tel 400-6027-270
Main Image
Recombinant Anti-smooth muscle Myosin heavy chain 11 antibody (兔单克隆抗体)
¥1900
加入对比
货号: K545033-100
预测分子量: 227 kDa
观测分子量: 250 kDa
亚细胞定位: 细胞质
别名: Myosin heavy chain 11,Myosin heavy chain,smooth muscle isoform,SMMHC,Myh11
应用 | 种属
WB M,R
IHC/IF H,M,R
规格:
产品信息
蛋白质全称 肌球蛋白11
别名 Myosin heavy chain 11,Myosin heavy chain,smooth muscle isoform,SMMHC,Myh11
Uniprot ID O08638
免疫原 小鼠MYH11重组蛋白
抗体亚型 IgG, κ
克隆号 SB50
纯化方式 亲和纯化
亚细胞定位 细胞质
预测分子量./观测分子量. 227 kDa / 250 kDa
应用
WB 免疫印迹
物种:小鼠,大鼠
稀释比:1:500-1:1000
阳性样品:—
IHC/IF 免疫组织化学/免疫荧光
物种:人,小鼠,大鼠
稀释比:1:500-1:2000
阳性样品:结肠
背景
The protein encoded by this gene is a smooth muscle myosin belonging to the myosin heavy chain family. The gene product is a subunit of a hexameric protein that consists of two heavy chain subunits and two pairs of non-identical light chain subunits. It functions as a major contractile protein, converting chemical energy into mechanical energy through the hydrolysis of ATP.
储存条件
储存条件:储存条件在:-20℃下储存一年, 避免反复冻融.
储存缓冲液:含0.15% ProClin300防腐剂, 100 μg/mL牛血清白蛋白和50%甘油的磷酸盐缓冲液.
图像
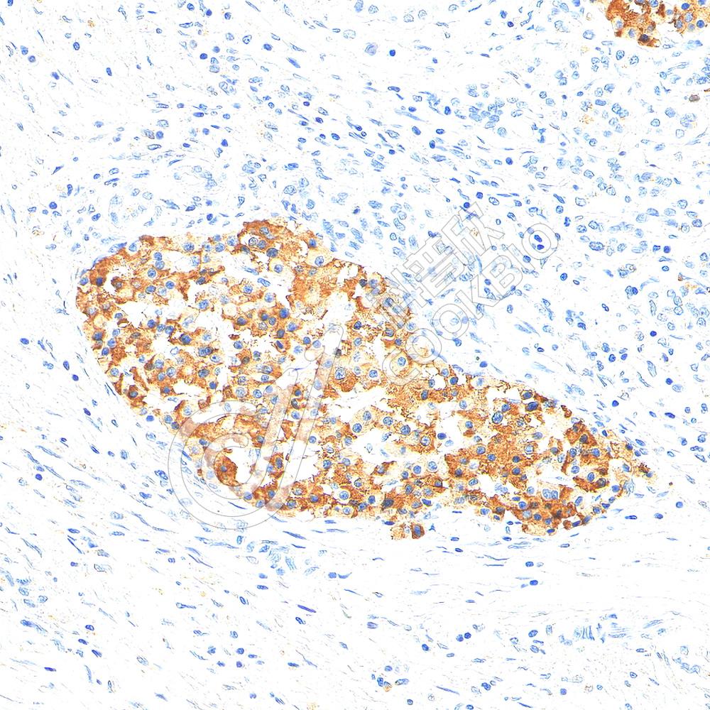
IHC检测smooth muscle Myosin heavy chain 11蛋白(货号 K545033).
样品: 人结肠, 4%多聚甲醛 (货号KSG1101) 固定12-24小时.
抗原修复: 柠檬酸抗原修复液(干粉, pH 6.0) (KSG1201), 高压锅均匀喷气计时2分钟.
—抗: 1: 1300稀释, 4℃ 孵育过夜.
二抗: S-vision免疫组化多聚二抗(山羊抗兔),即用型 (货号KB3906), 室温孵育20分钟.
IF检测smooth muscle Myosin heavy chain 11蛋白(货号 K545033)(红色).
样品: 小鼠结肠, 4%多聚甲醛 (货号KSG1101) 固定12-24小时.
抗原修复: 柠檬酸抗原修复液(干粉, pH 6.0) (KSG1201), 高压锅均匀喷气计时2分钟.
封闭: 3% BSA(货号KSGC305010)的PBS溶液, 室温孵育30分钟.
—抗: 1: 1300稀释, 4℃ 孵育过夜.
二抗: Cy3标记山羊抗兔IgG (H+L) (货号KB63909), 1: 300稀释, 室温孵育1小时.
IF检测smooth muscle Myosin heavy chain 11蛋白(货号 K545033)(红色).
样品: 大鼠结肠, 4%多聚甲醛 (货号KSG1101) 固定12-24小时.
抗原修复: 柠檬酸抗原修复液(干粉, pH 6.0) (KSG1201), 高压锅均匀喷气计时2分钟.
封闭: 3% BSA(货号KSGC305010)的PBS溶液, 室温孵育30分钟.
—抗: 1: 1300稀释, 4℃ 孵育过夜.
二抗: Cy3标记山羊抗兔IgG (H+L) (货号KB63909), 1: 300稀释, 室温孵育1小时.

需要技术支持?

如果您有任何问题或如果您在实验过程中遇到问题,或需要更详细的技术指导,请联系我们的技术支持团队
电话 400-6027-270

联系我们

如果您对我们的公司或产品有任何疑问,欢迎随时联系我们