tel 400-6027-270
Main Image
Anti-ATP5G3 兔多克隆抗体
¥1900
加入对比
货号: K1340020-100
亚细胞定位: 线粒体
别名: ATP synthase lipid-binding protein,ATPase protein 9,ATPase subunit c,Atp5mc3,Atp5g3,ATP synthase membrane subunit c locus 3
应用 | 种属
IHC/IF M
规格:
产品信息
蛋白质全称 ATP合酶F0复合体C3亚基(线粒体)
别名 ATP synthase lipid-binding protein,ATPase protein 9,ATPase subunit c,Atp5mc3,Atp5g3,ATP synthase membrane subunit c locus 3
Uniprot ID P56384
免疫原 KLH偶联的小鼠ATP5G3合成肽
抗体亚型 IgG
纯化方式 亲和纯化
亚细胞定位 线粒体
应用
IHC/IF 免疫组织化学/免疫荧光
物种:小鼠
稀释比:1:700-1:1400
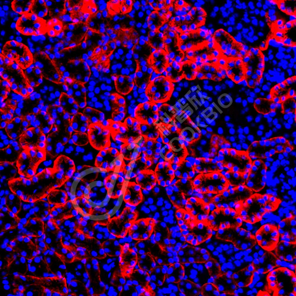
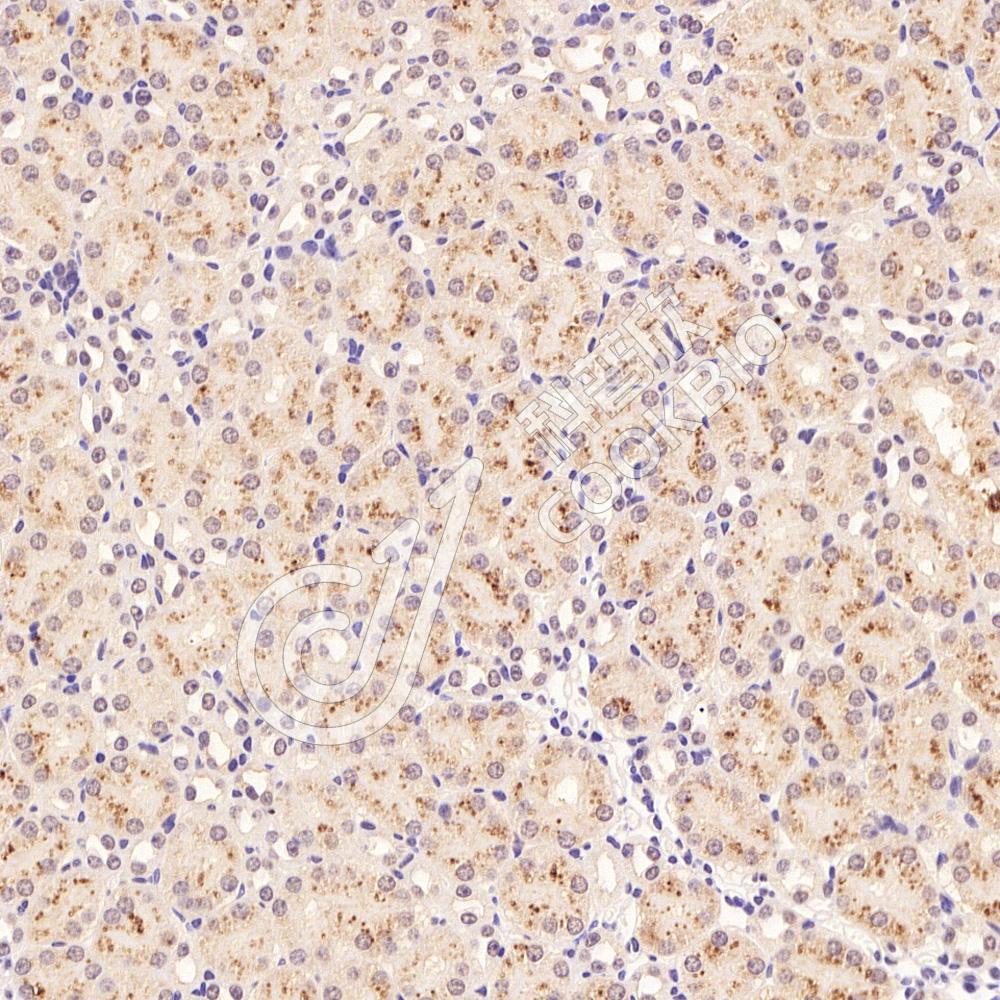
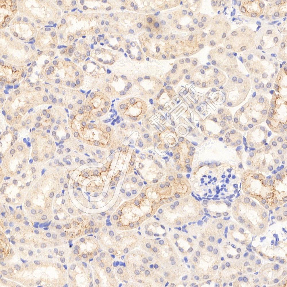
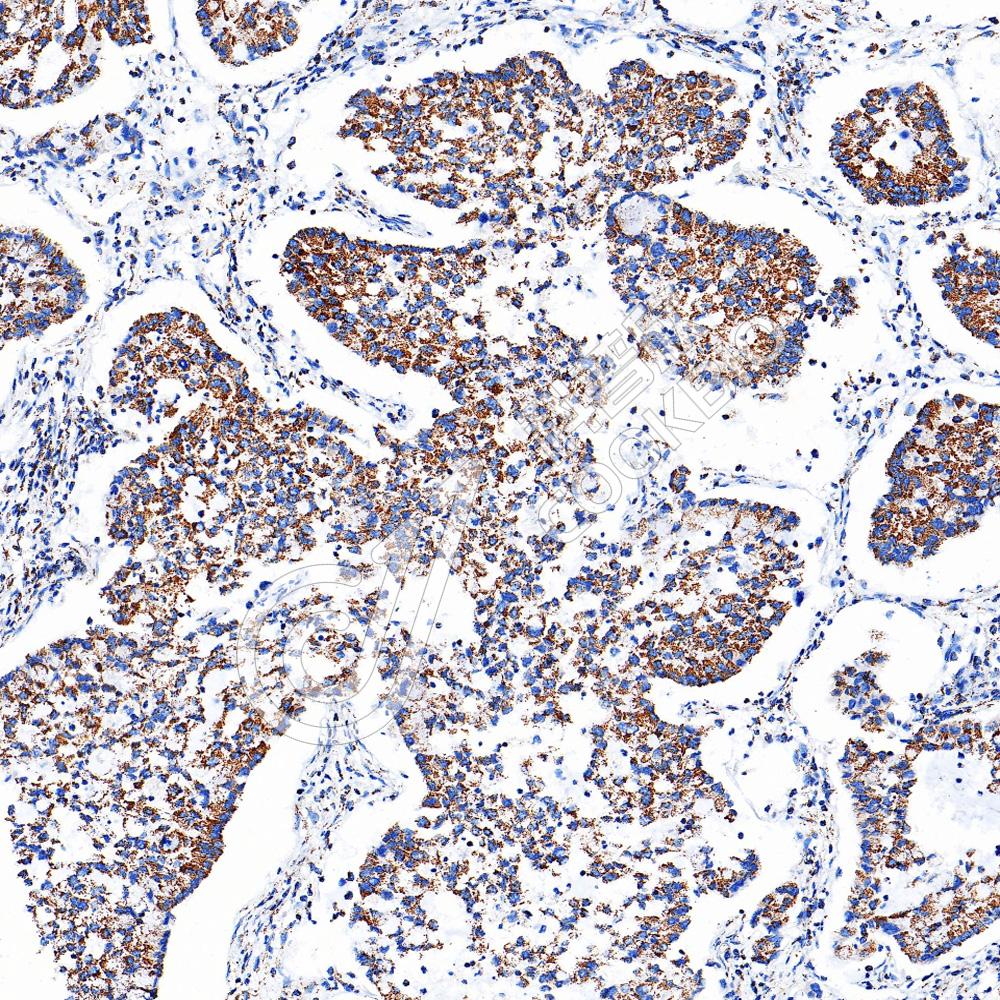
阳性样品:肾
背景
Mitochondrial membrane ATP synthase (F1F0 ATP synthase or Complex V) produces ATP from ADP in the presence of a proton gradient across the membrane which is generated by electron transport complexes of the respiratory chain. F-type ATPases consist of two structural domains, F1 - containing the extramembraneous catalytic core and F0 - containing the membrane proton channel, linked together by a central stalk and a peripheral stalk.
储存条件
储存条件:储存条件在:-20℃下储存一年, 避免反复冻融.
储存缓冲液:含0.15% ProClin300防腐剂, 100 μg/mL牛血清白蛋白和50%甘油的磷酸盐缓冲液.
图像
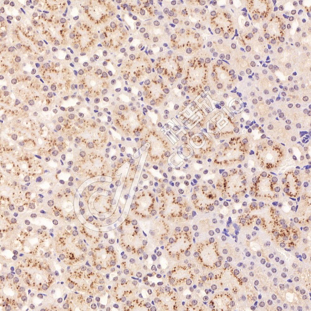
IHC检测ATP5G3蛋白(货号 K1340020).
样品: 小鼠肾, 4%多聚甲醛 (货号KSG1101) 固定12-24小时.
抗原修复: 柠檬酸抗原修复液(干粉, pH 6.0) (KSG1201), 98℃, 20分钟.
—抗: 1: 1100稀释, 4℃ 孵育过夜.
二抗: S-vision免疫组化多聚二抗(山羊抗兔),即用型 (货号KB3906), 室温孵育20分钟.
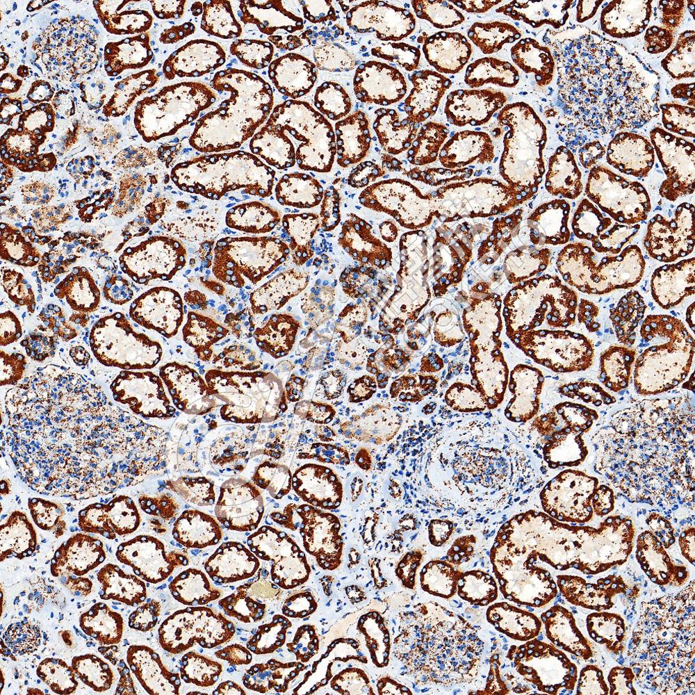
IHC检测ATP5G3蛋白(货号 K1340020).
样品: 小鼠肾, 4%多聚甲醛 (货号KSG1101) 固定12-24小时.
抗原修复: 柠檬酸抗原修复液(干粉, pH 6.0) (KSG1201), 98℃, 20分钟.
—抗: 1: 1100稀释, 4℃ 孵育过夜.
二抗: S-vision免疫组化多聚二抗(山羊抗兔),即用型 (货号KB3906), 室温孵育20分钟.

需要技术支持?

如果您有任何问题或如果您在实验过程中遇到问题,或需要更详细的技术指导,请联系我们的技术支持团队
电话 400-6027-270

联系我们

如果您对我们的公司或产品有任何疑问,欢迎随时联系我们