tel 400-6027-270
Main Image
Anti-GATA1 兔多克隆抗体
¥1900
加入对比
货号: K1346782-100
亚细胞定位: 细胞核
别名: ERYF1,Erythroid transcription factor,GATA 1,GATA binding factor 1,GATA1,GF 1,GF1,NF E1 DNA binding protein
应用 | 种属
IHC/IF R
规格:
产品信息
蛋白质全称 红系转录因子
别名 ERYF1,Erythroid transcription factor,GATA 1,GATA binding factor 1,GATA1,GF 1,GF1,NF E1 DNA binding protein
Uniprot ID P17679
免疫原 KLH偶联的小鼠GATA 1合成肽
抗体亚型 IgG
纯化方式 亲和纯化
亚细胞定位 细胞核
应用
IHC/IF 免疫组织化学/免疫荧光
物种:大鼠
稀释比:1:150-1:300
阳性样品:肝, 睾丸
背景
Transcriptional activator or repressor which probably serves as a general switch factor for erythroid development. It binds to DNA sites with the consensus sequence 5'-[AT]GATA[AG]-3' within regulatory regions of globin genes and of other genes expressed in erythroid cells. Activates the transcription of genes involved in erythroid differentiation of K562 erythroleukemia cells, including HBB, HBG1/2, ALAS2 and HMBS.
储存条件
储存条件:储存条件在:-20℃下储存一年, 避免反复冻融.
储存缓冲液:含0.15% ProClin300防腐剂, 100 μg/mL牛血清白蛋白和50%甘油的磷酸盐缓冲液.
图像
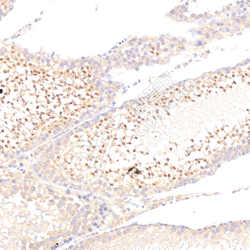
IHC检测GATA1蛋白(货号 K1346782).
样品: 大鼠肝, 4%多聚甲醛 (货号KSG1101) 固定12-24小时.
抗原修复: Tris-EDTA抗原修复液(pH 9.0) (KSG1203), 98℃, 20分钟.
—抗: 1: 200稀释, 4℃ 孵育过夜.
二抗: S-vision免疫组化多聚二抗(山羊抗兔),即用型 (货号KB3906), 室温孵育20分钟.
IHC检测GATA1蛋白(货号 K1346782).
样品: 大鼠睾丸, 4%多聚甲醛 (货号KSG1101) 固定12-24小时.
抗原修复: Tris-EDTA抗原修复液(pH 9.0) (KSG1203), 98℃, 20分钟.
—抗: 1: 200稀释, 4℃ 孵育过夜.
二抗: S-vision免疫组化多聚二抗(山羊抗兔),即用型 (货号KB3906), 室温孵育20分钟.

需要技术支持?

如果您有任何问题或如果您在实验过程中遇到问题,或需要更详细的技术指导,请联系我们的技术支持团队
电话 400-6027-270

联系我们

如果您对我们的公司或产品有任何疑问,欢迎随时联系我们