tel 400-6027-270
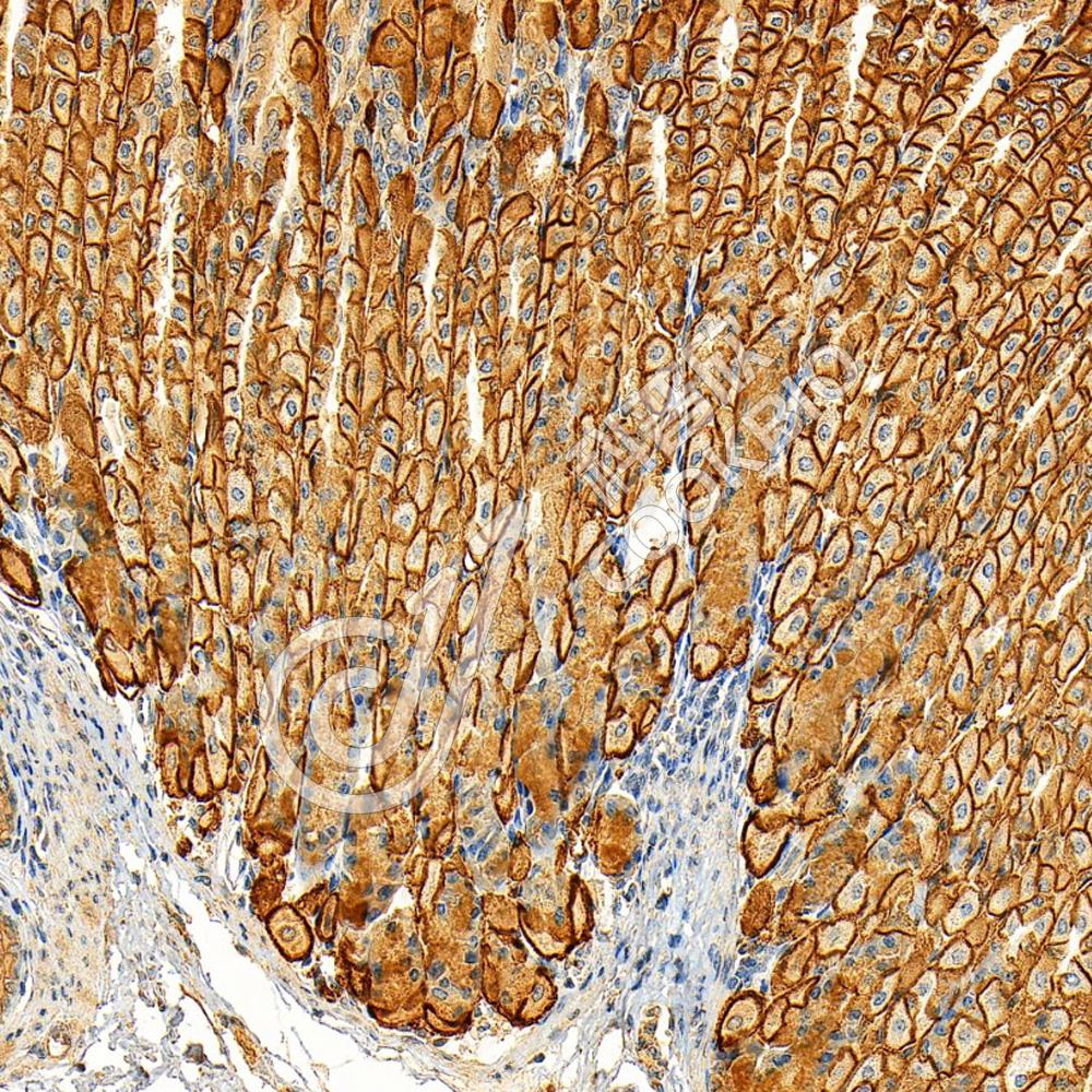
Main Image
Anti-THEA 兔多克隆抗体
¥1900
加入对比
货号: K1340398-100
亚细胞定位: 细胞质, 线粒体
别名: ACOT11,acyl CoA thioesterase 11,BFIT,BFIT1,BFIT2,KIAA0707,STARD14,THEA,THEM1,Thioesterase adipose associated
应用 | 种属
IHC/IF H
规格:
产品信息
蛋白质全称 酰基辅酶A硫酯酶11
别名 ACOT11,acyl CoA thioesterase 11,BFIT,BFIT1,BFIT2,KIAA0707,STARD14,THEA,THEM1,Thioesterase adipose associated
Uniprot ID Q8VHQ9
免疫原 小鼠THEA重组蛋白
抗体亚型 IgG
纯化方式 亲和纯化
亚细胞定位 细胞质, 线粒体
应用
IHC/IF 免疫组织化学/免疫荧光
物种:人
稀释比:1:800-1:1600
阳性样品:肾
背景
ACOT11(Acyl-coenzyme A thioesterase 11) is also named as BFIT, KIAA0707, THEA.BFIT is mapped to syntenic regions of chromosomes 1 (human) and 4 (mouse) associated with body fatness and diet-induced obesity, potentially linking a deficit of BFIT activity with exacerbation of these traits and supports the transition of this tissue towards increased metabolic activity, probably through alteration of intracellular fatty acyl-CoA concentration.
储存条件
储存条件:储存条件在:-20℃下储存一年, 避免反复冻融.
储存缓冲液:含0.15% ProClin300防腐剂, 100 μg/mL牛血清白蛋白和50%甘油的磷酸盐缓冲液.
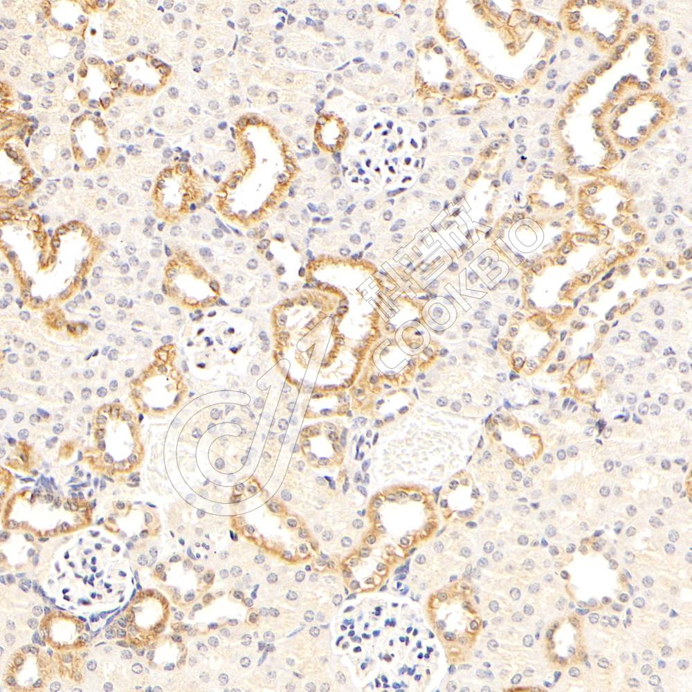
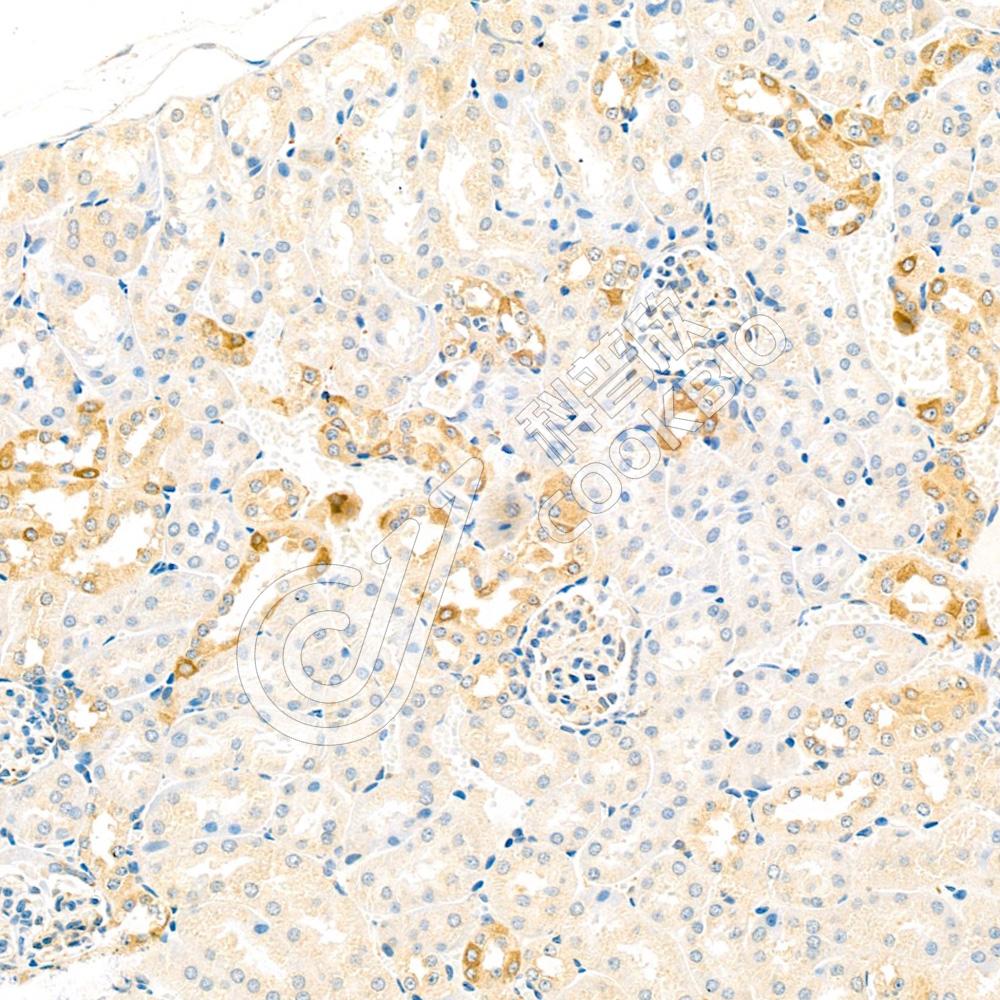
图像
IHC检测THEA蛋白(货号 K1340398).
样品: 人肾, 4%多聚甲醛 (货号KSG1101) 固定12-24小时.
抗原修复: 柠檬酸抗原修复液(干粉, pH 6.0) (KSG1201), 98℃, 20分钟.
—抗: 1: 1200稀释, 4℃ 孵育过夜.
二抗: S-vision免疫组化多聚二抗(山羊抗兔),即用型 (货号KB3906), 室温孵育20分钟.
IHC检测THEA蛋白(货号 K1340398).
样品: 人肾, 4%多聚甲醛 (货号KSG1101) 固定12-24小时.
抗原修复: 柠檬酸抗原修复液(干粉, pH 6.0) (KSG1201), 98℃, 20分钟.
—抗: 1: 1200稀释, 4℃ 孵育过夜.
二抗: S-vision免疫组化多聚二抗(山羊抗兔),即用型 (货号KB3906), 室温孵育20分钟.

需要技术支持?

如果您有任何问题或如果您在实验过程中遇到问题,或需要更详细的技术指导,请联系我们的技术支持团队
电话 400-6027-270

联系我们

如果您对我们的公司或产品有任何疑问,欢迎随时联系我们