tel 400-6027-270
Main Image
Anti-PLA1A/NMD 兔多克隆抗体
¥1900
加入对比
货号: K1339567-100
预测分子量: 50 kDa
观测分子量: 50 kDa
亚细胞定位: 分泌型
别名: Phosphatidylserine-specific phospholipase A1,PS-PLA1,Pla1a,Pspla1,NMD
应用 | 种属
WB M,R
IHC/IF H
规格:
产品信息
蛋白质全称 磷脂酶A1成员A
别名 Phosphatidylserine-specific phospholipase A1,PS-PLA1,Pla1a,Pspla1,NMD
Uniprot ID Q8VI78
免疫原 小鼠PLA1A/NMD重组蛋白
抗体亚型 IgG
纯化方式 亲和纯化
亚细胞定位 分泌型
预测分子量./观测分子量. 50 kDa / 50 kDa
应用
WB 免疫印迹
物种:小鼠,大鼠
稀释比:1:500-1:1000
阳性样品:—
IHC/IF 免疫组织化学/免疫荧光
物种:人
稀释比:1:1200-1:2400
阳性样品:胎盘
背景
The protein encoded by this gene is a phospholipase that hydrolyzes fatty acids at the sn-1 position of phosphatidylserine and 1-acyl-2-lysophosphatidylserine. This secreted protein hydrolyzes phosphatidylserine in liposomes. Three transcript variants encoding different isoforms have been found for this gene.
储存条件
储存条件:储存条件在:-20℃下储存一年, 避免反复冻融.
储存缓冲液:含0.15% ProClin300防腐剂, 100 μg/mL牛血清白蛋白和50%甘油的磷酸盐缓冲液.
图像
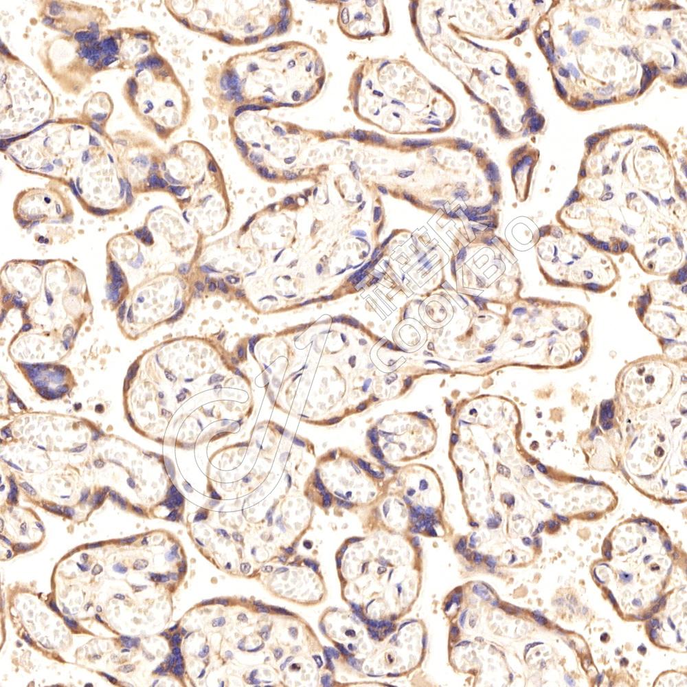
IHC检测PLA1A/NMD蛋白(货号 K1339567).
样品: 人胎盘, 4%多聚甲醛 (货号KSG1101) 固定12-24小时.
抗原修复: 柠檬酸抗原修复液(干粉, pH 6.0) (KSG1201), 98℃, 20分钟.
—抗: 1: 1800稀释, 4℃ 孵育过夜.
二抗: S-vision免疫组化多聚二抗(山羊抗兔),即用型 (货号KB3906), 室温孵育20分钟.
IHC检测PLA1A/NMD蛋白(货号 K1339567).
样品: 人胎盘, 4%多聚甲醛 (货号KSG1101) 固定12-24小时.
抗原修复: 柠檬酸抗原修复液(干粉, pH 6.0) (KSG1201), 98℃, 20分钟.
—抗: 1: 1800稀释, 4℃ 孵育过夜.
二抗: S-vision免疫组化多聚二抗(山羊抗兔),即用型 (货号KB3906), 室温孵育20分钟.

需要技术支持?

如果您有任何问题或如果您在实验过程中遇到问题,或需要更详细的技术指导,请联系我们的技术支持团队
电话 400-6027-270

联系我们

如果您对我们的公司或产品有任何疑问,欢迎随时联系我们