tel 400-6027-270
Main Image
Anti-SART3 兔多克隆抗体
¥1900
加入对比
货号: K1342708-100
预测分子量: 110 kDa
观测分子量: 110-130 kDa
亚细胞定位: 细胞核
别名: DSAP1,hSART 3,KIAA0156,P100,p110,p110(nrb),RP11 13G14,SART 3,SART3,TIP110
应用 | 种属
WB H,M
IHC/IF M
规格:
产品信息
蛋白质全称 T细胞识别鳞状细胞癌抗原3
别名 DSAP1,hSART 3,KIAA0156,P100,p110,p110(nrb),RP11 13G14,SART 3,SART3,TIP110
Uniprot ID Q9JLI8
免疫原 小鼠SART3重组蛋白
抗体亚型 IgG
纯化方式 亲和纯化
亚细胞定位 细胞核
预测分子量./观测分子量. 110 kDa / 110-130 kDa
应用
WB 免疫印迹
物种:人,小鼠
稀释比:1:500-1:1000
阳性样品:海马区, 肾
IHC/IF 免疫组织化学/免疫荧光
物种:小鼠
稀释比:1:1000-1:2000
阳性样品:肾, 睾丸
背景
U6 snRNP-binding protein that functions as a recycling factor of the splicing machinery. Promotes the initial reassembly of U4 and U6 snRNPs following their ejection from the spliceosome during its maturation. Also binds U6atac snRNPs and may function as a recycling factor for U4atac/U6atac spliceosomal snRNP, an initial step in the assembly of U12-type spliceosomal complex. The U12-type spliceosomal complex plays a role in the splicing of introns with non-canonical splice sites. May also function as a substrate-targeting factor for deubiquitinases like USP4 and USP15. Recruits USP4 to ubiquitinated PRPF3 within the U4/U5/U6 tri-snRNP complex, promoting PRPF3 deubiquitination and thereby regulating the spliceosome U4/U5/U6 tri-snRNP spliceosomal complex disassembly.
储存条件
储存条件:储存条件在:-20℃下储存一年, 避免反复冻融.
储存缓冲液:含0.15% ProClin300防腐剂, 100 μg/mL牛血清白蛋白和50%甘油的磷酸盐缓冲液.
图像
WB检测SART3蛋白(货号 K1342708).
样品: 经RIPA裂解液(货号KSG2002)处理的蛋白质.
封闭: 3%脱脂牛奶(货号KSGC310001)溶于TBST溶液, 室温孵育1小时.
—抗: 1: 1000稀释, 4℃ 孵育过夜.
二抗: HRP标记山羊抗兔IgG (H+L) (货号KB69909), 1: 5000稀释, 室温孵育1小时.
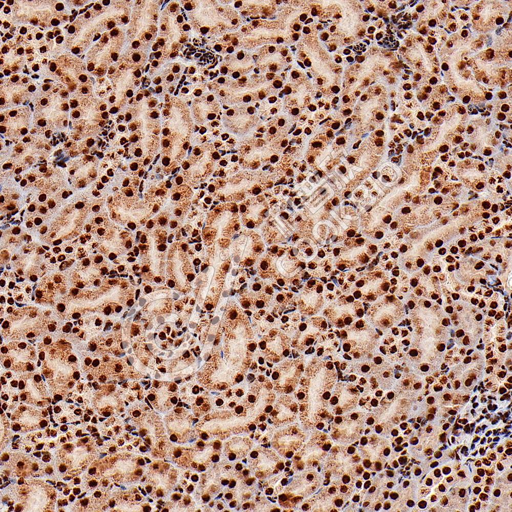
IHC检测SART3蛋白(货号 K1342708).
样品: 小鼠肾, 4%多聚甲醛 (货号KSG1101) 固定12-24小时.
抗原修复: 柠檬酸抗原修复液(干粉, pH 6.0) (KSG1201), 98℃, 20分钟.
—抗: 1: 1500稀释, 4℃ 孵育过夜.
二抗: S-vision免疫组化多聚二抗(山羊抗兔),即用型 (货号KB3906), 室温孵育20分钟.
IHC检测SART3蛋白(货号 K1342708).
样品: 小鼠睾丸, 4%多聚甲醛 (货号KSG1101) 固定12-24小时.
抗原修复: 柠檬酸抗原修复液(干粉, pH 6.0) (KSG1201), 98℃, 20分钟.
—抗: 1: 1500稀释, 4℃ 孵育过夜.
二抗: S-vision免疫组化多聚二抗(山羊抗兔),即用型 (货号KB3906), 室温孵育20分钟.

需要技术支持?

如果您有任何问题或如果您在实验过程中遇到问题,或需要更详细的技术指导,请联系我们的技术支持团队
电话 400-6027-270

联系我们

如果您对我们的公司或产品有任何疑问,欢迎随时联系我们