tel 400-6027-270
Main Image
Recombinant Anti-Fatty Acid Synthase antibody (小鼠单克隆抗体)
¥1900
加入对比
货号: K546638-100
预测分子量: 273 kDa
观测分子量: 250-273 kDa
亚细胞定位: 细胞质
别名: FASN,fatty acid synthase,Fasn,A630082H08Rik,FAS,OA-519,SDR27X1,Fatty acid synthase
应用 | 种属
WB H,M
IHC/IF M
规格:
产品信息
蛋白质全称 脂肪酸合成酶
别名 FASN,fatty acid synthase,Fasn,A630082H08Rik,FAS,OA-519,SDR27X1,Fatty acid synthase
Uniprot ID P19096
免疫原 小鼠Fatty acid synthase重组蛋白
抗体亚型 IgG1, κ
克隆号 SB147
纯化方式 亲和纯化
亚细胞定位 细胞质
预测分子量./观测分子量. 273 kDa / 250-273 kDa
应用
WB 免疫印迹
物种:人,小鼠
稀释比:1:500-1:1000
阳性样品:—
IHC/IF 免疫组织化学/免疫荧光
物种:小鼠
稀释比:1:1000-1:2000
阳性样品:肺
背景
Fatty acid synthase is a multi-enzyme protein that catalyzes fatty acid synthesis. It is not a single enzyme but a whole enzymatic system composed of two identical 272 kDa multifunctional polypeptides, in which substrates are handed from one functional domain to the next. Its main function is to catalyze the synthesis of palmitate (C16:0, a long-chain saturated fatty acid) from acetyl-CoA and malonyl-CoA, in the presence of NADPH.
储存条件
储存条件:储存条件在:-20℃下储存一年, 避免反复冻融.
储存缓冲液:含0.15% ProClin300防腐剂, 100 μg/mL牛血清白蛋白和50%甘油的磷酸盐缓冲液.
图像
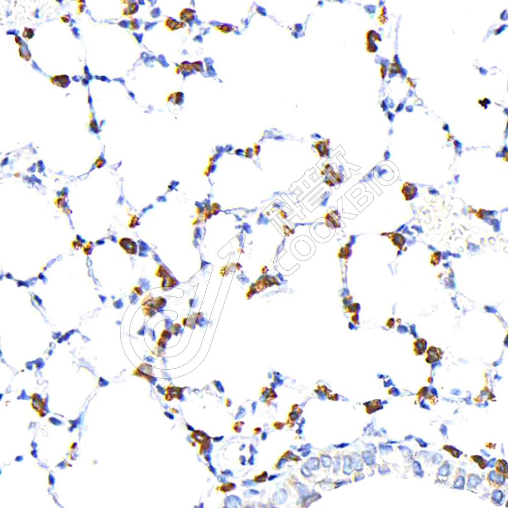
IHC检测Fatty Acid Synthase蛋白(货号 K546638).
样品: 小鼠肺, 4%多聚甲醛 (货号KSG1101) 固定12-24小时.
抗原修复: 柠檬酸抗原修复液(干粉, pH 6.0) (KSG1201), 高压锅均匀喷气计时2分钟.
—抗: 1: 1500稀释, 4℃ 孵育过夜.
二抗: S-vision免疫组化多聚二抗(山羊抗小鼠), 即用型(货号KB3903), 室温孵育20分钟.
IHC检测Fatty Acid Synthase蛋白(货号 K546638).
样品: 小鼠肺, 4%多聚甲醛 (货号KSG1101) 固定12-24小时.
抗原修复: 柠檬酸抗原修复液(干粉, pH 6.0) (KSG1201), 高压锅均匀喷气计时2分钟.
—抗: 1: 1500稀释, 4℃ 孵育过夜.
二抗: S-vision免疫组化多聚二抗(山羊抗小鼠), 即用型(货号KB3903), 室温孵育20分钟.

需要技术支持?

如果您有任何问题或如果您在实验过程中遇到问题,或需要更详细的技术指导,请联系我们的技术支持团队
电话 400-6027-270

联系我们

如果您对我们的公司或产品有任何疑问,欢迎随时联系我们