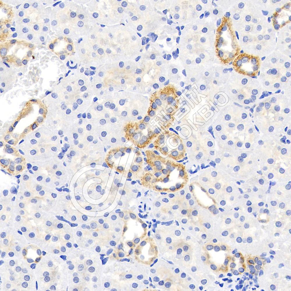
IHC检测ME2蛋白(货号 K1339912).
样品: 大鼠肾, 4%多聚甲醛 (货号KSG1101) 固定12-24小时.
抗原修复: 柠檬酸抗原修复液(干粉, pH 6.0) (KSG1201), 98℃, 20分钟.
—抗: 1: 4500稀释, 4℃ 孵育过夜.
二抗: S-vision免疫组化多聚二抗(山羊抗兔),即用型 (货号KB3906), 室温孵育20分钟.

需要技术支持?

如果您有任何问题或如果您在实验过程中遇到问题,或需要更详细的技术指导,请联系我们的技术支持团队
电话 400-6027-270

联系我们

如果您对我们的公司或产品有任何疑问,欢迎随时联系我们