tel 400-6027-270
Main Image
Recombinant Anti-CD4 antibody (兔单克隆抗体)
¥1900
加入对比
货号: K5450186-100
预测分子量: 51 kDa
观测分子量: 51 kDa
亚细胞定位: 细胞膜
别名: CD4,CD4mut,CD4 molecule
应用 | 种属
WB H
IHC/IF H
规格:
产品信息
蛋白质全称 T细胞表面糖蛋白CD4
别名 CD4,CD4mut,CD4 molecule
Uniprot ID P01730
免疫原 人CD4重组蛋白
抗体亚型 IgG, κ
克隆号 SB380
纯化方式 亲和纯化
亚细胞定位 细胞膜
预测分子量./观测分子量. 51 kDa / 51 kDa
应用
WB 免疫印迹
物种:人
稀释比:1:500-1:2000
阳性样品:—
IHC/IF 免疫组织化学/免疫荧光
物种:人
稀释比:1:2000-1:5000
阳性样品:结肠癌, 扁桃体
背景
This gene encodes a membrane glycoprotein of T lymphocytes that interacts with major histocompatibility complex class II antigenes and is also a receptor for the human immunodeficiency virus. This gene is expressed not only in T lymphocytes, but also in B cells, macrophages, and granulocytes. It is also expressed in specific regions of the brain. The protein functions to initiate or augment the early phase of T-cell activation, and may function as an important mediator of indirect neuronal damage in infectious and immune-mediated diseases of the central nervous system. Multiple alternatively spliced transcript variants encoding different isoforms have been identified in this gene.
储存条件
储存条件:储存条件在:-20℃下储存一年, 避免反复冻融.
储存缓冲液:含0.15% ProClin300防腐剂, 100 μg/mL牛血清白蛋白和50%甘油的磷酸盐缓冲液.
图像
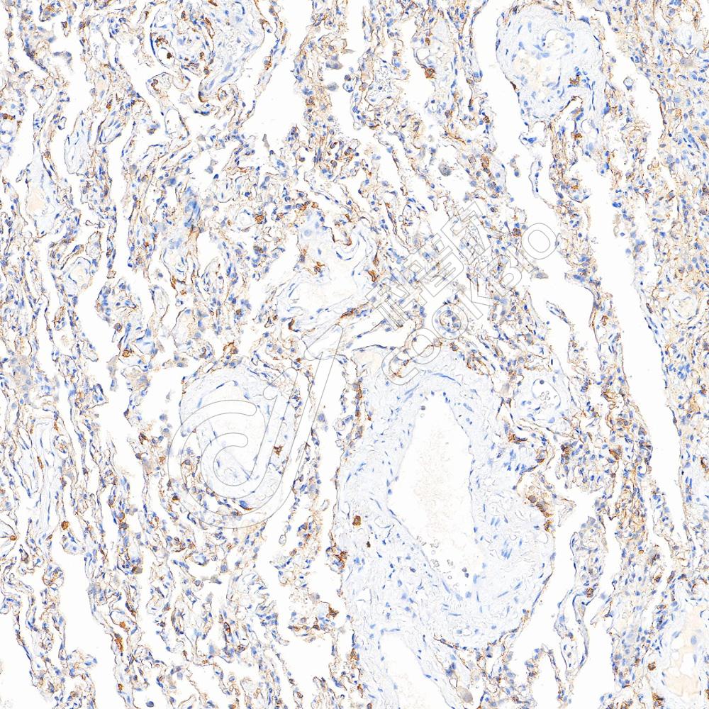
IHC检测CD4蛋白(货号 K5450186).
样品: 人结肠癌, 4%多聚甲醛 (货号KSG1101) 固定12-24小时.
抗原修复: 柠檬酸抗原修复液(干粉, pH 6.0) (KSG1201), 高压锅均匀喷气计时2分钟.
—抗: 1: 3500稀释, 4℃ 孵育过夜.
二抗: S-vision免疫组化多聚二抗(山羊抗兔),即用型 (货号KB3906), 室温孵育20分钟.
IHC检测CD4蛋白(货号 K5450186).
样品: 人扁桃体, 4%多聚甲醛 (货号KSG1101) 固定12-24小时.
抗原修复: 柠檬酸抗原修复液(干粉, pH 6.0) (KSG1201), 高压锅均匀喷气计时2分钟.
—抗: 1: 3500稀释, 4℃ 孵育过夜.
二抗: S-vision免疫组化多聚二抗(山羊抗兔),即用型 (货号KB3906), 室温孵育20分钟.

需要技术支持?

如果您有任何问题或如果您在实验过程中遇到问题,或需要更详细的技术指导,请联系我们的技术支持团队
电话 400-6027-270

联系我们

如果您对我们的公司或产品有任何疑问,欢迎随时联系我们