tel 400-6027-270
Main Image
Recombinant Anti-MHC Class II antibody (兔单克隆抗体)
¥1900
加入对比
货号: K5450279-100
预测分子量: 29 kDa
观测分子量: 29 kDa
亚细胞定位: 细胞膜, 内质网膜, 高尔基体, 高尔基体反面膜网络, 内体膜, 溶酶体膜
别名: HLA-DP1B,HLA-DPB1,MHC class II antigen DPB1,HLA class II histocompatibility antigen,DP(W4) beta chain
应用 | 种属
WB H
IHC/IF H
规格:
产品信息
蛋白质全称 人类白细胞抗原II类组织相容性抗原DPβ1链
别名 HLA-DP1B,HLA-DPB1,MHC class II antigen DPB1,HLA class II histocompatibility antigen,DP(W4) beta chain
Uniprot ID P04440
免疫原 KLH偶联的人MHC Class II合成肽
抗体亚型 IgG
克隆号 SB458
纯化方式 亲和纯化
亚细胞定位 细胞膜, 内质网膜, 高尔基体, 高尔基体反面膜网络, 内体膜, 溶酶体膜
预测分子量./观测分子量. 29 kDa / 29 kDa
应用
WB 免疫印迹
物种:人
稀释比:1:1000-1:2000
阳性样品:—
IHC/IF 免疫组织化学/免疫荧光
物种:人
稀释比:1:500-1:1500
阳性样品:食管癌, 肺癌
背景
Binds peptides derived from antigens that access the endocytic route of antigen presenting cells (APC) and presents them on the cell surface for recognition by the CD4 T-cells. The peptide binding cleft accommodates peptides of 10-30 residues. The peptides presented by MHC class II molecules are generated mostly by degradation of proteins that access the endocytic route, where they are processed by lysosomal proteases and other hydrolases. Exogenous antigens that have been endocytosed by the APC are thus readily available for presentation via MHC II molecules, and for this reason this antigen presentation pathway is usually referred to as exogenous. As membrane proteins on their way to degradation in lysosomes as part of their normal turn-over are also contained in the endosomal/lysosomal compartments, exogenous antigens must compete with those derived from endogenous components.
储存条件
储存条件:储存条件在:-20℃下储存一年, 避免反复冻融.
储存缓冲液:含0.15% ProClin300防腐剂, 100 μg/mL牛血清白蛋白和50%甘油的磷酸盐缓冲液.
图像
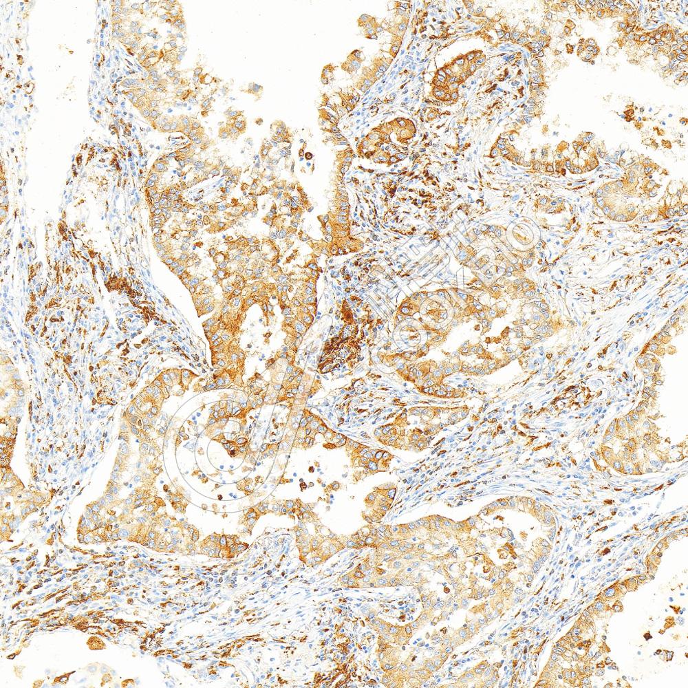
IHC检测MHC Class II蛋白(货号 K5450279).
样品: 人食管癌, 4%多聚甲醛 (货号KSG1101) 固定12-24小时.
抗原修复: Tris-EDTA抗原修复液(pH 9.0) (KSG1203), 100℃, 25分钟.
—抗: 1: 1000稀释, 4℃ 孵育过夜.
二抗: S-vision免疫组化多聚二抗(山羊抗兔),即用型 (货号KB3906), 室温孵育20分钟.
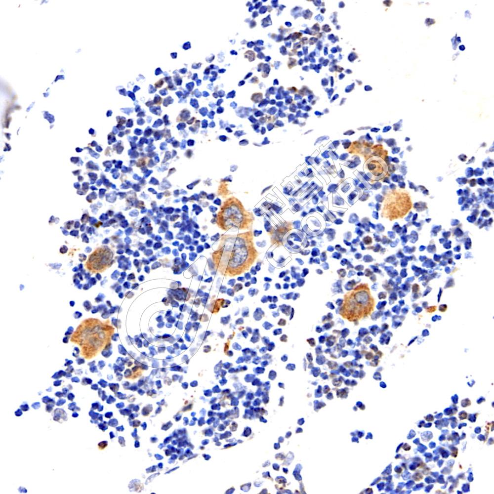
IHC检测MHC Class II蛋白(货号 K5450279).
样品: 人肺癌, 4%多聚甲醛 (货号KSG1101) 固定12-24小时.
抗原修复: Tris-EDTA抗原修复液(pH 9.0) (KSG1203), 100℃, 25分钟.
—抗: 1: 1000稀释, 4℃ 孵育过夜.
二抗: S-vision免疫组化多聚二抗(山羊抗兔),即用型 (货号KB3906), 室温孵育20分钟.

需要技术支持?

如果您有任何问题或如果您在实验过程中遇到问题,或需要更详细的技术指导,请联系我们的技术支持团队
电话 400-6027-270

联系我们

如果您对我们的公司或产品有任何疑问,欢迎随时联系我们