tel 400-6027-270
Main Image
Anti-Phosphomevalonate kinase 兔多克隆抗体
¥1900
加入对比
货号: K134056-100
亚细胞定位: 过氧化物酶体
别名: hPMK,HUMPMKI,PMK,PMKA,PMKASE,PMKI,PMVK
应用 | 种属
IHC/IF H
规格:
产品信息
蛋白质全称 磷酸甲羟戊酸激酶
别名 hPMK,HUMPMKI,PMK,PMKA,PMKASE,PMKI,PMVK
Uniprot ID Q9D1G2
免疫原 KLH偶联的小鼠PMVK合成肽
抗体亚型 IgG
纯化方式 亲和纯化
亚细胞定位 过氧化物酶体
应用
IHC/IF 免疫组织化学/免疫荧光
物种:人
稀释比:1:1000-1:4000
阳性样品:肾
背景
This gene encodes a peroxisomal enzyme that is a member of the galactokinase, homoserine kinase, mevalonate kinase, and phosphomevalonate kinase (GHMP) family of ATP-dependent enzymes. The encoded protein catalyzes the conversion of mevalonate 5-phosphate to mevalonate 5-diphosphate, which is the fifth step in the mevalonate pathway of isoprenoid biosynthesis. Mutations in this gene are linked to certain types of porokeratosis including disseminated superficial porokeratosis. Alternative splicing results in multiple transcript variants.
储存条件
储存条件:储存条件在:-20℃下储存一年, 避免反复冻融.
储存缓冲液:含0.15% ProClin300防腐剂, 100 μg/mL牛血清白蛋白和50%甘油的磷酸盐缓冲液.
图像
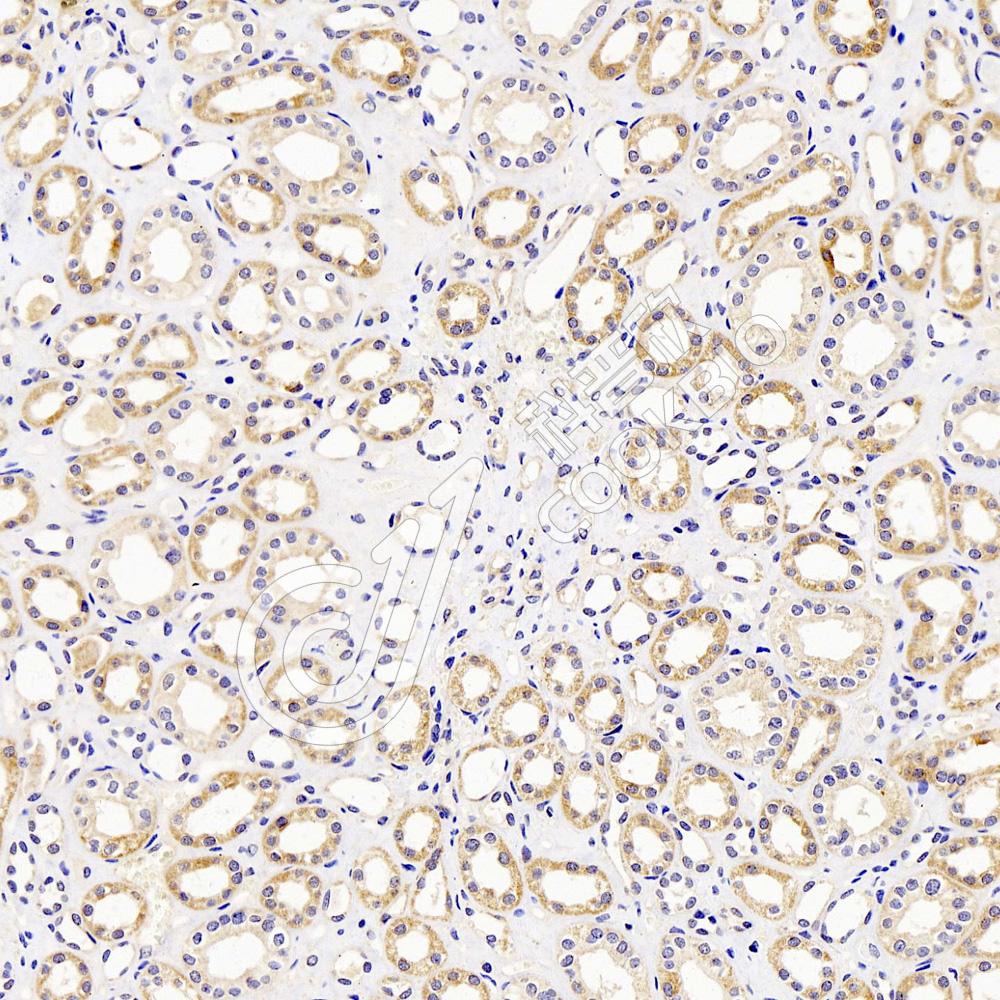
IHC检测Phosphomevalonate kinase蛋白(货号 K134056).
样品: 人肾, 4%多聚甲醛 (货号KSG1101) 固定12-24小时.
抗原修复: 柠檬酸抗原修复液(干粉, pH 6.0) (KSG1201), 98℃, 20分钟.
—抗: 1: 2500稀释, 4℃ 孵育过夜.
二抗: S-vision免疫组化多聚二抗(山羊抗兔),即用型 (货号KB3906), 室温孵育20分钟.
IHC检测Phosphomevalonate kinase蛋白(货号 K134056).
样品: 人肾, 4%多聚甲醛 (货号KSG1101) 固定12-24小时.
抗原修复: 柠檬酸抗原修复液(干粉, pH 6.0) (KSG1201), 98℃, 20分钟.
—抗: 1: 2500稀释, 4℃ 孵育过夜.
二抗: S-vision免疫组化多聚二抗(山羊抗兔),即用型 (货号KB3906), 室温孵育20分钟.

需要技术支持?

如果您有任何问题或如果您在实验过程中遇到问题,或需要更详细的技术指导,请联系我们的技术支持团队
电话 400-6027-270

联系我们

如果您对我们的公司或产品有任何疑问,欢迎随时联系我们