tel 400-6027-270
Main Image
Recombinant Anti-BrdU antibody (兔单克隆抗体)
¥1900
加入对比
货号: K5450090-100
亚细胞定位: 细胞核
别名: Bromodeoxyuridine,Bromodeoxyuridine,5-Bromo-2′-deoxyuridine,5-BrdU,Proliferation Marker,5-Bromo-2-deoxyUridine
应用 | 种属
IHC/IF Species independent
规格:
产品信息
蛋白质全称 溴脱氧尿嘧啶核苷
别名 Bromodeoxyuridine,Bromodeoxyuridine,5-Bromo-2′-deoxyuridine,5-BrdU,Proliferation Marker,5-Bromo-2-deoxyUridine
免疫原 KLH偶联的BrdU合成肽
抗体亚型 IgG, κ
克隆号 SB266
纯化方式 亲和纯化
亚细胞定位 细胞核
应用
IHC/IF 免疫组织化学/免疫荧光
物种:Species independent
稀释比:1:500-1:1000
阳性样品:肺, 脾
背景
Bromodeoxyuridine (5-bromo-2'-deoxyuridine, BrdU, BUdR, BrdUrd) is a synthetic nucleoside that is an analog of thymidine. It can be incorporated into the newly synthesized DNA of replicating cells (during the S phase of the cell cycle), substituting for thymidine during DNA replication. As such, BrdU is used for birth dating and monitoring cell proliferation. BrdU is a toxic and mutagenic substance. It triggers cell death, the formation of teratomas, alters DNA stability, lengthens the cell cycle, and has mitogenic, transcriptional and translational effects on cells that incorporate it.
储存条件
储存条件:储存条件在:-20℃下储存一年, 避免反复冻融.
储存缓冲液:含0.15% ProClin300防腐剂, 100 μg/mL牛血清白蛋白和50%甘油的磷酸盐缓冲液.
图像
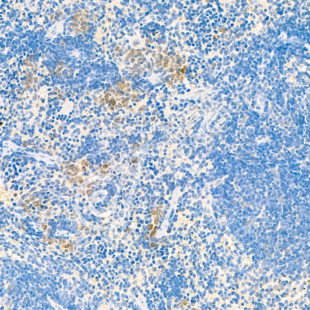
IHC检测BrdU蛋白(货号 K5450090).
样品: 小鼠脾, 4%多聚甲醛 (货号KSG1101) 固定12-24小时.
抗原修复: 柠檬酸抗原修复液(干粉, pH 6.0) (KSG1201), 98℃, 20分钟.
—抗: 1: 800稀释, 4℃ 孵育过夜.
二抗: S-vision免疫组化多聚二抗(山羊抗兔),即用型 (货号KB3906), 室温孵育20分钟.
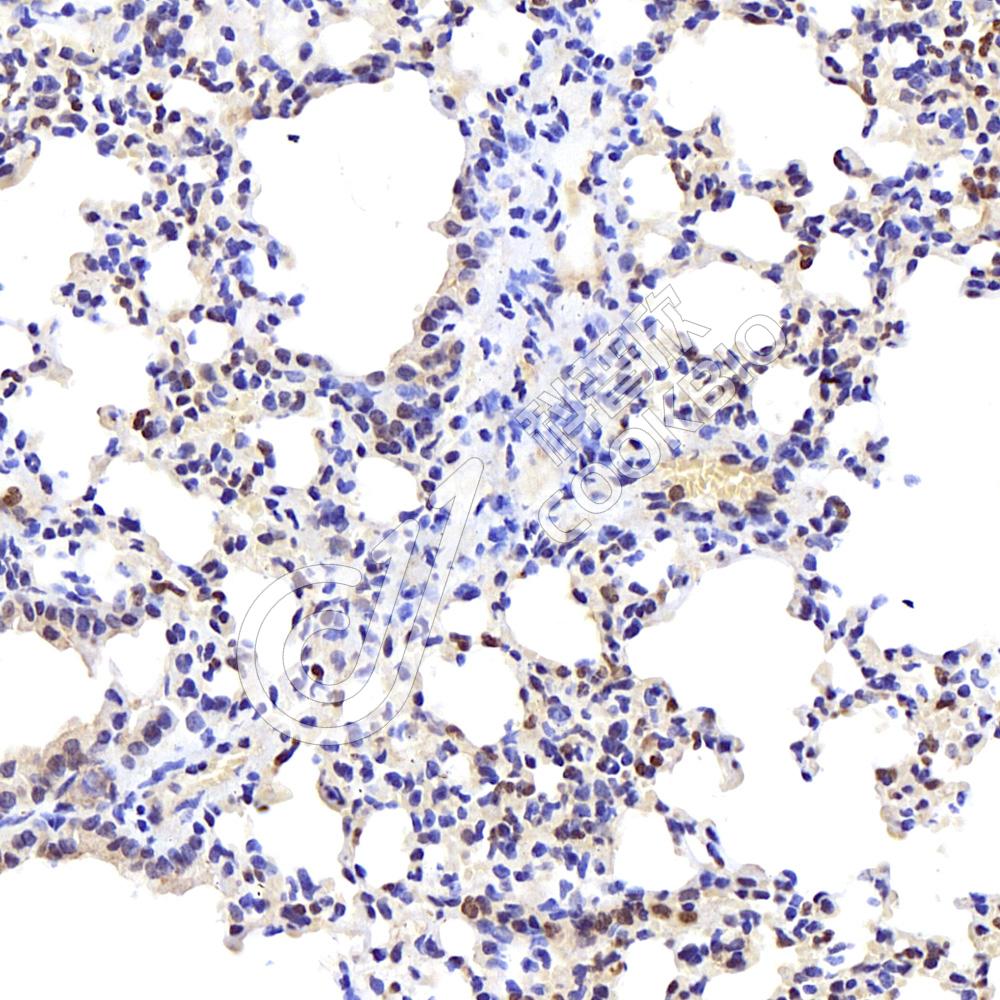
IHC检测BrdU蛋白(货号 K5450090).
样品: 大鼠肺, 4%多聚甲醛 (货号KSG1101) 固定12-24小时.
抗原修复: 柠檬酸抗原修复液(干粉, pH 6.0) (KSG1201), 98℃, 20分钟.
—抗: 1: 800稀释, 4℃ 孵育过夜.
二抗: S-vision免疫组化多聚二抗(山羊抗兔),即用型 (货号KB3906), 室温孵育20分钟.

需要技术支持?

如果您有任何问题或如果您在实验过程中遇到问题,或需要更详细的技术指导,请联系我们的技术支持团队
电话 400-6027-270

联系我们

如果您对我们的公司或产品有任何疑问,欢迎随时联系我们