tel 400-6027-270
Main Image
Anti-S100A12/CGRP 兔多克隆抗体
¥1900
加入对比
货号: K1340449-100
亚细胞定位: 细胞膜, 细胞质, 分泌型
别名: CAAF1,CAGC,Calgranulin-C,CGRP,EN-RAGE,ENRAGE,MRP6,Neutrophil S100 protein,p6,S100A12
应用 | 种属
IHC/IF H
规格:
产品信息
蛋白质全称 S100钙结合蛋白A12
别名 CAAF1,CAGC,Calgranulin-C,CGRP,EN-RAGE,ENRAGE,MRP6,Neutrophil S100 protein,p6,S100A12
Uniprot ID P80511
免疫原 人S100A12/CGRP重组蛋白
抗体亚型 IgG
纯化方式 亲和纯化
亚细胞定位 细胞膜, 细胞质, 分泌型
应用
IHC/IF 免疫组织化学/免疫荧光
物种:人
稀释比:1:2000-1:4000
阳性样品:结肠癌, 脾
背景
S100A12 is a member of the S100 family of proteins containing 2 EF-hand calcium-binding motifs. S100 proteins are localized in the cytoplasm and/or nucleus of a wide range of cells, and involved in the regulation of a number of cellular processes such as cell cycle progression and differentiation. S100 genes include at least 13 members which are located as a cluster on chromosome 1q21. S100A12 is expressed abundantly in granulocytes, and has been implicated to play an important role on inflammatory reactions in various disease states.
储存条件
储存条件:储存条件在:-20℃下储存一年, 避免反复冻融.
储存缓冲液:含0.15% ProClin300防腐剂, 100 μg/mL牛血清白蛋白和50%甘油的磷酸盐缓冲液.
图像
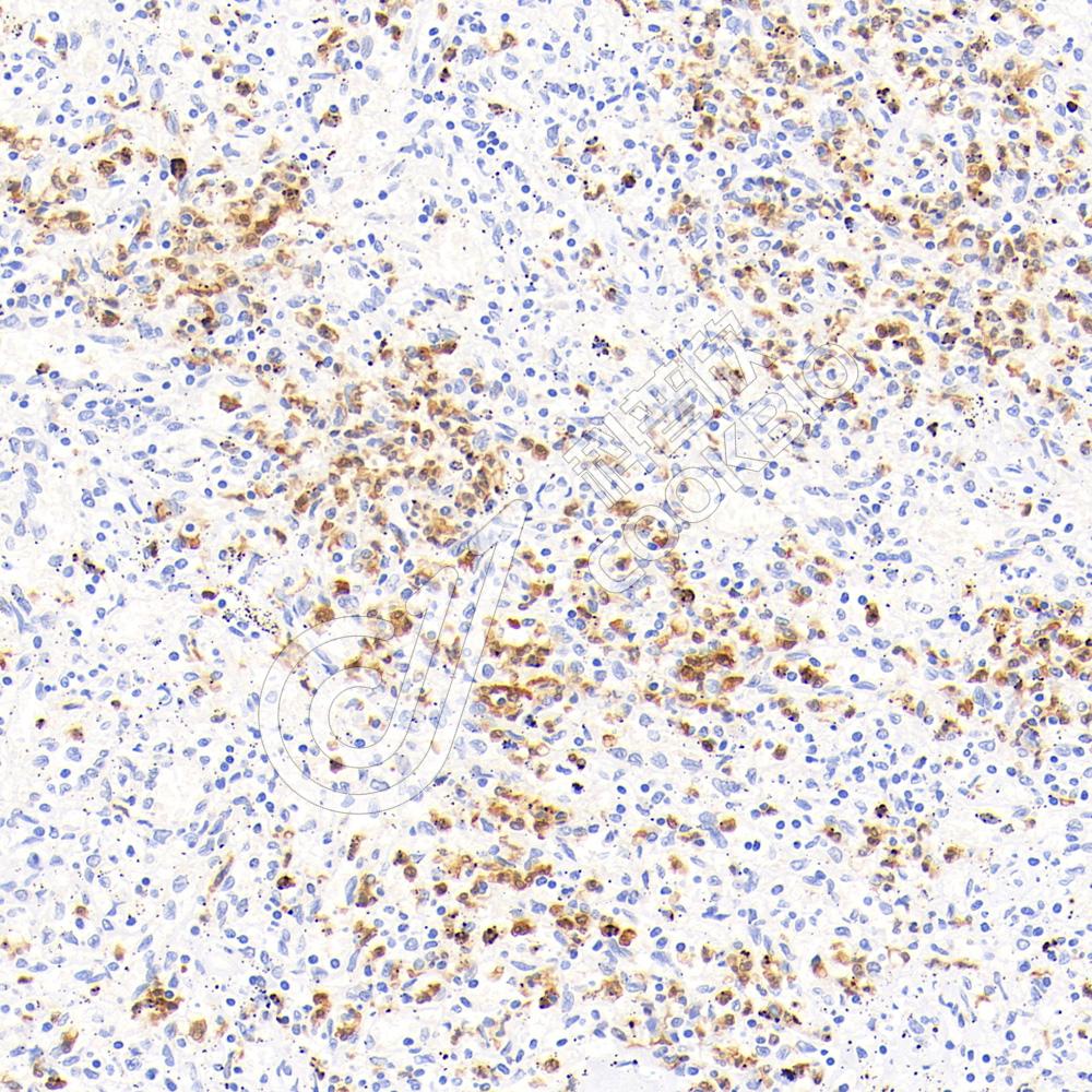
IHC检测S100A12/CGRP蛋白(货号 K1340449).
样品: 人结肠癌, 4%多聚甲醛 (货号KSG1101) 固定12-24小时.
抗原修复: 柠檬酸抗原修复液(干粉, pH 6.0) (KSG1201), 98℃, 20分钟.
—抗: 1: 3000稀释, 4℃ 孵育过夜.
二抗: S-vision免疫组化多聚二抗(山羊抗兔),即用型 (货号KB3906), 室温孵育20分钟.
IHC检测S100A12/CGRP蛋白(货号 K1340449).
样品: 人脾, 4%多聚甲醛 (货号KSG1101) 固定12-24小时.
抗原修复: 柠檬酸抗原修复液(干粉, pH 6.0) (KSG1201), 98℃, 20分钟.
—抗: 1: 3000稀释, 4℃ 孵育过夜.
二抗: S-vision免疫组化多聚二抗(山羊抗兔),即用型 (货号KB3906), 室温孵育20分钟.

需要技术支持?

如果您有任何问题或如果您在实验过程中遇到问题,或需要更详细的技术指导,请联系我们的技术支持团队
电话 400-6027-270

联系我们

如果您对我们的公司或产品有任何疑问,欢迎随时联系我们