tel 400-6027-270
Main Image
Recombinant Anti-Albumin antibody (兔单克隆抗体)
¥1900
加入对比
货号: K5456240-100
预测分子量: 69 kDa
观测分子量: 69 kDa
亚细胞定位: 分泌型
别名: ALB,blood albumin,ANALBA,FDAH,PRO0883,PRO0903,PRO1341,albumin,Serum albumin,HSA
应用 | 种属
WB M,R
IHC/IF H,M,R
规格:
产品信息
蛋白质全称 白蛋白
别名 ALB,blood albumin,ANALBA,FDAH,PRO0883,PRO0903,PRO1341,albumin,Serum albumin,HSA
Uniprot ID P02768
免疫原 KLH偶联的人Albumin合成肽
抗体亚型 IgG
克隆号 SB549
纯化方式 亲和纯化
亚细胞定位 分泌型
预测分子量./观测分子量. 69 kDa / 69 kDa
应用
WB 免疫印迹
物种:小鼠,大鼠
稀释比:1:2000-1:10000
阳性样品:—
IHC/IF 免疫组织化学/免疫荧光
物种:人,小鼠,大鼠
稀释比:1:200-1:600
阳性样品:肝
背景
This gene encodes the most abundant protein in human blood. This protein functions in the regulation of blood plasma colloid osmotic pressure and acts as a carrier protein for a wide range of endogenous molecules including hormones, fatty acids, and metabolites, as well as exogenous drugs. Additionally, this protein exhibits an esterase-like activity with broad substrate specificity. The encoded preproprotein is proteolytically processed to generate the mature protein. A peptide derived from this protein, EPI-X4, is an endogenous inhibitor of the CXCR4 chemokine receptor.
储存条件
储存条件:储存条件在:-20℃下储存一年, 避免反复冻融.
储存缓冲液:含0.15% ProClin300防腐剂, 100 μg/mL牛血清白蛋白和50%甘油的磷酸盐缓冲液.
图像
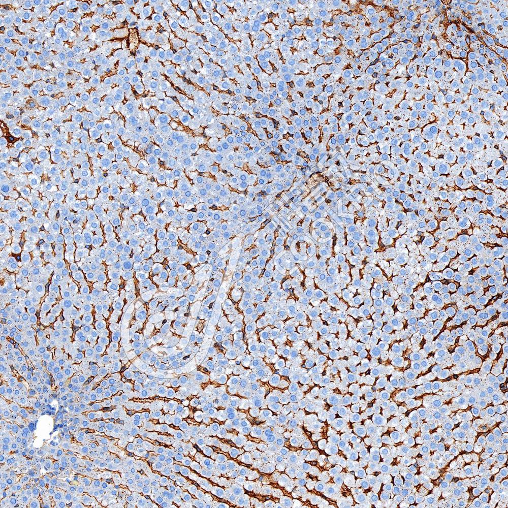
IHC检测Albumin蛋白(货号 K5456240).
样品: 人肝, 4%多聚甲醛 (货号KSG1101) 固定12-24小时.
抗原修复: Tris-EDTA抗原修复液(pH 9.0) (货号KSG1203), 水浴100℃, 25分钟.
—抗: 1: 400稀释, 4℃ 孵育过夜.
二抗: S-vision免疫组化多聚二抗(山羊抗兔),即用型 (货号KB3906), 室温孵育20分钟.
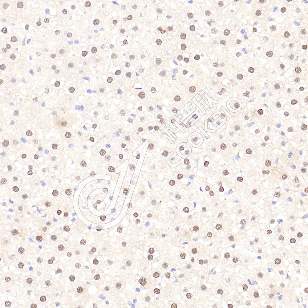
IHC检测Albumin蛋白(货号 K5456240).
样品: 小鼠肝, 4%多聚甲醛 (货号KSG1101) 固定12-24小时.
抗原修复: Tris-EDTA抗原修复液(pH 9.0) (货号KSG1203), 水浴100℃, 25分钟.
—抗: 1: 400稀释, 4℃ 孵育过夜.
二抗: S-vision免疫组化多聚二抗(山羊抗兔),即用型 (货号KB3906), 室温孵育20分钟.
IHC检测Albumin蛋白(货号 K5456240).
样品: 大鼠肝, 4%多聚甲醛 (货号KSG1101) 固定12-24小时.
抗原修复: Tris-EDTA抗原修复液(pH 9.0) (货号KSG1203), 水浴100℃, 25分钟.
—抗: 1: 400稀释, 4℃ 孵育过夜.
二抗: S-vision免疫组化多聚二抗(山羊抗兔),即用型 (货号KB3906), 室温孵育20分钟.

需要技术支持?

如果您有任何问题或如果您在实验过程中遇到问题,或需要更详细的技术指导,请联系我们的技术支持团队
电话 400-6027-270

联系我们

如果您对我们的公司或产品有任何疑问,欢迎随时联系我们