tel 400-6027-270
Main Image
Anti-Daxx 兔多克隆抗体
¥1900
加入对比
货号: K135262-100
预测分子量: 82 kDa
观测分子量: 110 kDa
亚细胞定位: 细胞核
别名: Daxx,BING2,DAP6,EAP1,Death-domain associated protein,Death domain associated protein
应用 | 种属
WB H,M,R
IHC/IF M,R
规格:
产品信息
蛋白质全称 死亡结构域关联蛋白6
别名 Daxx,BING2,DAP6,EAP1,Death-domain associated protein,Death domain associated protein
Uniprot ID O35613
免疫原 小鼠Daxx重组蛋白
抗体亚型 IgG
纯化方式 亲和纯化
亚细胞定位 细胞核
预测分子量./观测分子量. 82 kDa / 110 kDa
应用
WB 免疫印迹
物种:人,小鼠,大鼠
稀释比:1:1000-1:1500
阳性样品:—
IHC/IF 免疫组织化学/免疫荧光
物种:小鼠,大鼠
稀释比:1:750-1:3000
阳性样品:脾, 睾丸
背景
Daxx, a Death domain-associated protein, is a multifunctional protein that resides in multiple locations in the nucleus and in the cytoplasm. Daxx serves as an H3.3 specific histone chaperone, interacting with an H3.3/H4 dimer. It interacts with a wide variety of proteins, such as apoptosis antigen Fas, centromere protein C, and transcription factor erythroblastosis virus E26 oncogene homolog 1 (ETS1). In the nucleus, the encoded protein functions as a potent transcription repressor that binds to sumoylated transcription factors. In the cytoplasm, the encoded protein may function to regulate apoptosis.
储存条件
储存条件:储存条件在:-20℃下储存一年, 避免反复冻融.
储存缓冲液:含0.15% ProClin300防腐剂, 100 μg/mL牛血清白蛋白和50%甘油的磷酸盐缓冲液.
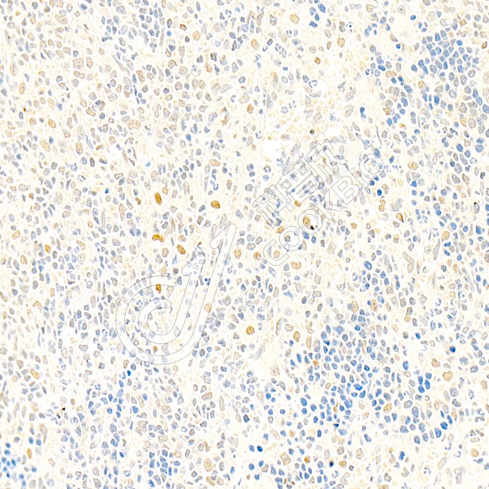
图像
IHC检测Daxx蛋白(货号 K135262).
样品: 小鼠睾丸, 4%多聚甲醛 (货号KSG1101) 固定12-24小时.
抗原修复: 柠檬酸抗原修复液(干粉, pH 6.0) (KSG1201), 98℃, 20分钟.
—抗: 1: 1900稀释, 4℃ 孵育过夜.
二抗: S-vision免疫组化多聚二抗(山羊抗兔),即用型 (货号KB3906), 室温孵育20分钟.
IHC检测Daxx蛋白(货号 K135262).
样品: 大鼠脾, 4%多聚甲醛 (货号KSG1101) 固定12-24小时.
抗原修复: 柠檬酸抗原修复液(干粉, pH 6.0) (KSG1201), 98℃, 20分钟.
—抗: 1: 1900稀释, 4℃ 孵育过夜.
二抗: S-vision免疫组化多聚二抗(山羊抗兔),即用型 (货号KB3906), 室温孵育20分钟.

需要技术支持?

如果您有任何问题或如果您在实验过程中遇到问题,或需要更详细的技术指导,请联系我们的技术支持团队
电话 400-6027-270

联系我们

如果您对我们的公司或产品有任何疑问,欢迎随时联系我们