tel 400-6027-270
Main Image
Recombinant Anti-Macrophage Inflammatory Protein 1 alpha/CCL3 antibody (小鼠单克隆抗体)
¥1900
加入对比
货号: K547061-100
亚细胞定位: 分泌型
别名: Ccl3,CCL3,G0S19-1,LD78ALPHA,MIP-1-alpha,MIP1A,SCYA3,C-C motif chemokine ligand 3,Macrophage Inflammatory Protein 1 alpha,Tonsillar lymphocyte LD78 alpha protein,MIP-1-alpha,L2G25B,SIS-alpha,Small-inducible cytokine A3,TY-5,Mip1a,Scya3
应用 | 种属
IHC/IF M
规格:
产品信息
蛋白质全称 C-C基序趋化因子3
别名 Ccl3,CCL3,G0S19-1,LD78ALPHA,MIP-1-alpha,MIP1A,SCYA3,C-C motif chemokine ligand 3,Macrophage Inflammatory Protein 1 alpha,Tonsillar lymphocyte LD78 alpha protein,MIP-1-alpha,L2G25B,SIS-alpha,Small-inducible cytokine A3,TY-5,Mip1a,Scya3
Uniprot ID P10855
免疫原 小鼠CCL3重组蛋白
抗体亚型 IgG1, κ
克隆号 SB203
纯化方式 亲和纯化
亚细胞定位 分泌型
应用
IHC/IF 免疫组织化学/免疫荧光
物种:小鼠
稀释比:1:250-1:1000
阳性样品:损伤肺, 脾
背景
Monokine with inflammatory and chemokinetic properties. Binds to CCR1, CCR4 and CCR5. One of the major HIV-suppressive factors produced by CD8+ T-cells. Recombinant MIP-1-alpha induces a dose-dependent inhibition of different strains of HIV-1, HIV-2, and simian immunodeficiency virus (SIV).
储存条件
储存条件:储存条件在:-20℃下储存一年, 避免反复冻融.
储存缓冲液:含0.15% ProClin300防腐剂, 100 μg/mL牛血清白蛋白和50%甘油的磷酸盐缓冲液.
图像
IHC检测Macrophage Inflammatory Protein 1 alpha/CCL3蛋白(货号 K547061).
样品: 小鼠损伤肺, 4%多聚甲醛 (货号KSG1101) 固定12-24小时.
抗原修复: 柠檬酸抗原修复液(干粉, pH 6.0) (KSG1201), 高压锅均匀喷气计时2分钟.
—抗: 1: 600稀释, 4℃ 孵育过夜.
二抗: S-vision免疫组化多聚二抗(山羊抗小鼠), 即用型(货号KB3903), 室温孵育20分钟.
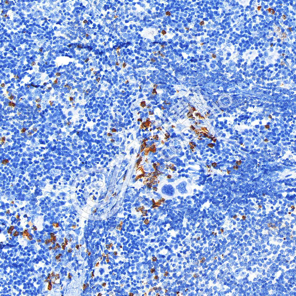
IHC检测Macrophage Inflammatory Protein 1 alpha/CCL3蛋白(货号 K547061).
样品: 小鼠脾, 4%多聚甲醛 (货号KSG1101) 固定12-24小时.
抗原修复: 柠檬酸抗原修复液(干粉, pH 6.0) (KSG1201), 高压锅均匀喷气计时2分钟.
—抗: 1: 600稀释, 4℃ 孵育过夜.
二抗: S-vision免疫组化多聚二抗(山羊抗小鼠), 即用型(货号KB3903), 室温孵育20分钟.

需要技术支持?

如果您有任何问题或如果您在实验过程中遇到问题,或需要更详细的技术指导,请联系我们的技术支持团队
电话 400-6027-270

联系我们

如果您对我们的公司或产品有任何疑问,欢迎随时联系我们