tel 400-6027-270
Main Image
Anti-p70 S6 Kinase 兔多克隆抗体
¥1900
加入对比
货号: K1333543-100
亚细胞定位: 细胞质, 细胞核
别名: S6K-beta-1,p70 alpha,p70 ribosomal S6 kinase alpha,p70 S6 kinase alpha,p70 S6K 1,p70 S6K alpha,p70 S6KA,p70(S6K),p70(S6K) alpha,p70S6K,P70S6K1,PS6K,Ribosomal protein S6 kinase I,RPS6KB1,S6K,S6K1,STK14A
应用 | 种属
IHC/IF H
规格:
产品信息
蛋白质全称 核糖体蛋白S6激酶β-1
别名 S6K-beta-1,p70 alpha,p70 ribosomal S6 kinase alpha,p70 S6 kinase alpha,p70 S6K 1,p70 S6K alpha,p70 S6KA,p70(S6K),p70(S6K) alpha,p70S6K,P70S6K1,PS6K,Ribosomal protein S6 kinase I,RPS6KB1,S6K,S6K1,STK14A
Uniprot ID P23443
免疫原 人p70 S6 Kinase重组蛋白
抗体亚型 IgG
纯化方式 亲和纯化
亚细胞定位 细胞质, 细胞核
应用
IHC/IF 免疫组织化学/免疫荧光
物种:人
稀释比:1:600-1:2000
阳性样品:肝, 肝癌
背景
RPS6KB1(Ribosomal protein S6 kinase beta-1) is also named as STK14A, p70 S6KA and belongs to the S6 kinase subfamily. RPS6KB1 is a major substrate of MTOR and acts as a crucial effector of MTOR signaling pathway. It plays a key role in cell growth and proliferation by regulating INS sensitivity, metabolism, protein synthesis, and cell cycle. RPS6KB1 may play an important role in the progression of HCC and could serve as a potential molecular target for HCC therapy . RPS6KB1 is a 70 kDa protein and has 5 isoforms with the calculated molecular mass of 51-59 kDa produced by alternative initiation.
储存条件
储存条件:储存条件在:-20℃下储存一年, 避免反复冻融.
储存缓冲液:含0.15% ProClin300防腐剂, 100 μg/mL牛血清白蛋白和50%甘油的磷酸盐缓冲液.
图像
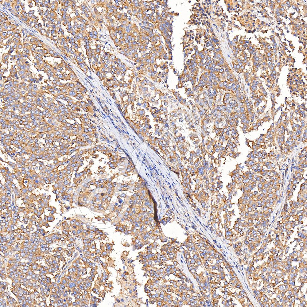
IHC检测p70 S6 Kinase蛋白(货号 K1333543).
样品: 人肝癌, 4%多聚甲醛 (货号KSG1101) 固定12-24小时.
抗原修复: 柠檬酸抗原修复液(干粉, pH 6.0) (KSG1201), 98℃, 20分钟.
—抗: 1: 1300稀释, 4℃ 孵育过夜.
二抗: S-vision免疫组化多聚二抗(山羊抗兔),即用型 (货号KB3906), 室温孵育20分钟.
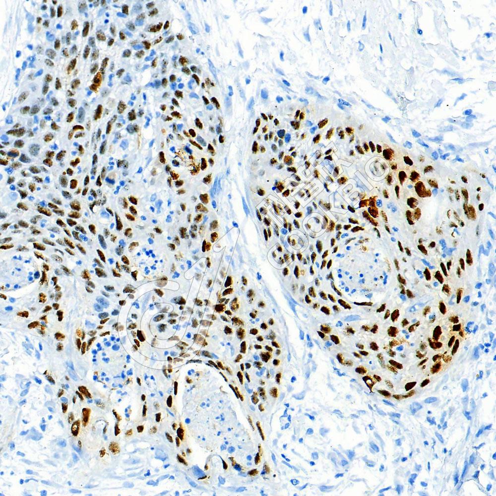
IHC检测p70 S6 Kinase蛋白(货号 K1333543).
样品: 人肝, 4%多聚甲醛 (货号KSG1101) 固定12-24小时.
抗原修复: 柠檬酸抗原修复液(干粉, pH 6.0) (KSG1201), 98℃, 20分钟.
—抗: 1: 1300稀释, 4℃ 孵育过夜.
二抗: S-vision免疫组化多聚二抗(山羊抗兔),即用型 (货号KB3906), 室温孵育20分钟.

需要技术支持?

如果您有任何问题或如果您在实验过程中遇到问题,或需要更详细的技术指导,请联系我们的技术支持团队
电话 400-6027-270

联系我们

如果您对我们的公司或产品有任何疑问,欢迎随时联系我们