tel 400-6027-270
Main Image
Anti-Apelin 兔多克隆抗体
¥1900
加入对比
货号: K1335007-100
亚细胞定位: 分泌型
别名: APJ endogenous ligand,Apelin-36,Apelin-31,Apelin-28,Apelin-13,Apln,Apel,XNPEP2,AGTRL1 ligand
应用 | 种属
IHC/IF M,R
规格:
产品信息
蛋白质全称 Apelin肽
别名 APJ endogenous ligand,Apelin-36,Apelin-31,Apelin-28,Apelin-13,Apln,Apel,XNPEP2,AGTRL1 ligand
Uniprot ID Q9R0R4
免疫原 小鼠Apelin重组蛋白
抗体亚型 IgG
纯化方式 亲和纯化
亚细胞定位 分泌型
应用
IHC/IF 免疫组织化学/免疫荧光
物种:小鼠,大鼠
稀释比:1:600-1:1400
阳性样品:睾丸
背景
Apelin, isolated from bovine stomach tissue extractsis, is recognized as the endogenous ligand of the angiotensin-like-receptor 1 (APJ), and the human orphan G-protein-coupled receptor. Apelin is widely expressed in various organs such as the heart, lung, kidney, liver, adipose tissue, gastrointestinal tract, brain, adrenal glands, endothelium, and human plasma. Apelin has been found to be a potent stimulator of cardiac contractility and may function in the regulation of the cardiovascular system.
储存条件
储存条件:储存条件在:-20℃下储存一年, 避免反复冻融.
储存缓冲液:含0.15% ProClin300防腐剂, 100 μg/mL牛血清白蛋白和50%甘油的磷酸盐缓冲液.
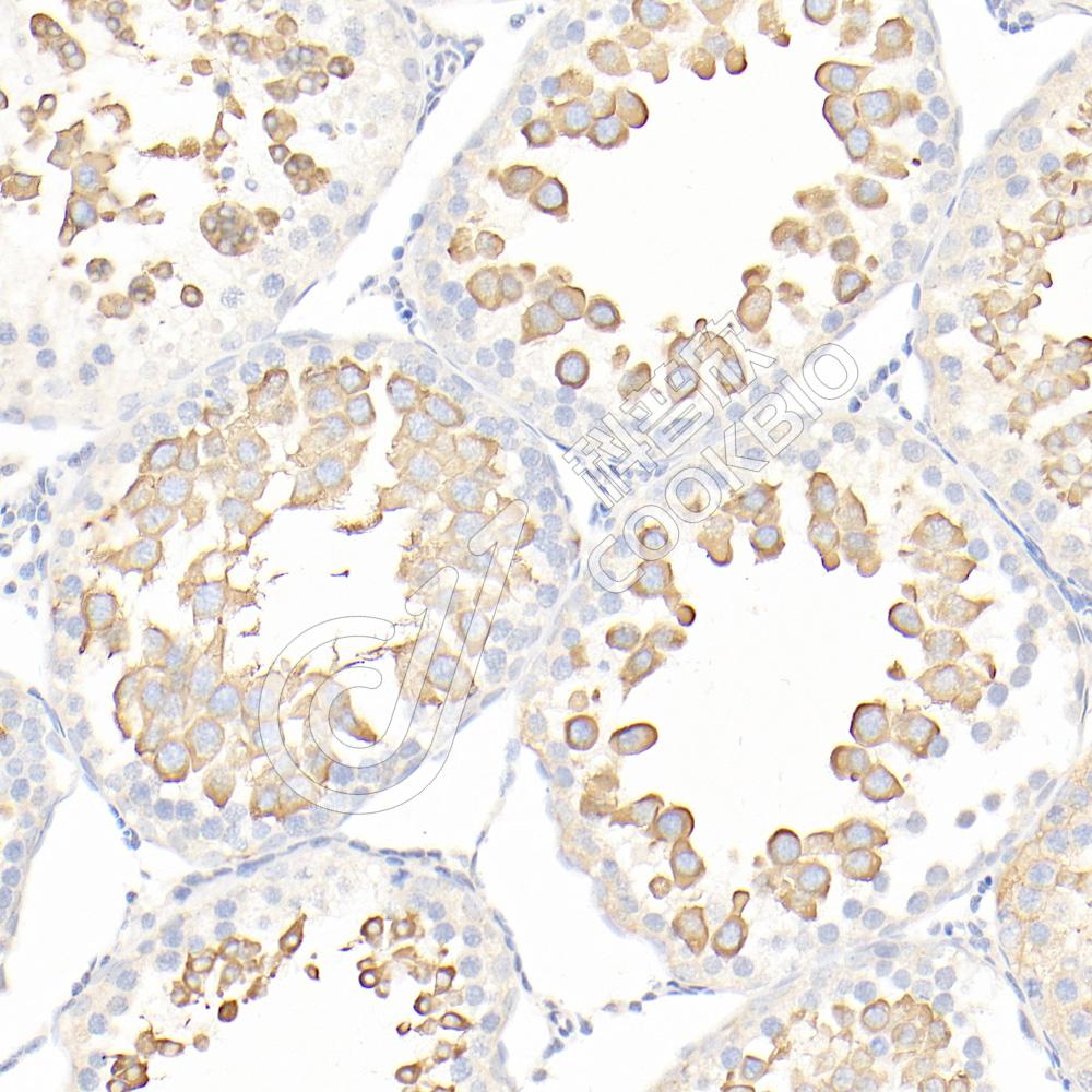
图像
IHC检测Apelin蛋白(货号 K1335007).
样品: 小鼠睾丸, 4%多聚甲醛 (货号KSG1101) 固定12-24小时.
抗原修复: 柠檬酸抗原修复液(干粉, pH 6.0) (KSG1201), 98℃, 20分钟.
—抗: 1: 1000稀释, 4℃ 孵育过夜.
二抗: S-vision免疫组化多聚二抗(山羊抗兔),即用型 (货号KB3906), 室温孵育20分钟.
IHC检测Apelin蛋白(货号 K1335007).
样品: 大鼠睾丸, 4%多聚甲醛 (货号KSG1101) 固定12-24小时.
抗原修复: 柠檬酸抗原修复液(干粉, pH 6.0) (KSG1201), 98℃, 20分钟.
—抗: 1: 1000稀释, 4℃ 孵育过夜.
二抗: S-vision免疫组化多聚二抗(山羊抗兔),即用型 (货号KB3906), 室温孵育20分钟.

需要技术支持?

如果您有任何问题或如果您在实验过程中遇到问题,或需要更详细的技术指导,请联系我们的技术支持团队
电话 400-6027-270

联系我们

如果您对我们的公司或产品有任何疑问,欢迎随时联系我们