tel 400-6027-270
Main Image
Anti-PARK7/DJ1 兔多克隆抗体
¥1900
加入对比
货号: K134917-100
预测分子量: 20 kDa
观测分子量: 24 kDa
亚细胞定位: 细胞膜, 线粒体, 细胞核
别名: PARK7,DJ-1,DJ1,HEL-S-67p,Parkinsonism associated deglycase,GATD2
应用 | 种属
WB H,M,R
IHC/IF R
规格:
产品信息
蛋白质全称 帕金森病相关蛋白 DJ-1
别名 PARK7,DJ-1,DJ1,HEL-S-67p,Parkinsonism associated deglycase,GATD2
Uniprot ID Q99LX0
免疫原 小鼠PARK7重组蛋白
抗体亚型 IgG
纯化方式 亲和纯化
亚细胞定位 细胞膜, 线粒体, 细胞核
预测分子量./观测分子量. 20 kDa / 24 kDa
应用
WB 免疫印迹
物种:人,小鼠,大鼠
稀释比:1:500-1:1000
阳性样品:—
IHC/IF 免疫组织化学/免疫荧光
物种:大鼠
稀释比:1:500-1:3000
阳性样品:胰腺
背景
Protein deglycase DJ-1, also known as Parkinson disease protein 7, is a protein which in humans is encoded by the PARK7 gene. Under an oxidative condition, protein deglycase DJ-1 inhibits the aggregation of α-synuclein via its chaperone activity, thus functions as a redox-sensitive chaperone and as a sensor for oxidative stress. Accordingly, DJ-1 apparently protects neurons against oxidative stress and cell death. In parallel, Protein DJ-1 acts as a positive regulator of androgen receptor-dependent transcription.
储存条件
储存条件:储存条件在:-20℃下储存一年, 避免反复冻融.
储存缓冲液:含0.15% ProClin300防腐剂, 100 μg/mL牛血清白蛋白和50%甘油的磷酸盐缓冲液.
图像
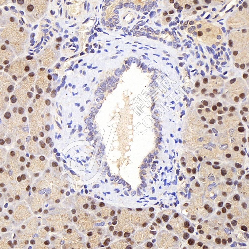
IHC检测PARK7/DJ1蛋白(货号 K134917).
样品: 大鼠胰腺, 4%多聚甲醛 (货号KSG1101) 固定12-24小时.
抗原修复: Tris-EDTA抗原修复液(pH 9.0) (KSG1203), 98℃, 20分钟.
—抗: 1: 1800稀释, 4℃ 孵育过夜.
二抗: S-vision免疫组化多聚二抗(山羊抗兔),即用型 (货号KB3906), 室温孵育20分钟.
IHC检测PARK7/DJ1蛋白(货号 K134917).
样品: 大鼠胰腺, 4%多聚甲醛 (货号KSG1101) 固定12-24小时.
抗原修复: Tris-EDTA抗原修复液(pH 9.0) (KSG1203), 98℃, 20分钟.
—抗: 1: 1800稀释, 4℃ 孵育过夜.
二抗: S-vision免疫组化多聚二抗(山羊抗兔),即用型 (货号KB3906), 室温孵育20分钟.

需要技术支持?

如果您有任何问题或如果您在实验过程中遇到问题,或需要更详细的技术指导,请联系我们的技术支持团队
电话 400-6027-270

联系我们

如果您对我们的公司或产品有任何疑问,欢迎随时联系我们