tel 400-6027-270
Main Image
Anti-CREB 兔多克隆抗体
¥1900
加入对比
货号: K133708-100
亚细胞定位: 细胞核
别名: CREB-1,CAMP-responsive element-binding protein 1,CAMP responsive element binding protein 1,Active transcription factor CREB,CREB1,CREB,cAMP responsive element binding protein 1,cAMP responsive
应用 | 种属
IHC/IF H
规格:
产品信息
蛋白质全称 环磷酸腺苷反应元件结合蛋白1
别名 CREB-1,CAMP-responsive element-binding protein 1,CAMP responsive element binding protein 1,Active transcription factor CREB,CREB1,CREB,cAMP responsive element binding protein 1,cAMP responsive
Uniprot ID Q01147
免疫原 KLH偶联的小鼠CREB1合成肽
抗体亚型 IgG
纯化方式 亲和纯化
亚细胞定位 细胞核
应用
IHC/IF 免疫组织化学/免疫荧光
物种:人
稀释比:1:200-1:1000
阳性样品:肾, 肺癌
背景
Phosphorylation-dependent transcription factor that stimulates transcription upon binding to the DNA cAMP response element (CRE), a sequence present in many viral and cellular promoters. Transcription activation is enhanced by the TORC coactivators which act independently of Ser-133 phosphorylation. Involved in different cellular processes including the synchronization of circadian rhythmicity and the differentiation of adipose cells.
储存条件
储存条件:储存条件在:-20℃下储存一年, 避免反复冻融.
储存缓冲液:含0.15% ProClin300防腐剂, 100 μg/mL牛血清白蛋白和50%甘油的磷酸盐缓冲液.
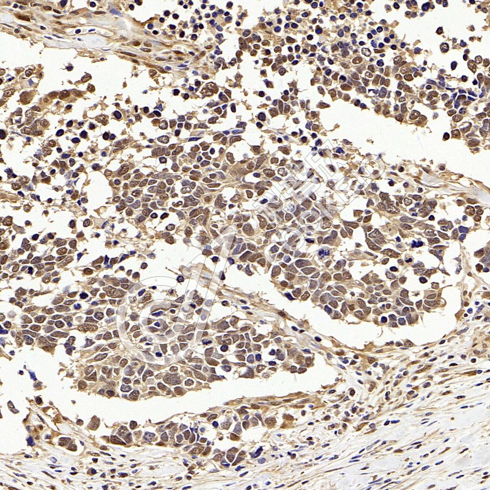
图像
IHC检测CREB蛋白(货号 K133708).
样品: 人肾, 4%多聚甲醛 (货号KSG1101) 固定12-24小时.
抗原修复: 柠檬酸抗原修复液(干粉, pH 6.0) (KSG1201), 98℃, 20分钟.
—抗: 1: 600稀释, 4℃ 孵育过夜.
二抗: S-vision免疫组化多聚二抗(山羊抗兔),即用型 (货号KB3906), 室温孵育20分钟.
IHC检测CREB蛋白(货号 K133708).
样品: 人肺癌, 4%多聚甲醛 (货号KSG1101) 固定12-24小时.
抗原修复: 柠檬酸抗原修复液(干粉, pH 6.0) (KSG1201), 98℃, 20分钟.
—抗: 1: 600稀释, 4℃ 孵育过夜.
二抗: S-vision免疫组化多聚二抗(山羊抗兔),即用型 (货号KB3906), 室温孵育20分钟.

需要技术支持?

如果您有任何问题或如果您在实验过程中遇到问题,或需要更详细的技术指导,请联系我们的技术支持团队
电话 400-6027-270

联系我们

如果您对我们的公司或产品有任何疑问,欢迎随时联系我们