tel 400-6027-270
Main Image
Anti-UGT1A1 兔多克隆抗体
¥1900
加入对比
货号: K1344514-100
亚细胞定位: 内质网膜
别名: GNT1,HUG BR1,UDPGT,UDPGT 1 1,UGT 1A,UGT1,UGT1 01,UGT1*1,UGT1.1,UGT1A,UGT1A1
应用 | 种属
IHC/IF H
规格:
产品信息
蛋白质全称 UDP-葡糖醛酸转移酶1A1
别名 GNT1,HUG BR1,UDPGT,UDPGT 1 1,UGT 1A,UGT1,UGT1 01,UGT1*1,UGT1.1,UGT1A,UGT1A1
Uniprot ID Q63886
免疫原 KLH偶联的小鼠UGT1A1合成肽
抗体亚型 IgG
纯化方式 亲和纯化
亚细胞定位 内质网膜
应用
IHC/IF 免疫组织化学/免疫荧光
物种:人
稀释比:1:300-1:900
阳性样品:结肠癌, 肝
背景
UDP-glucuronosyltransferase (UGT) that catalyzes phase II biotransformation reactions in which lipophilic substrates are conjugated with glucuronic acid to increase the metabolite's water solubility, thereby facilitating excretion into either the urine or bile. Essential for the elimination and detoxification of drugs, xenobiotics and endogenous compounds. Catalyzes the glucuronidation of endogenous estrogen hormones such as estradiol, estrone and estriol. Involved in the glucuronidation of bilirubin, a degradation product occurring in the normal catabolic pathway that breaks down heme in vertebrates. Involved in the glucuronidation of arachidonic acid (AA) and AA-derived eicosanoids including 15-HETE, 20-HETE, PGB1 and F2-isoprostane (8-iso-PGF2alpha).
储存条件
储存条件:储存条件在:-20℃下储存一年, 避免反复冻融.
储存缓冲液:含0.15% ProClin300防腐剂, 100 μg/mL牛血清白蛋白和50%甘油的磷酸盐缓冲液.
图像
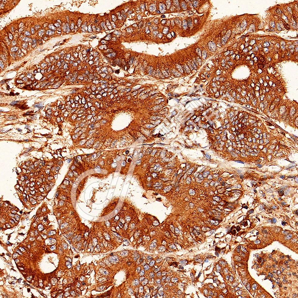
IHC检测UGT1A1蛋白(货号 K1344514).
样品: 人结肠癌, 4%多聚甲醛 (货号KSG1101) 固定12-24小时.
抗原修复: 柠檬酸抗原修复液(干粉, pH 6.0) (KSG1201), 98℃, 20分钟.
—抗: 1: 600稀释, 4℃ 孵育过夜.
二抗: S-vision免疫组化多聚二抗(山羊抗兔),即用型 (货号KB3906), 室温孵育20分钟.
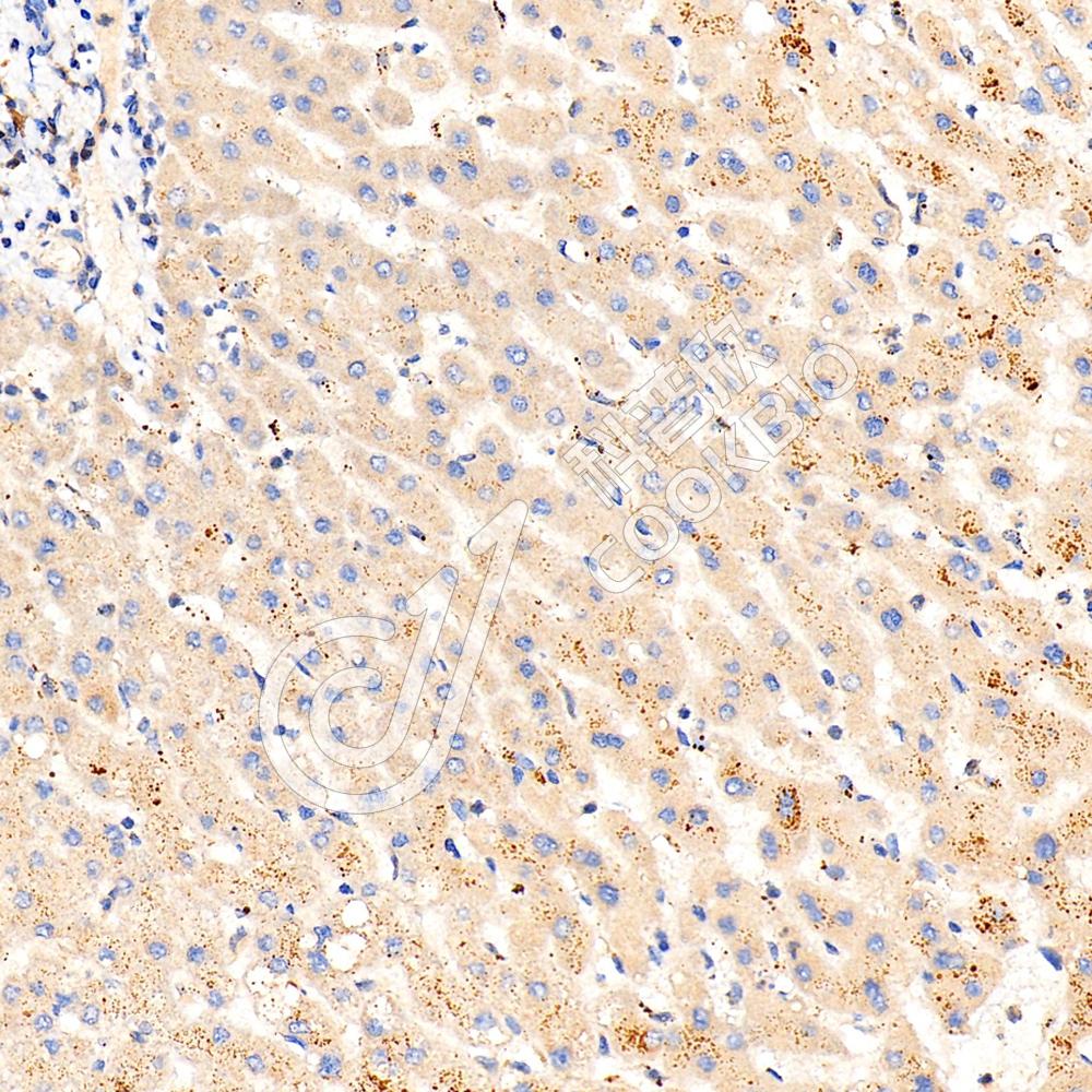
IHC检测UGT1A1蛋白(货号 K1344514).
样品: 人肝, 4%多聚甲醛 (货号KSG1101) 固定12-24小时.
抗原修复: 柠檬酸抗原修复液(干粉, pH 6.0) (KSG1201), 98℃, 20分钟.
—抗: 1: 600稀释, 4℃ 孵育过夜.
二抗: S-vision免疫组化多聚二抗(山羊抗兔),即用型 (货号KB3906), 室温孵育20分钟.

需要技术支持?

如果您有任何问题或如果您在实验过程中遇到问题,或需要更详细的技术指导,请联系我们的技术支持团队
电话 400-6027-270

联系我们

如果您对我们的公司或产品有任何疑问,欢迎随时联系我们