tel 400-6027-270
Main Image
Anti-Myoglobin 兔多克隆抗体
¥1900
加入对比
货号: K1346383-100
亚细胞定位: 细胞质
别名: Mb,MB,PVALB,myoglobin,Myoglobin,MYO,MGC13548
应用 | 种属
IHC/IF M,R
规格:
产品信息
蛋白质全称 肌红蛋白
别名 Mb,MB,PVALB,myoglobin,Myoglobin,MYO,MGC13548
Uniprot ID P04247
免疫原 KLH偶联的小鼠Myoglobin合成肽
抗体亚型 IgG
纯化方式 亲和纯化
亚细胞定位 细胞质
应用
IHC/IF 免疫组织化学/免疫荧光
物种:小鼠,大鼠
稀释比:1:200-1:600
阳性样品:心, 骨骼肌
背景
Myoglobin is a small heme containing protein responsible for the oxygen deposition in muscle tissues. Only one form of myoglobin is expressed in cardiac and skeletal muscles. Myoglobin is known as a marker of myocardial damage and it has been used for more than three decades. Nowadays it still is very commonly used in clinical practice as an early marker of AMI. It appears in patient's blood 1 to 3 hours after onset of the symptoms, reaching peak level within 8 to 12 hours.
储存条件
储存条件:储存条件在:-20℃下储存一年, 避免反复冻融.
储存缓冲液:含0.15% ProClin300防腐剂, 100 μg/mL牛血清白蛋白和50%甘油的磷酸盐缓冲液.
图像
IHC检测Myoglobin蛋白(货号 K1346383).
样品: 小鼠骨骼肌, 4%多聚甲醛 (货号KSG1101) 固定12-24小时.
抗原修复: Tris-EDTA抗原修复液(pH 9.0) (KSG1203), 98℃, 20分钟.
—抗: 1: 400稀释, 4℃ 孵育过夜.
二抗: S-vision免疫组化多聚二抗(山羊抗兔),即用型 (货号KB3906), 室温孵育20分钟.
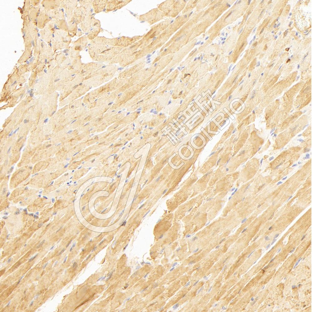
IHC检测Myoglobin蛋白(货号 K1346383).
样品: 大鼠心, 4%多聚甲醛 (货号KSG1101) 固定12-24小时.
抗原修复: Tris-EDTA抗原修复液(pH 9.0) (KSG1203), 98℃, 20分钟.
—抗: 1: 400稀释, 4℃ 孵育过夜.
二抗: S-vision免疫组化多聚二抗(山羊抗兔),即用型 (货号KB3906), 室温孵育20分钟.

需要技术支持?

如果您有任何问题或如果您在实验过程中遇到问题,或需要更详细的技术指导,请联系我们的技术支持团队
电话 400-6027-270

联系我们

如果您对我们的公司或产品有任何疑问,欢迎随时联系我们