tel 400-6027-270
Main Image
Recombinant Anti-VEGFA antibody (兔单克隆抗体)
¥1900
加入对比
货号: K545495-100
亚细胞定位: 分泌型
别名: VEGF-A,Vascular permeability factor,VPF,VEGFA,VEGF,glioma-derived endothelial cell mitogen,MVCD1,VEGF165A,vascular endothelial growth factor A
应用 | 种属
IHC/IF H,M,R
规格:
产品信息
蛋白质全称 血管内皮生长因子A
别名 VEGF-A,Vascular permeability factor,VPF,VEGFA,VEGF,glioma-derived endothelial cell mitogen,MVCD1,VEGF165A,vascular endothelial growth factor A
Uniprot ID P15692
免疫原 KLH偶联的人VEGFA合成肽
抗体亚型 IgG, κ
克隆号 SB108
纯化方式 亲和纯化
亚细胞定位 分泌型
应用
IHC/IF 免疫组织化学/免疫荧光
物种:人,小鼠,大鼠
稀释比:1:200-1:400
阳性样品:胃癌, 胎盘
背景
Vascular endothelial growth factor (VEGF), originally known as vascular permeability factor (VPF), is a signal protein produced by cells that stimulates the formation of blood vessels. To be specific, VEGF is a sub-family of growth factors, the platelet-derived growth factor family of cystine-knot growth factors.
储存条件
储存条件:储存条件在:-20℃下储存一年, 避免反复冻融.
储存缓冲液:含0.15% ProClin300防腐剂, 100 μg/mL牛血清白蛋白和50%甘油的磷酸盐缓冲液.
图像
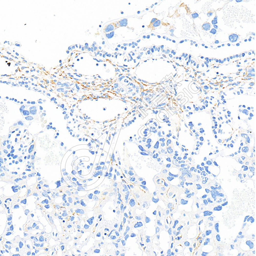
IHC检测VEGFA蛋白(货号 K545495).
样品: 人胃癌, 4%多聚甲醛 (货号KSG1101) 固定12-24小时.
抗原修复: 柠檬酸抗原修复液(干粉, pH 6.0) (KSG1201), 98℃, 20分钟.
—抗: 1: 300稀释, 4℃ 孵育过夜.
二抗: S-vision免疫组化多聚二抗(山羊抗兔),即用型 (货号KB3906), 室温孵育20分钟.
IHC检测VEGFA蛋白(货号 K545495).
样品: 小鼠胎盘, 4%多聚甲醛 (货号KSG1101) 固定12-24小时.
抗原修复: 柠檬酸抗原修复液(干粉, pH 6.0) (KSG1201), 98℃, 20分钟.
—抗: 1: 300稀释, 4℃ 孵育过夜.
二抗: S-vision免疫组化多聚二抗(山羊抗兔),即用型 (货号KB3906), 室温孵育20分钟.

需要技术支持?

如果您有任何问题或如果您在实验过程中遇到问题,或需要更详细的技术指导,请联系我们的技术支持团队
电话 400-6027-270

联系我们

如果您对我们的公司或产品有任何疑问,欢迎随时联系我们