tel 400-6027-270
Main Image
Anti-DAK 兔多克隆抗体
¥1900
加入对比
货号: K1339417-100
预测分子量: 60 kDa
观测分子量: 60 kDa
亚细胞定位: 细胞质
别名: Bifunctional ATP-dependent dihydroxyacetone kinase/FAD-AMP lyase (cyclizing),FAD-AMP lyase ATP-dependent dihydroxyacetone kinase,Glycerone kinase,Triokinase,FAD-AMP lyase (cyclizing),DHA kinase,DAK,FMN cyclase,NET45,Tkfc
应用 | 种属
WB M,R
IHC/IF M,R
规格:
产品信息
蛋白质全称 三激酶/FMN环化酶
别名 Bifunctional ATP-dependent dihydroxyacetone kinase/FAD-AMP lyase (cyclizing),FAD-AMP lyase ATP-dependent dihydroxyacetone kinase,Glycerone kinase,Triokinase,FAD-AMP lyase (cyclizing),DHA kinase,DAK,FMN cyclase,NET45,Tkfc
Uniprot ID Q8VC30
免疫原 小鼠DAK重组蛋白
抗体亚型 IgG
纯化方式 亲和纯化
亚细胞定位 细胞质
预测分子量./观测分子量. 60 kDa / 60 kDa
应用
WB 免疫印迹
物种:小鼠,大鼠
稀释比:1:500-1:1000
阳性样品:—
IHC/IF 免疫组织化学/免疫荧光
物种:小鼠,大鼠
稀释比:1:2500-1:5000
阳性样品:肾
背景
DAK is a member of the family of dihydroxyacetone kinases, which have a protein structure distinct from other kinases. The product of this gene phosphorylates dihydroxyacetone, and also catalyzes the formation of riboflavin 4',5'-phosphate (aka cyclin FMN) from FAD. Catalyzes both the phosphorylation of dihydroxyacetone and of glyceraldehyde, and the splitting of ribonucleoside diphosphate-X compounds among which FAD is the best substrate. Represses IFIH1-mediated cellular antiviral response.
储存条件
储存条件:储存条件在:-20℃下储存一年, 避免反复冻融.
储存缓冲液:含0.15% ProClin300防腐剂, 100 μg/mL牛血清白蛋白和50%甘油的磷酸盐缓冲液.
图像
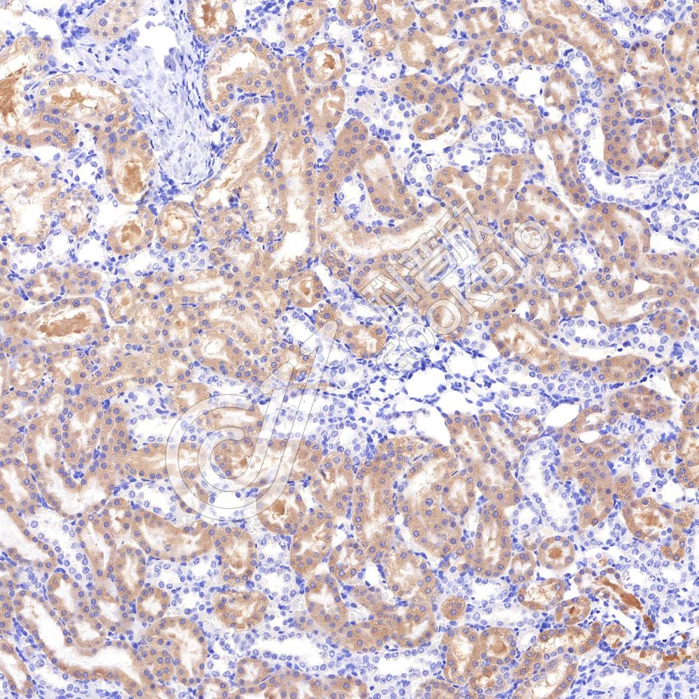
IHC检测DAK蛋白(货号 K1339417).
样品: 小鼠肾, 4%多聚甲醛 (货号KSG1101) 固定12-24小时.
抗原修复: 柠檬酸抗原修复液(干粉, pH 6.0) (KSG1201), 98℃, 20分钟.
—抗: 1: 3800稀释, 4℃ 孵育过夜.
二抗: S-vision免疫组化多聚二抗(山羊抗兔),即用型 (货号KB3906), 室温孵育20分钟.
IHC检测DAK蛋白(货号 K1339417).
样品: 大鼠肾, 4%多聚甲醛 (货号KSG1101) 固定12-24小时.
抗原修复: 柠檬酸抗原修复液(干粉, pH 6.0) (KSG1201), 98℃, 20分钟.
—抗: 1: 3800稀释, 4℃ 孵育过夜.
二抗: S-vision免疫组化多聚二抗(山羊抗兔),即用型 (货号KB3906), 室温孵育20分钟.

需要技术支持?

如果您有任何问题或如果您在实验过程中遇到问题,或需要更详细的技术指导,请联系我们的技术支持团队
电话 400-6027-270

联系我们

如果您对我们的公司或产品有任何疑问,欢迎随时联系我们