tel 400-6027-270
Main Image
Anti-PPAR delta 兔多克隆抗体
¥1900
加入对比
货号: K1333861-100
预测分子量: 50 kDa
观测分子量: 50 kDa
别名: FAAR,NR1C2,NUC1,NUCI,NUCII,Nuclear hormone receptor 1,PPAR beta,PPAR delta,PPARB,PPARD,PPAR-beta,Ppard,Nr1c2,Pparb
应用 | 种属
WB M,R
规格:
产品信息
蛋白质全称 过氧化物酶体增殖物激活受体δ
别名 FAAR,NR1C2,NUC1,NUCI,NUCII,Nuclear hormone receptor 1,PPAR beta,PPAR delta,PPARB,PPARD,PPAR-beta,Ppard,Nr1c2,Pparb
Uniprot ID P35396
免疫原 KLH偶联的小鼠PPAR delta合成肽
抗体亚型 IgG
纯化方式 亲和纯化
预测分子量./观测分子量. 50 kDa / 50 kDa
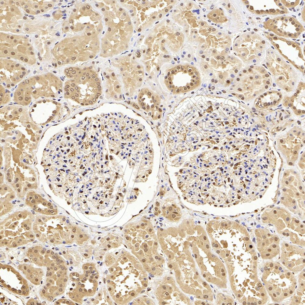
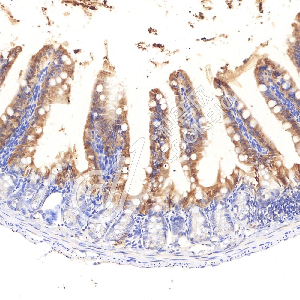
应用
WB 免疫印迹
物种:小鼠,大鼠
稀释比:1:500-1:1000
阳性样品:心
背景
Peroxisome proliferator-activator receptor delta(PPARD), a ligand-activated transcription factor, belongs to the PPARs family, which get its name for their chemicals that induce proliferation of peroxisomes, organelles that contributes to the oxidation of fatty acids. PPARD is a receptor for peroxisome proliferator and once activated by a ligand, it binds to and activates the promoter elements of target genes, such as acylCoA oxidase gene. Regulates the peroxisomal beta-oxidation pathway of fatty acids. Functions as transcription activator for the acyl-CoA oxidase gene and it can also act as a repressor for the NPC1L1 gene.
储存条件
储存条件:储存条件在:-20℃下储存一年, 避免反复冻融.
储存缓冲液:含0.15% ProClin300防腐剂, 100 μg/mL牛血清白蛋白和50%甘油的磷酸盐缓冲液.
图像
WB检测PPAR delta蛋白(货号 K1333861).
样品: 经RIPA裂解液(货号KSG2002)处理的蛋白质.
封闭: 3%脱脂牛奶(货号KSGC310001)溶于TBST溶液, 室温孵育1小时.
—抗: 1: 1000稀释, 4℃ 孵育过夜.
二抗: HRP标记山羊抗兔IgG (H+L) (货号KB69909), 1: 5000稀释, 室温孵育1小时.

需要技术支持?

如果您有任何问题或如果您在实验过程中遇到问题,或需要更详细的技术指导,请联系我们的技术支持团队
电话 400-6027-270

联系我们

如果您对我们的公司或产品有任何疑问,欢迎随时联系我们