tel 400-6027-270
Main Image
Anti-Optineurin 兔多克隆抗体
¥1900
加入对比
货号: K1342972-100
亚细胞定位: 细胞质
别名: FIP-2,FIP2,GLC1E,HIP7,HYPL,NRP,TFIIIA-INTP,OPTN,Huntingtin yeast partner L
应用 | 种属
IHC/IF M,R
规格:
产品信息
蛋白质全称 视神经蛋白
别名 FIP-2,FIP2,GLC1E,HIP7,HYPL,NRP,TFIIIA-INTP,OPTN,Huntingtin yeast partner L
Uniprot ID Q8K3K8
免疫原 KLH偶联的小鼠Optineurin合成肽
抗体亚型 IgG
纯化方式 亲和纯化
亚细胞定位 细胞质
应用
IHC/IF 免疫组织化学/免疫荧光
物种:小鼠,大鼠
稀释比:1:500-1:1000
阳性样品:睾丸
背景
OPTN, also named as FIP2, GLC1E, HIP7, HYPL and NRP, plays a neuroprotective role in the eye and optic nerve. It is probably part of the TNF-alpha signaling pathway that can shift the equilibrium toward induction of cell death. OPTN may act by regulating membrane trafficking and cellular morphogenesis via a complex that contains Rab8 and hungtingtin (HD). OPTN may constitute a cellular target for adenovirus E3 14.7, an inhibitor of TNF-alpha functions, thereby affecting cell death. Defects in OPTN are the cause of primary open angle glaucoma type 1E (GLC1E).
储存条件
储存条件:储存条件在:-20℃下储存一年, 避免反复冻融.
储存缓冲液:含0.15% ProClin300防腐剂, 100 μg/mL牛血清白蛋白和50%甘油的磷酸盐缓冲液.
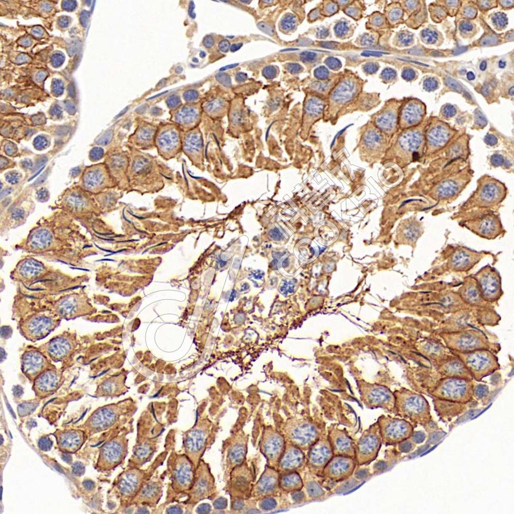
图像
IHC检测Optineurin蛋白(货号 K1342972).
样品: 小鼠睾丸, 4%多聚甲醛 (货号KSG1101) 固定12-24小时.
抗原修复: 柠檬酸抗原修复液(干粉, pH 6.0) (KSG1201), 98℃, 20分钟.
—抗: 1: 800稀释, 4℃ 孵育过夜.
二抗: S-vision免疫组化多聚二抗(山羊抗兔),即用型 (货号KB3906), 室温孵育20分钟.
IHC检测Optineurin蛋白(货号 K1342972).
样品: 大鼠睾丸, 4%多聚甲醛 (货号KSG1101) 固定12-24小时.
抗原修复: 柠檬酸抗原修复液(干粉, pH 6.0) (KSG1201), 98℃, 20分钟.
—抗: 1: 800稀释, 4℃ 孵育过夜.
二抗: S-vision免疫组化多聚二抗(山羊抗兔),即用型 (货号KB3906), 室温孵育20分钟.

需要技术支持?

如果您有任何问题或如果您在实验过程中遇到问题,或需要更详细的技术指导,请联系我们的技术支持团队
电话 400-6027-270

联系我们

如果您对我们的公司或产品有任何疑问,欢迎随时联系我们