tel 400-6027-270
Main Image
Recombinant Anti-CD74 antibody (小鼠单克隆抗体)
¥1900
加入对比
货号: K5453537-100
预测分子量: 34 kDa
观测分子量: 30-45 kDa
亚细胞定位: 细胞膜, 内体, 溶酶体, 高尔基体, 内质网
别名: CD74,DHLAG,HLADG,Ia GAMMA,Ii,p33,CLIP,HLA-DR antigens-associated invariant chain,Ia antigen-associated invariant chain,MHC class II-associated invariant chain
应用 | 种属
WB H
IHC/IF H
规格:
产品信息
蛋白质全称 HLA II类组织相容性抗原γ链
别名 CD74,DHLAG,HLADG,Ia GAMMA,Ii,p33,CLIP,HLA-DR antigens-associated invariant chain,Ia antigen-associated invariant chain,MHC class II-associated invariant chain
Uniprot ID P04233
免疫原 人CD74重组蛋白
抗体亚型 IgG1, κ
克隆号 SB146
纯化方式 亲和纯化
亚细胞定位 细胞膜, 内体, 溶酶体, 高尔基体, 内质网
预测分子量./观测分子量. 34 kDa / 30-45 kDa
应用
WB 免疫印迹
物种:人
稀释比:1:500-1:1000
阳性样品:Raji细胞
IHC/IF 免疫组织化学/免疫荧光
物种:人
稀释比:1:500-1:2000
阳性样品:结肠, 扁桃体
背景
CD74, also known as the MHC class II associated invariant chain (Ii), is a type II transmembrane protein which binds to the peptide binding groove of newly synthesized MHC class II alpha/beta heterodimers and prevents their premature association with endogenous polypeptides. CD74 is produced in molar excess over MHC class II and some of this is expressed by an unknown pathway on the cell surface independent of or in association with MHC class II molecules.
储存条件
储存条件:储存条件在:-20℃下储存一年, 避免反复冻融.
储存缓冲液:含0.15% ProClin300防腐剂, 100 μg/mL牛血清白蛋白和50%甘油的磷酸盐缓冲液.
图像
WB检测CD74蛋白(货号 K5453537).
样品: 经RIPA裂解液(货号KSG2002)处理的蛋白质.
封闭: 3%脱脂牛奶(货号KSGC310001)溶于TBST溶液, 室温孵育1小时.
—抗: 1: 500稀释, 4℃ 孵育过夜.
二抗: HRP标记山羊抗小鼠IgG (H+L) (货号KB69903), 1: 5000稀释, 室温孵育1小时.
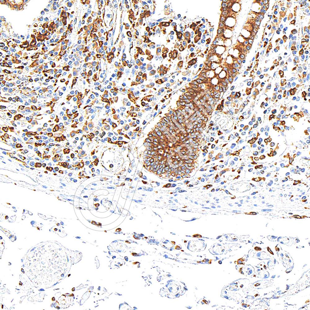
IHC检测CD74蛋白(货号 K5453537).
样品: 人结肠, 4%多聚甲醛 (货号KSG1101) 固定12-24小时.
抗原修复: 柠檬酸抗原修复液(干粉, pH 6.0) (KSG1201), 高压锅均匀喷气计时2分钟.
—抗: 1: 1300稀释, 4℃ 孵育过夜.
二抗: S-vision免疫组化多聚二抗(山羊抗小鼠), 即用型(货号KB3903), 室温孵育20分钟.
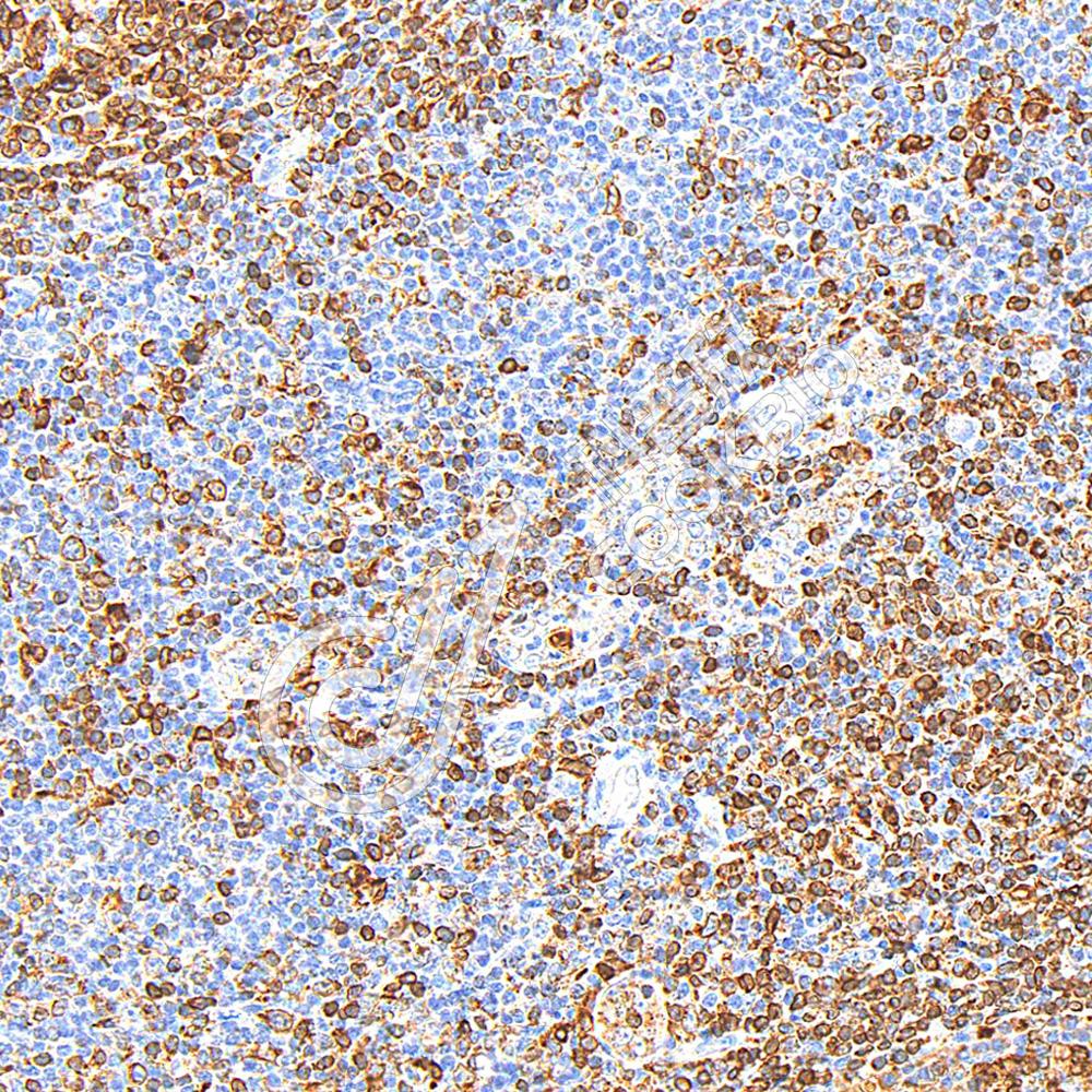
IHC检测CD74蛋白(货号 K5453537).
样品: 人扁桃体, 4%多聚甲醛 (货号KSG1101) 固定12-24小时.
抗原修复: 柠檬酸抗原修复液(干粉, pH 6.0) (KSG1201), 高压锅均匀喷气计时2分钟.
—抗: 1: 1300稀释, 4℃ 孵育过夜.
二抗: S-vision免疫组化多聚二抗(山羊抗小鼠), 即用型(货号KB3903), 室温孵育20分钟.

需要技术支持?

如果您有任何问题或如果您在实验过程中遇到问题,或需要更详细的技术指导,请联系我们的技术支持团队
电话 400-6027-270

联系我们

如果您对我们的公司或产品有任何疑问,欢迎随时联系我们