tel 400-6027-270
Main Image
Recombinant Anti-CDX2 antibody (小鼠单克隆抗体)
¥1900
加入对比
货号: K5454503-100
预测分子量: 34 kDa
观测分子量: 38 kDa
亚细胞定位: 细胞核
别名: caudal type homeobox 2,Caudal type homeobox protein 2,CDX 3,CDX2,CDX-2,CDX3,Homeobox protein CDX 2
应用 | 种属
WB H
IHC/IF H,M,R
规格:
产品信息
蛋白质全称 尾型同源盒蛋白CDX-2
别名 caudal type homeobox 2,Caudal type homeobox protein 2,CDX 3,CDX2,CDX-2,CDX3,Homeobox protein CDX 2
Uniprot ID Q99626
免疫原 KLH偶联的人CDX2合成肽
抗体亚型 IgG1, κ
克隆号 SB30
纯化方式 亲和纯化
亚细胞定位 细胞核
预测分子量./观测分子量. 34 kDa / 38 kDa
应用
WB 免疫印迹
物种:人
稀释比:1:500-1:2000
阳性样品:—
IHC/IF 免疫组织化学/免疫荧光
物种:人,小鼠,大鼠
稀释比:1:500-1:2000
阳性样品:结肠, 结肠癌
背景
CDX2, also named as Homeobox protein CDX-2, is a 313 amino acid protein, which contains one homeobox DNA-binding domain and belongs to the Caudal homeobox family. CDX2 localizes in the nucleus and is involved in the transcriptional regulation of multiple genes expression in the intestinal epithelium. The relative expression of CDX1 to CDX2 protein may be important in the anterior to posterior patterning of the intestinal epithelium and in defining patterns of proliferation and differentiation along the crypt-villus axis.
储存条件
储存条件:储存条件在:-20℃下储存一年, 避免反复冻融.
储存缓冲液:含0.15% ProClin300防腐剂, 100 μg/mL牛血清白蛋白和50%甘油的磷酸盐缓冲液.
图像
IHC检测CDX2蛋白(货号 K5454503).
样品: 人结肠癌, 4%多聚甲醛 (货号KSG1101) 固定12-24小时.
抗原修复: 柠檬酸抗原修复液(干粉, pH 6.0) (KSG1201), 高压锅均匀喷气计时2分钟.
—抗: 1: 1300稀释, 4℃ 孵育过夜.
二抗: S-vision免疫组化多聚二抗(山羊抗小鼠), 即用型(货号KB3903), 室温孵育20分钟.
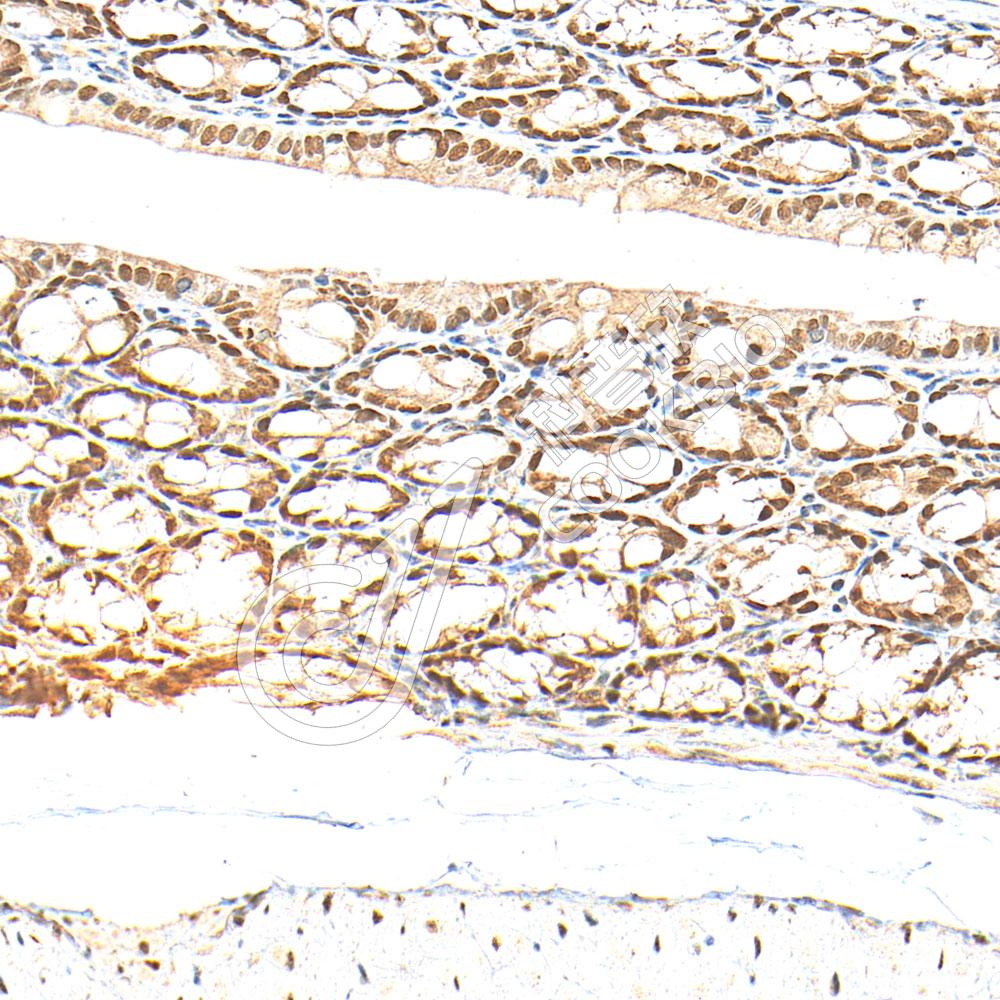
IHC检测CDX2蛋白(货号 K5454503).
样品: 小鼠结肠, 4%多聚甲醛 (货号KSG1101) 固定12-24小时.
抗原修复: 柠檬酸抗原修复液(干粉, pH 6.0) (KSG1201), 高压锅均匀喷气计时2分钟.
—抗: 1: 1300稀释, 4℃ 孵育过夜.
二抗: S-vision免疫组化多聚二抗(山羊抗小鼠), 即用型(货号KB3903), 室温孵育20分钟.
IF检测CDX2蛋白(货号 K5454503)(红色).
样品: 大鼠结肠, 4%多聚甲醛 (货号KSG1101) 固定12-24小时.
抗原修复: 柠檬酸抗原修复液(干粉, pH 6.0) (KSG1201), 高压锅均匀喷气计时2分钟.
封闭: 3% BSA(货号KSGC305010)的PBS溶液, 室温孵育30分钟.
—抗: 1: 1300稀释, 4℃ 孵育过夜.
二抗: Cy3标记山羊抗小鼠IgG (H+L) (货号KB63903), 1: 300稀释, 室温孵育1小时.

需要技术支持?

如果您有任何问题或如果您在实验过程中遇到问题,或需要更详细的技术指导,请联系我们的技术支持团队
电话 400-6027-270

联系我们

如果您对我们的公司或产品有任何疑问,欢迎随时联系我们