tel 400-6027-270
Main Image
Recombinant Anti-TTF1(Thyroid transcription factor 1) antibody (兔单克隆抗体)
¥1900
加入对比
货号: K5450093-100
亚细胞定位: 细胞核
别名: Homeobox protein NK-2 homolog A,Thyroid nuclear factor 1,Thyroid transcription factor 1 (TTF-1),NKX2-1,NKX2A,TITF1,TTF1
应用 | 种属
IHC/IF H,M,R
规格:
产品信息
蛋白质全称 同源盒蛋白Nkx2.1
别名 Homeobox protein NK-2 homolog A,Thyroid nuclear factor 1,Thyroid transcription factor 1 (TTF-1),NKX2-1,NKX2A,TITF1,TTF1
Uniprot ID P43699
免疫原 KLH偶联的人TTF-1合成肽
抗体亚型 IgG, κ
克隆号 SB277
纯化方式 亲和纯化
亚细胞定位 细胞核
应用
IHC/IF 免疫组织化学/免疫荧光
物种:人,小鼠,大鼠
稀释比:1:500-1:1000
阳性样品:肺, 肺腺癌
背景
Transcription factor that binds and activates the promoter of thyroid specific genes such as thyroglobulin, thyroperoxidase, and thyrotropin receptor. Crucial in the maintenance of the thyroid differentiation phenotype. May play a role in lung development and surfactant homeostasis. Forms a regulatory loop with GRHL2 that coordinates lung epithelial cell morphogenesis and differentiation. Activates the transcription of GNRHR and plays a role in enhancing the circadian oscillation of its gene expression. Represses the transcription of the circadian transcriptional repressor NR1D1
储存条件
储存条件:储存条件在:-20℃下储存一年, 避免反复冻融.
储存缓冲液:含0.15% ProClin300防腐剂, 100 μg/mL牛血清白蛋白和50%甘油的磷酸盐缓冲液.
图像
IHC检测TTF1(Thyroid transcription factor 1)蛋白(货号 K5450093).
样品: 人肺腺癌, 4%多聚甲醛 (货号KSG1101) 固定12-24小时.
抗原修复: 柠檬酸抗原修复液(干粉, pH 6.0) (KSG1201), 高压锅均匀喷气计时2分钟.
—抗: 1: 800稀释, 4℃ 孵育过夜.
二抗: S-vision免疫组化多聚二抗(山羊抗兔),即用型 (货号KB3906), 室温孵育20分钟.
IHC检测TTF1(Thyroid transcription factor 1)蛋白(货号 K5450093).
样品: 小鼠肺, 4%多聚甲醛 (货号KSG1101) 固定12-24小时.
抗原修复: 柠檬酸抗原修复液(干粉, pH 6.0) (KSG1201), 高压锅均匀喷气计时2分钟.
—抗: 1: 800稀释, 4℃ 孵育过夜.
二抗: S-vision免疫组化多聚二抗(山羊抗兔),即用型 (货号KB3906), 室温孵育20分钟.
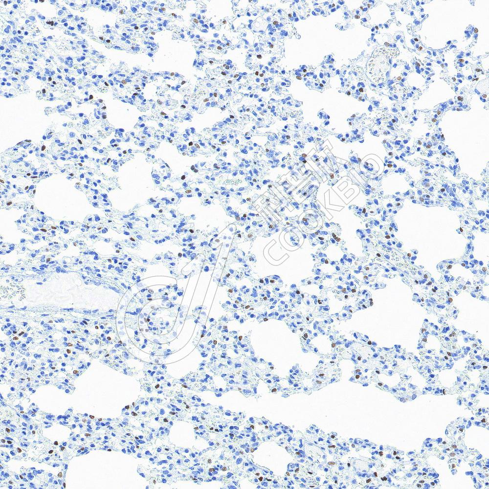
IHC检测TTF1(Thyroid transcription factor 1)蛋白(货号 K5450093).
样品: 大鼠肺, 4%多聚甲醛 (货号KSG1101) 固定12-24小时.
抗原修复: 柠檬酸抗原修复液(干粉, pH 6.0) (KSG1201), 高压锅均匀喷气计时2分钟.
—抗: 1: 800稀释, 4℃ 孵育过夜.
二抗: S-vision免疫组化多聚二抗(山羊抗兔),即用型 (货号KB3906), 室温孵育20分钟.

需要技术支持?

如果您有任何问题或如果您在实验过程中遇到问题,或需要更详细的技术指导,请联系我们的技术支持团队
电话 400-6027-270

联系我们

如果您对我们的公司或产品有任何疑问,欢迎随时联系我们