tel 400-6027-270
Main Image
Anti-Carbonic Anhydrase 13/CA13 兔多克隆抗体
¥1900
加入对比
货号: K1335433-100
预测分子量: 30 kDa
观测分子量: 30 kDa
亚细胞定位: 细胞质
别名: Carbonate dehydratase XIII,Carbonic anhydrase XIII,CA-XIII,Ca13,Car13,CAXIII
应用 | 种属
WB M,R
IHC/IF M,R
规格:
产品信息
蛋白质全称 碳酸酐酶13
别名 Carbonate dehydratase XIII,Carbonic anhydrase XIII,CA-XIII,Ca13,Car13,CAXIII
Uniprot ID Q9D6N1
免疫原 小鼠Carbonic Anhydrase 13/CA13重组蛋白
抗体亚型 IgG
纯化方式 亲和纯化
亚细胞定位 细胞质
预测分子量./观测分子量. 30 kDa / 30 kDa
应用
WB 免疫印迹
物种:小鼠,大鼠
稀释比:1:500-1:1000
阳性样品:—
IHC/IF 免疫组织化学/免疫荧光
物种:小鼠,大鼠
稀释比:1:400-1:800
阳性样品:肾, 小肠
背景
CA13 is a cytosolic proteinmay that may play a role in embryogenesis and perturbation of its function by genetic modification could potentially lead to developmental abnormalities.Carbonic anhydrases (CAs) are zinc-containing metalloenzymes that catalyze reversible hydration of carbon dioxide. The mammalian α-CA gene family has been reported to include at least eleven enzymatically active isoforms with different structural and catalytic properties.
储存条件
储存条件:储存条件在:-20℃下储存一年, 避免反复冻融.
储存缓冲液:含0.15% ProClin300防腐剂, 100 μg/mL牛血清白蛋白和50%甘油的磷酸盐缓冲液.
图像
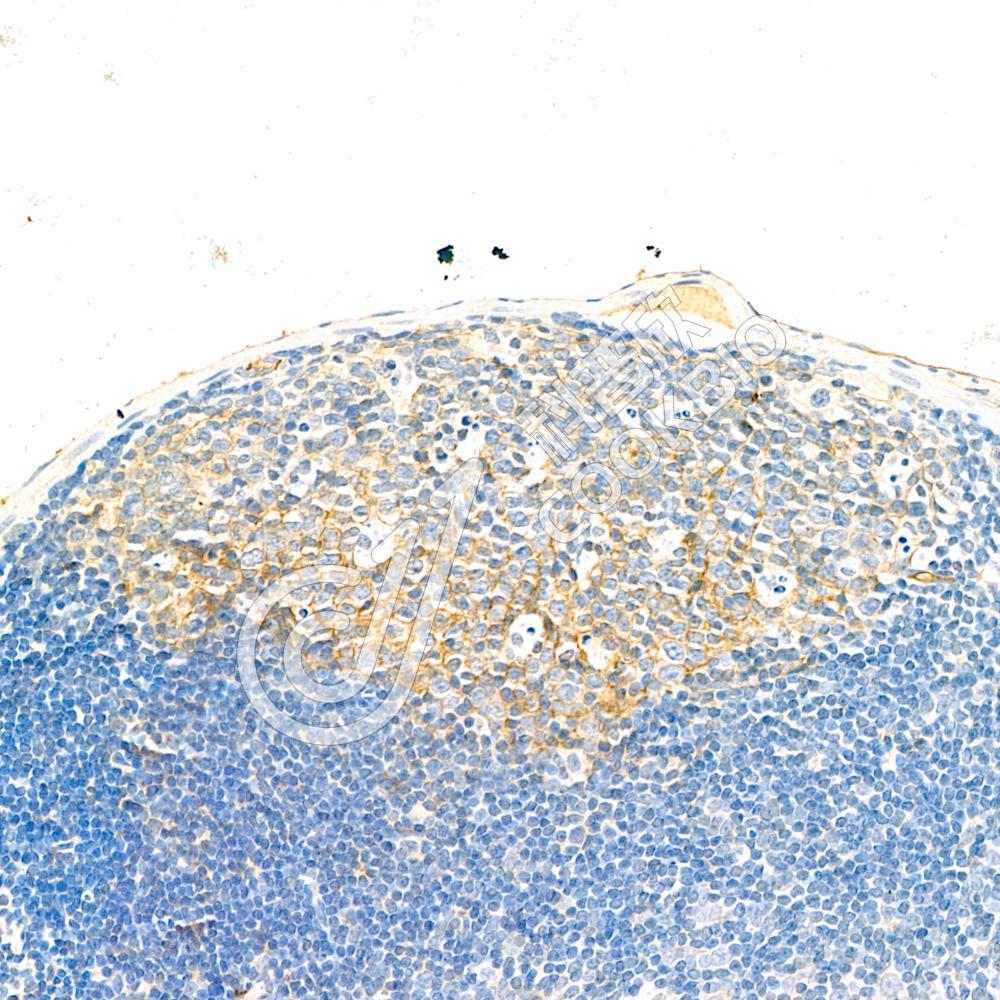
IHC检测Carbonic Anhydrase 13/CA13蛋白(货号 K1335433).
样品: 小鼠小肠, 4%多聚甲醛 (货号KSG1101) 固定12-24小时.
抗原修复: 柠檬酸抗原修复液(干粉, pH 6.0) (KSG1201), 98℃, 20分钟.
—抗: 1: 600稀释, 4℃ 孵育过夜.
二抗: S-vision免疫组化多聚二抗(山羊抗兔),即用型 (货号KB3906), 室温孵育20分钟.
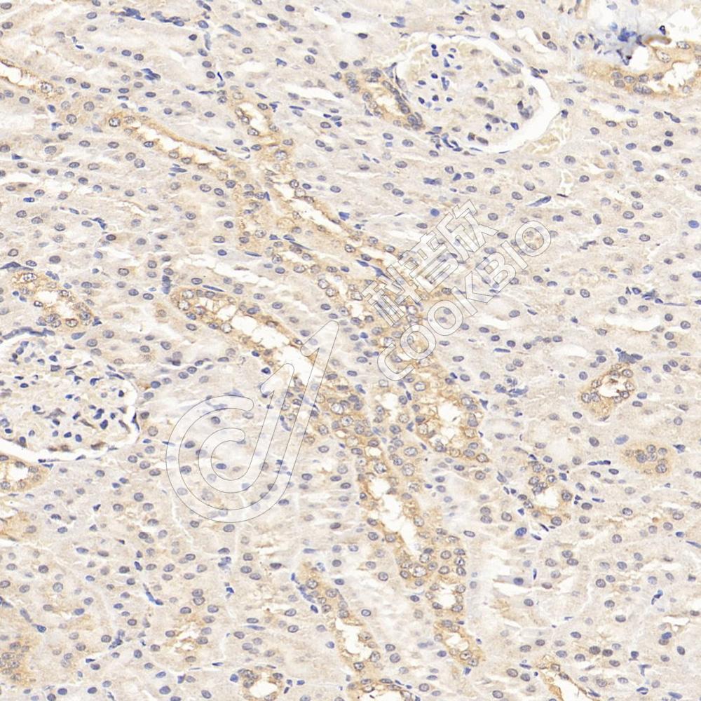
IHC检测Carbonic Anhydrase 13/CA13蛋白(货号 K1335433).
样品: 大鼠肾, 4%多聚甲醛 (货号KSG1101) 固定12-24小时.
抗原修复: 柠檬酸抗原修复液(干粉, pH 6.0) (KSG1201), 98℃, 20分钟.
—抗: 1: 600稀释, 4℃ 孵育过夜.
二抗: S-vision免疫组化多聚二抗(山羊抗兔),即用型 (货号KB3906), 室温孵育20分钟.

需要技术支持?

如果您有任何问题或如果您在实验过程中遇到问题,或需要更详细的技术指导,请联系我们的技术支持团队
电话 400-6027-270

联系我们

如果您对我们的公司或产品有任何疑问,欢迎随时联系我们