tel 400-6027-270
Main Image
Anti-c-Kit 小鼠单克隆抗体
¥1900
加入对比
货号: K236219-100
亚细胞定位: 细胞膜, 细胞质
别名: C Kit,CD117,c-Kit,KIT,PBT,Proto-oncogene c-Kit,SCFR,Tyrosine protein kinase Kit,Sl,C-Kit,SCFR,KIT proto-oncogene receptor tyrosine kinase
应用 | 种属
IHC/IF H
规格:
产品信息
蛋白质全称 肥大/干细胞生长因子受体Kit
别名 C Kit,CD117,c-Kit,KIT,PBT,Proto-oncogene c-Kit,SCFR,Tyrosine protein kinase Kit,Sl,C-Kit,SCFR,KIT proto-oncogene receptor tyrosine kinase
Uniprot ID P10721
免疫原 人c-Kit重组蛋白
抗体亚型 IgG2b, κ
克隆号 4H12D6-2
纯化方式 亲和纯化
亚细胞定位 细胞膜, 细胞质
应用
IHC/IF 免疫组织化学/免疫荧光
物种:人
稀释比:1:500-1:1500
阳性样品:胃肠道间质瘤, 精原细胞瘤
背景
KIT, also named as SCFR, c-Kit and CD117, is a transmembrane tyrosine kinase encoded by the cKit proto oncogene. It is a type 3 transmembrane receptor for MGF (mast cell growth factor, also known as stem cell factor). KIT acts to regulate a variety of biological responses including cell proliferation, apoptosis, chemotaxis and adhesion. Ligand(SCF) binding to the extracellular domain leads to autophosphorylation on several tyrosine residues within the cytoplasmic domain, and activation. Phosphorylation at tyrosine 721 of KIT allows binding and activation of PI3 kinase.
储存条件
储存条件:储存条件在:-20℃下储存一年, 避免反复冻融.
储存缓冲液:含0.15% ProClin300防腐剂, 100 μg/mL牛血清白蛋白和50%甘油的磷酸盐缓冲液.
图像
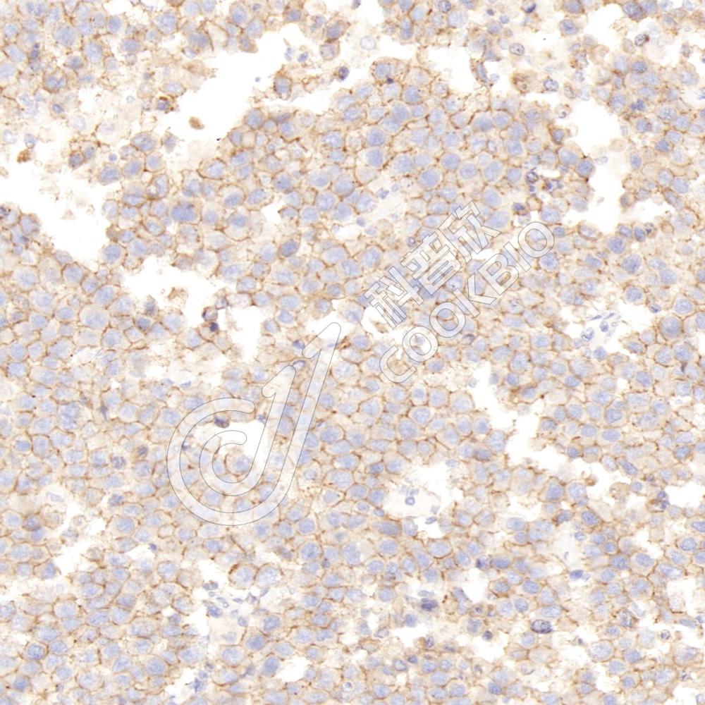
IHC检测c-kit蛋白(货号 K236219).
样品: 人胃肠道间质瘤, 4%多聚甲醛 (货号KSG1101) 固定12-24小时.
抗原修复: 柠檬酸抗原修复液(干粉, pH 6.0) (KSG1201), 高压锅均匀喷气计时2分钟.
—抗: 1: 1000稀释, 4℃ 孵育过夜.
二抗: S-vision免疫组化多聚二抗(山羊抗小鼠), 即用型(货号KB3903), 室温孵育20分钟.
IHC检测c-kit蛋白(货号 K236219).
样品: 人精原细胞瘤, 4%多聚甲醛 (货号KSG1101) 固定12-24小时.
抗原修复: 柠檬酸抗原修复液(干粉, pH 6.0) (KSG1201), 高压锅均匀喷气计时2分钟.
—抗: 1: 1000稀释, 4℃ 孵育过夜.
二抗: S-vision免疫组化多聚二抗(山羊抗小鼠), 即用型(货号KB3903), 室温孵育20分钟.

需要技术支持?

如果您有任何问题或如果您在实验过程中遇到问题,或需要更详细的技术指导,请联系我们的技术支持团队
电话 400-6027-270

联系我们

如果您对我们的公司或产品有任何疑问,欢迎随时联系我们