tel 400-6027-270
Main Image
Anti-COX2/Cyclooxygenase 2 兔多克隆抗体
¥1900
加入对比
货号: K133231-1-100
亚细胞定位: 微粒体膜
别名: PTGS2,COX-2,COX2,GRIPGHS,PGG/HS,PGHS-2,PHS-2,hCox-2,prostaglandin-endoperoxide synthase 2
应用 | 种属
IHC/IF H,M
规格:
产品信息
蛋白质全称 前列腺素G/H合酶2
别名 PTGS2,COX-2,COX2,GRIPGHS,PGG/HS,PGHS-2,PHS-2,hCox-2,prostaglandin-endoperoxide synthase 2
Uniprot ID Q05769
免疫原 KLH偶联的小鼠COX2合成肽
抗体亚型 IgG
纯化方式 亲和纯化
亚细胞定位 微粒体膜
应用
IHC/IF 免疫组织化学/免疫荧光
物种:人,小鼠
稀释比:1:500-1:2000
阳性样品:肾, 肝癌
背景
Prostaglandin-endoperoxide synthase (PTGS), also known as cyclooxygenase, is the key enzyme in prostaglandin biosynthesis, and acts both as a dioxygenase and as a peroxidase. There are two isozymes of PTGS: a constitutive PTGS1 and an inducible PTGS2, which differ in their regulation of expression and tissue distribution. This gene encodes the inducible isozyme. It is regulated by specific stimulatory events, suggesting that it is responsible for the prostanoid biosynthesis involved in inflammation and mitogenesis.
储存条件
储存条件:储存条件在:-20℃下储存一年, 避免反复冻融.
储存缓冲液:含0.15% ProClin300防腐剂, 100 μg/mL牛血清白蛋白和50%甘油的磷酸盐缓冲液.
图像
IHC检测COX2/Cyclooxygenase 2蛋白(货号 K133231-1).
样品: 人肝癌, 4%多聚甲醛 (货号KSG1101) 固定12-24小时.
抗原修复: 柠檬酸抗原修复液(干粉, pH 6.0) (KSG1201), 98℃, 20分钟.
—抗: 1: 1300稀释, 4℃ 孵育过夜.
二抗: S-vision免疫组化多聚二抗(山羊抗兔),即用型 (货号KB3906), 室温孵育20分钟.
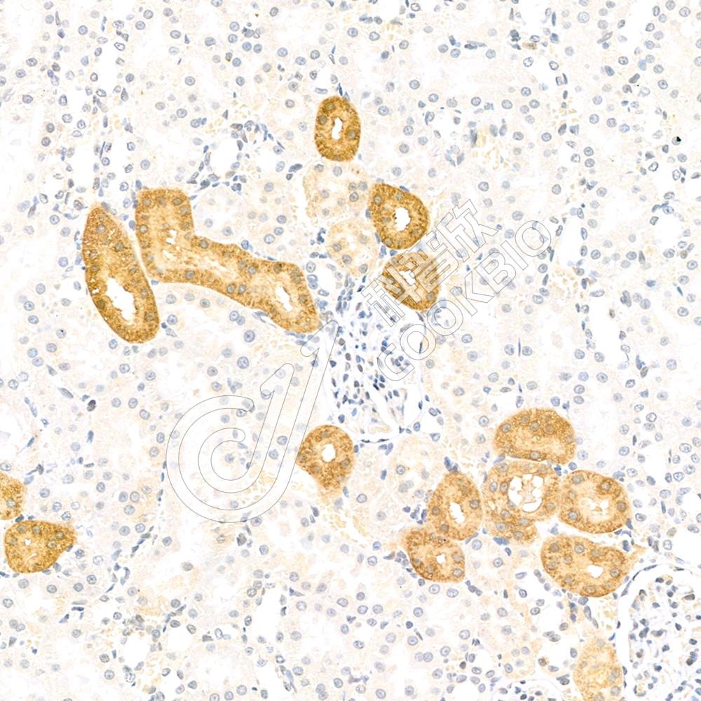
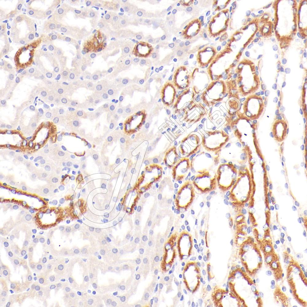
IHC检测COX2/Cyclooxygenase 2蛋白(货号 K133231-1).
样品: 小鼠肾, 4%多聚甲醛 (货号KSG1101) 固定12-24小时.
抗原修复: 柠檬酸抗原修复液(干粉, pH 6.0) (KSG1201), 98℃, 20分钟.
—抗: 1: 1300稀释, 4℃ 孵育过夜.
二抗: S-vision免疫组化多聚二抗(山羊抗兔),即用型 (货号KB3906), 室温孵育20分钟.

需要技术支持?

如果您有任何问题或如果您在实验过程中遇到问题,或需要更详细的技术指导,请联系我们的技术支持团队
电话 400-6027-270

联系我们

如果您对我们的公司或产品有任何疑问,欢迎随时联系我们