tel 400-6027-270
Main Image
Recombinant Anti-DRP1 antibody (兔单克隆抗体)
¥1900
加入对比
货号: K5466977-100
预测分子量: 82 kDa
观测分子量: 78-82 kDa
亚细胞定位: 细胞质, 高尔基体, 线粒体外膜, 过氧化物酶体, 膜
别名: DLP1,DNM1L,DRP1,DRP1 (C-terminal),DVLP,dynamin 1 like,Dynamin 1 like protein,Dynamin like protein,Dynamin like protein 4,Dynamin related protein 1
应用 | 种属
WB H,M,R
IHC/IF H,M,R
规格:
产品信息
蛋白质全称 发动蛋白1样蛋白
别名 DLP1,DNM1L,DRP1,DRP1 (C-terminal),DVLP,dynamin 1 like,Dynamin 1 like protein,Dynamin like protein,Dynamin like protein 4,Dynamin related protein 1
Uniprot ID O00429
免疫原 KLH偶联的人DRP1合成肽
抗体亚型 IgG
克隆号 SB570
纯化方式 亲和纯化
亚细胞定位 细胞质, 高尔基体, 线粒体外膜, 过氧化物酶体, 膜
预测分子量./观测分子量. 82 kDa / 78-82 kDa
应用
WB 免疫印迹
物种:人,小鼠,大鼠
稀释比:1:2000-1:5000
阳性样品:—
IHC/IF 免疫组织化学/免疫荧光
物种:人,小鼠,大鼠
稀释比:1:1000-1:2000
阳性样品:肾, 肺, 睾丸
背景
Functions in mitochondrial and peroxisomal division. Mediates membrane fission through oligomerization into membrane-associated tubular structures that wrap around the scission site to constrict and sever the mitochondrial membrane through a GTP hydrolysis-dependent mechanism. The specific recruitment at scission sites is mediated by membrane receptors like MFF, MIEF1 and MIEF2 for mitochondrial membranes.
储存条件
储存条件:储存条件在:-20℃下储存一年, 避免反复冻融.
储存缓冲液:含0.15% ProClin300防腐剂, 100 μg/mL牛血清白蛋白和50%甘油的磷酸盐缓冲液.
图像
IHC检测DRP1蛋白(货号 K5466977).
样品: 人肾, 4%多聚甲醛 (货号KSG1101) 固定12-24小时.
抗原修复: Tris-EDTA抗原修复液(pH 9.0) (货号KSG1203), 水浴100℃, 25分钟.
—抗: 1: 1500稀释, 4℃ 孵育过夜.
二抗: S-vision免疫组化多聚二抗(山羊抗兔),即用型 (货号KB3906), 室温孵育20分钟.
IHC检测DRP1蛋白(货号 K5466977).
样品: 小鼠睾丸, 4%多聚甲醛 (货号KSG1101) 固定12-24小时.
抗原修复: Tris-EDTA抗原修复液(pH 9.0) (货号KSG1203), 水浴100℃, 25分钟.
—抗: 1: 1500稀释, 4℃ 孵育过夜.
二抗: S-vision免疫组化多聚二抗(山羊抗兔),即用型 (货号KB3906), 室温孵育20分钟.
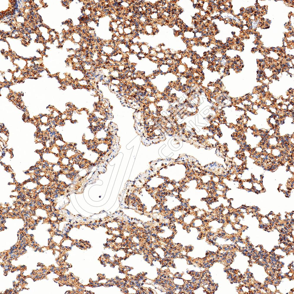
IHC检测DRP1蛋白(货号 K5466977).
样品: 大鼠肺, 4%多聚甲醛 (货号KSG1101) 固定12-24小时.
抗原修复: Tris-EDTA抗原修复液(pH 9.0) (货号KSG1203), 水浴100℃, 25分钟.
—抗: 1: 1500稀释, 4℃ 孵育过夜.
二抗: S-vision免疫组化多聚二抗(山羊抗兔),即用型 (货号KB3906), 室温孵育20分钟.

需要技术支持?

如果您有任何问题或如果您在实验过程中遇到问题,或需要更详细的技术指导,请联系我们的技术支持团队
电话 400-6027-270

联系我们

如果您对我们的公司或产品有任何疑问,欢迎随时联系我们