tel 400-6027-270
Main Image
Anti-NFAT4/NF-ATc3 兔多克隆抗体
¥1900
加入对比
货号: K1333084-100
亚细胞定位: 细胞质, 细胞核
别名: NF-ATc3,NFATc3,NFATx,NFATC3,NFAT4,T-cell transcription factor NFAT4,NF-AT4,NF-AT4c
应用 | 种属
IHC/IF H
规格:
产品信息
蛋白质全称 活化T细胞核因子胞质3
别名 NF-ATc3,NFATc3,NFATx,NFATC3,NFAT4,T-cell transcription factor NFAT4,NF-AT4,NF-AT4c
Uniprot ID Q12968
免疫原 小鼠NFAT4/NF-ATc3重组蛋白
抗体亚型 IgG
纯化方式 亲和纯化
亚细胞定位 细胞质, 细胞核
应用
IHC/IF 免疫组织化学/免疫荧光
物种:人
稀释比:1:250-1:2000
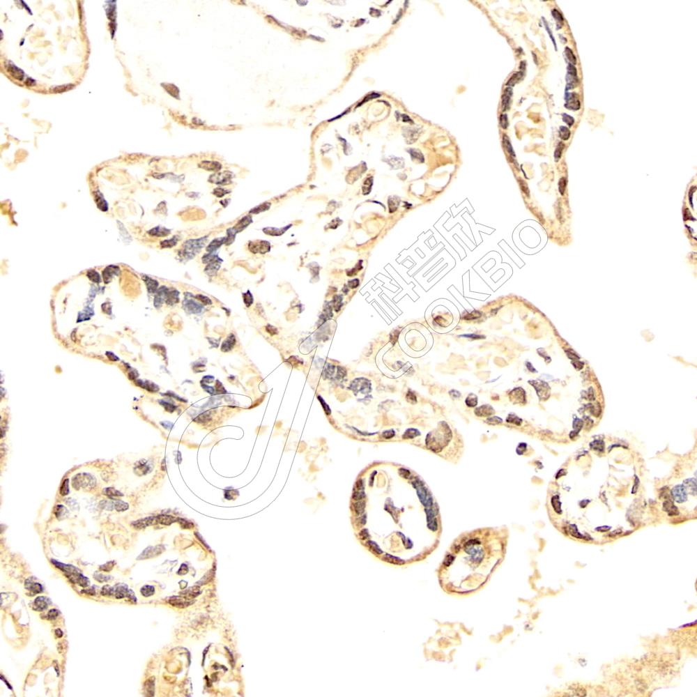
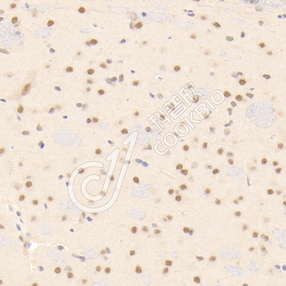
阳性样品:结肠, 结肠癌
背景
NFATC3 (nuclear factors of activated T cells) proteins are a family of transcription factors originally identified as mediators of activation of cytokine genes in response to antigenic stimulation of T cells.NFATC3 is widely expressed being found in DP thymocytes, CD4+ T cells, smooth muscle cells, Schwann cells and mast cells. NFATC3 regulates gene transcription as part of a NFATC transcription complex. It is normally cytoplasmic and phosphorylated. Upon a rise in intracellular Ca+2, dephosphorylation occurs via calcineurin, and NFATC3 enters the nucleus. Human NFATC3 is 1075 amino acids in length. It contains a calcineurin binding site (aa 109‑114), two nuclear localization sites (aa 273‑275 and 686‑688), one nuclear export site (a 1032‑1041) and an RH domain that binds DNA (aa 433‑592).
储存条件
储存条件:储存条件在:-20℃下储存一年, 避免反复冻融.
储存缓冲液:含0.15% ProClin300防腐剂, 100 μg/mL牛血清白蛋白和50%甘油的磷酸盐缓冲液.
图像
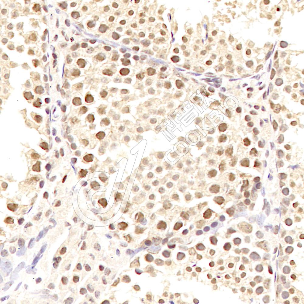
IHC检测NFAT4/NF-ATc3蛋白(货号 K1333084).
样品: 人结肠癌, 4%多聚甲醛 (货号KSG1101) 固定12-24小时.
抗原修复: 柠檬酸抗原修复液(干粉, pH 6.0) (KSG1201), 98℃, 20分钟.
—抗: 1: 1100稀释, 4℃ 孵育过夜.
二抗: S-vision免疫组化多聚二抗(山羊抗兔),即用型 (货号KB3906), 室温孵育20分钟.
IHC检测NFAT4/NF-ATc3蛋白(货号 K1333084).
样品: 人结肠, 4%多聚甲醛 (货号KSG1101) 固定12-24小时.
抗原修复: 柠檬酸抗原修复液(干粉, pH 6.0) (KSG1201), 98℃, 20分钟.
—抗: 1: 1100稀释, 4℃ 孵育过夜.
二抗: S-vision免疫组化多聚二抗(山羊抗兔),即用型 (货号KB3906), 室温孵育20分钟.

需要技术支持?

如果您有任何问题或如果您在实验过程中遇到问题,或需要更详细的技术指导,请联系我们的技术支持团队
电话 400-6027-270

联系我们

如果您对我们的公司或产品有任何疑问,欢迎随时联系我们