tel 400-6027-270
Main Image
Anti-CYP20A1 兔多克隆抗体
¥1900
加入对比
货号: K1336861-100
预测分子量: 52 kDa
观测分子量: 52 kDa
亚细胞定位:
别名: Cyp20a1,CYPM,Cytochrome P450 monooxygenase,Cytochrome P450
应用 | 种属
WB H,M,R
IHC/IF H,M,R
规格:
产品信息
蛋白质全称 细胞色素P450 20A1
别名 Cyp20a1,CYPM,Cytochrome P450 monooxygenase,Cytochrome P450
Uniprot ID Q8BKE6
免疫原 小鼠CYP20A1重组蛋白
抗体亚型 IgG
纯化方式 亲和纯化
亚细胞定位
预测分子量./观测分子量. 52 kDa / 52 kDa
应用
WB 免疫印迹
物种:人,小鼠,大鼠
稀释比:1:250-1:500
阳性样品:—
IHC/IF 免疫组织化学/免疫荧光
物种:人,小鼠,大鼠
稀释比:1:500-1:1500
阳性样品:肾
背景
CYP20A1 is a member of the cytochrome P450 superfamily of enzymes. The cytochrome P450 proteins are monooxygenases that catalyze many reactions involved in drug metabolism and synthesis of cholesterol, steroids and other lipids. The protein lacks one amino acid of the conserved heme binding site. It also lacks the conserved I-helix motif AGX(D, E)T, suggesting that its substrate may carry its own oxygen.
储存条件
储存条件:储存条件在:-20℃下储存一年, 避免反复冻融.
储存缓冲液:含0.15% ProClin300防腐剂, 100 μg/mL牛血清白蛋白和50%甘油的磷酸盐缓冲液.
图像
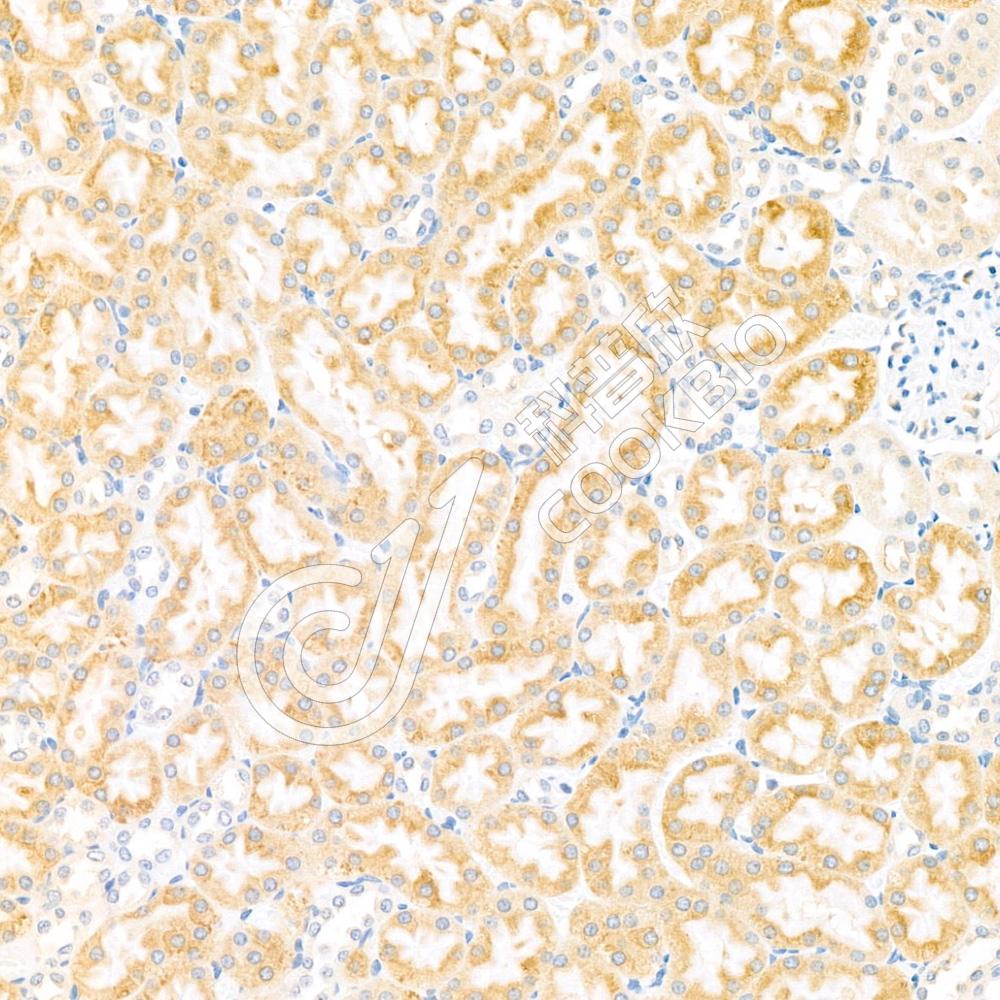
IHC检测CYP20A1蛋白(货号 K1336861).
样品: 人肾, 4%多聚甲醛 (货号KSG1101) 固定12-24小时.
抗原修复: 柠檬酸抗原修复液(干粉, pH 6.0) (KSG1201), 98℃, 20分钟.
—抗: 1: 1000稀释, 4℃ 孵育过夜.
二抗: S-vision免疫组化多聚二抗(山羊抗兔),即用型 (货号KB3906), 室温孵育20分钟.
IHC检测CYP20A1蛋白(货号 K1336861).
样品: 小鼠肾, 4%多聚甲醛 (货号KSG1101) 固定12-24小时.
抗原修复: 柠檬酸抗原修复液(干粉, pH 6.0) (KSG1201), 98℃, 20分钟.
—抗: 1: 1000稀释, 4℃ 孵育过夜.
二抗: S-vision免疫组化多聚二抗(山羊抗兔),即用型 (货号KB3906), 室温孵育20分钟.
IHC检测CYP20A1蛋白(货号 K1336861).
样品: 大鼠肾, 4%多聚甲醛 (货号KSG1101) 固定12-24小时.
抗原修复: 柠檬酸抗原修复液(干粉, pH 6.0) (KSG1201), 98℃, 20分钟.
—抗: 1: 1000稀释, 4℃ 孵育过夜.
二抗: S-vision免疫组化多聚二抗(山羊抗兔),即用型 (货号KB3906), 室温孵育20分钟.

需要技术支持?

如果您有任何问题或如果您在实验过程中遇到问题,或需要更详细的技术指导,请联系我们的技术支持团队
电话 400-6027-270

联系我们

如果您对我们的公司或产品有任何疑问,欢迎随时联系我们