tel 400-6027-270
Main Image
Anti-GCKR 兔多克隆抗体
¥1900
加入对比
货号: K1341547-100
预测分子量: 65 kDa
观测分子量: 65 kDa
亚细胞定位: 细胞质, 线粒体, 细胞核
别名: GCKR,KHS,KHS1,MAP4K5,MAPKKKK5,MEK kinase kinase 5,MEKKK 5
应用 | 种属
WB R
IHC/IF M,R
规格:
产品信息
蛋白质全称 葡萄糖激酶调节蛋白
别名 GCKR,KHS,KHS1,MAP4K5,MAPKKKK5,MEK kinase kinase 5,MEKKK 5
Uniprot ID Q91X44
免疫原 KLH偶联的小鼠GCKR合成肽
抗体亚型 IgG
纯化方式 亲和纯化
亚细胞定位 细胞质, 线粒体, 细胞核
预测分子量./观测分子量. 65 kDa / 65 kDa
应用
WB 免疫印迹
物种:大鼠
稀释比:1:1000-1:3000
阳性样品:—
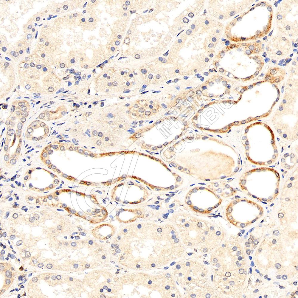
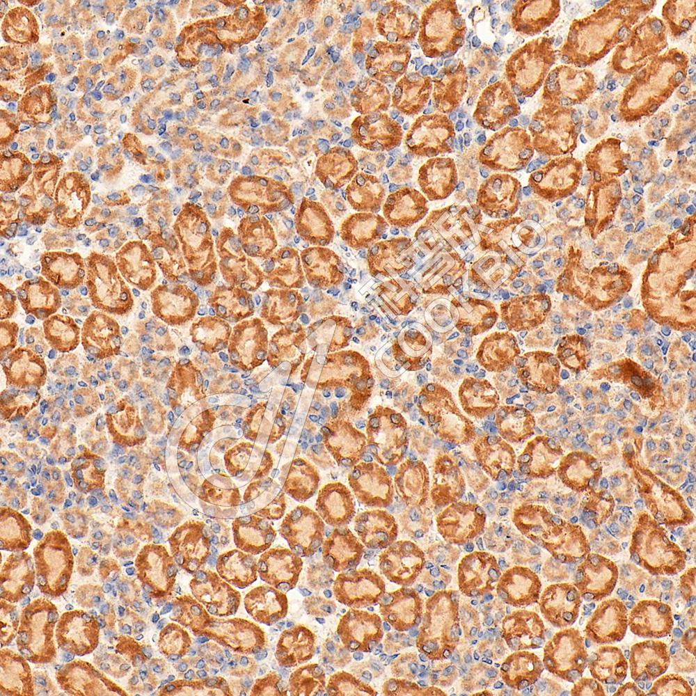
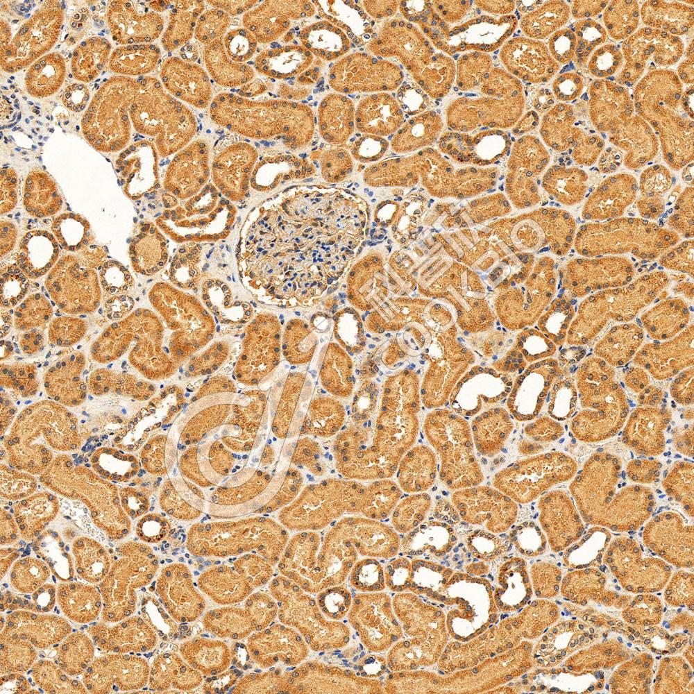
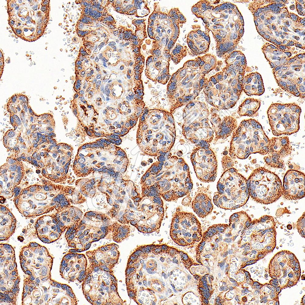
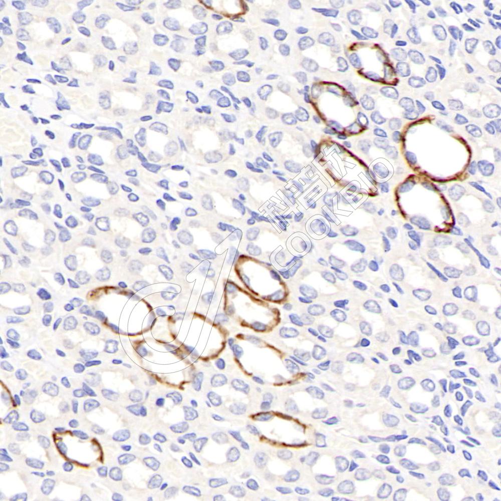
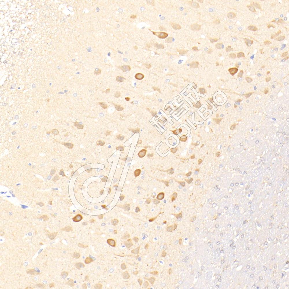
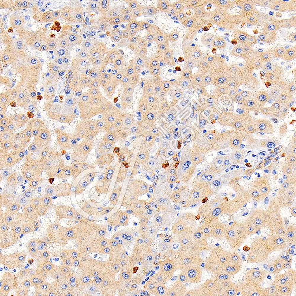
IHC/IF 免疫组织化学/免疫荧光
物种:小鼠,大鼠
稀释比:1:1000-1:3000
阳性样品:肝
背景
This gene encodes a protein belonging to the GCKR subfamily of the SIS (Sugar ISomerase) family of proteins. The gene product is a regulatory protein that inhibits glucokinase in liver and pancreatic islet cells by binding non-covalently to form an inactive complex with the enzyme. This gene is considered a susceptibility gene candidate for a form of maturity-onset diabetes of the young (MODY).
储存条件
储存条件:储存条件在:-20℃下储存一年, 避免反复冻融.
储存缓冲液:含0.15% ProClin300防腐剂, 100 μg/mL牛血清白蛋白和50%甘油的磷酸盐缓冲液.
图像
IF检测GCKR蛋白(货号 K1341547)(红色).
样品: 小鼠肝, 4%多聚甲醛 (货号KSG1101) 固定12-24小时.
抗原修复: Tris-EDTA抗原修复液(pH 9.0) (KSG1203), 98℃, 20分钟.
封闭: 3% BSA(货号KSGC305010)的PBS溶液, 室温孵育30分钟.
—抗: 1: 2000稀释, 4℃ 孵育过夜.
二抗: Cy3标记山羊抗兔IgG (H+L) (货号KB63909), 1: 300稀释, 室温孵育1小时.
IF检测GCKR蛋白(货号 K1341547)(红色).
样品: 大鼠肝, 4%多聚甲醛 (货号KSG1101) 固定12-24小时.
抗原修复: Tris-EDTA抗原修复液(pH 9.0) (KSG1203), 98℃, 20分钟.
封闭: 3% BSA(货号KSGC305010)的PBS溶液, 室温孵育30分钟.
—抗: 1: 2000稀释, 4℃ 孵育过夜.
二抗: Cy3标记山羊抗兔IgG (H+L) (货号KB63909), 1: 300稀释, 室温孵育1小时.

需要技术支持?

如果您有任何问题或如果您在实验过程中遇到问题,或需要更详细的技术指导,请联系我们的技术支持团队
电话 400-6027-270

联系我们

如果您对我们的公司或产品有任何疑问,欢迎随时联系我们