tel 400-6027-270
Main Image
Recombinant Anti-ADX antibody (兔单克隆抗体)
¥1900
加入对比
货号: K5450273-100
预测分子量: 19 kDa
观测分子量: 13 kDa
亚细胞定位: 线粒体基质
别名: FDX1,Adrenal ferredoxin,Ferredoxin-1,Hepatoredoxin
应用 | 种属
WB H,M,R
IHC/IF H
规格:
产品信息
蛋白质全称 线粒体肾上腺氧还蛋白
别名 FDX1,Adrenal ferredoxin,Ferredoxin-1,Hepatoredoxin
Uniprot ID P10109
免疫原 KLH偶联的人ADX合成肽
抗体亚型 IgG
克隆号 SB456
纯化方式 亲和纯化
亚细胞定位 线粒体基质
预测分子量./观测分子量. 19 kDa / 13 kDa
应用
WB 免疫印迹
物种:人, 小鼠, 大鼠
稀释比:1:1000-1:4000
阳性样品:—
IHC/IF 免疫组织化学/免疫荧光
物种:人
稀释比:1:2000-1:4000
阳性样品:肾, 胎盘
背景
Essential for the synthesis of various steroid hormones.Participates in the reduction of mitochondrial cytochrome P450 for steroidogenesis.Transfers electrons from adrenodoxin reductase to CYP11A1, a cytochrome P450 that catalyzes cholesterol side-chain cleavage .Does not form a ternary complex with adrenodoxin reductase and CYP11A1 but shuttles between the two enzymes to transfer electrons .
储存条件
储存条件:储存条件在:-20℃下储存一年, 避免反复冻融.
储存缓冲液:含0.15% ProClin300防腐剂, 100 μg/mL牛血清白蛋白和50%甘油的磷酸盐缓冲液.
图像
IHC检测ADX蛋白(货号 K5450273).
样品: 人肾, 4%多聚甲醛 (货号KSG1101) 固定12-24小时.
抗原修复: Tris-EDTA抗原修复液(pH 9.0) (KSG1203), 100℃, 25分钟.
—抗: 1: 3000稀释, 4℃ 孵育过夜.
二抗: S-vision免疫组化多聚二抗(山羊抗兔),即用型 (货号KB3906), 室温孵育20分钟.
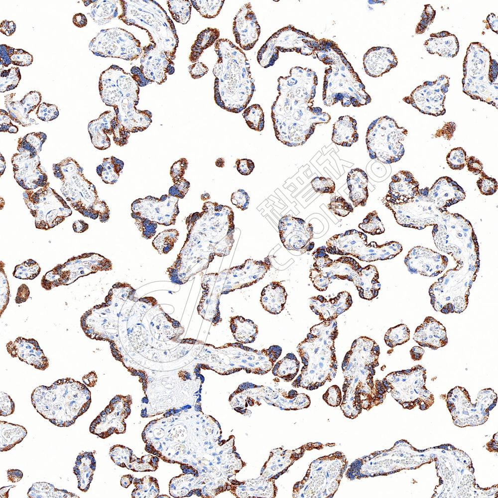
IHC检测ADX蛋白(货号 K5450273).
样品: 人胎盘, 4%多聚甲醛 (货号KSG1101) 固定12-24小时.
抗原修复: Tris-EDTA抗原修复液(pH 9.0) (KSG1203), 100℃, 25分钟.
—抗: 1: 3000稀释, 4℃ 孵育过夜.
二抗: S-vision免疫组化多聚二抗(山羊抗兔),即用型 (货号KB3906), 室温孵育20分钟.

需要技术支持?

如果您有任何问题或如果您在实验过程中遇到问题,或需要更详细的技术指导,请联系我们的技术支持团队
电话 400-6027-270

联系我们

如果您对我们的公司或产品有任何疑问,欢迎随时联系我们